相关产品推荐更多 >
万千商家帮你免费找货
0 人在求购买到急需产品
- 详细信息
- 文献和实验
- 技术资料
- 免疫原:
CD2 molecule
- 亚型:
IgG
- 形态:
liquid
- 保存条件:
-20℃ 12月
- 克隆性:
polyclonal
- 标记物:
未标记
- 适应物种:
Human, Mouse, Rat
- 保质期:
-20℃ 12月
- 抗原来源:
CD2 molecule
- 目录编号:
FNab01438
- 级别:
科研
- 库存:
100
- 供应商:
武汉菲恩生物科技有限公司
- 宿主:
Rabbit
- 应用范围:
ELISA, IHC, WB
- 靶点:
CD2
- 抗体英文名:
CD2 antibody
- 抗体名:
CD2抗体
- 规格:
50ug/100ug
| 规格: | 50ug | 产品价格: | ¥900.0 |
|---|---|---|---|
| 规格: | 100ug | 产品价格: | ¥1500.0 |

产品介绍
| 产品名称 | CD2 antibody |
| 中文名称 | CD2抗体 |
| 货号 | FNab01438 |
| 规格 | 50ug/100ug |
| 宿主 | Rabbit |
| 反应种属 | Human, Mouse, Rat |
| 验证应用 | ELISA, IHC, WB |
| 状态 | liquid |
| 纯化方法 | Immunogen affinity purified |
| 纯度 | ≥95% as determined by SDS-PAGE |
| 克隆性 | polyclonal |
| 亚型 | IgG |
| 免疫原 | CD2 molecule |
| 免疫原别称 | T-cell surface antigen CD2|Erythrocyte receptor|LFA-2|LFA-3 receptor|Rosette receptor|T-cell surface antigen T11/Leu-5|CD2|SRBC |
| Uniprot ID | P06729 |
| 分子量 | 40-55 kDa |
| 建议稀释比例 | WB: 1:500-1:2000; IHC: 1:20-1:200 |
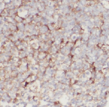
| 验证图片 | Immunohistochemistry of paraffin-embedded human tonsillitis tissue slide using FNab01438(CD2 Antibody) at dilution of 1:200 Heat mediated antigen retrieved with Tris-EDTA buffer, pH9.0 Jurkat cells were subjected to SDS PAGE followed by western blot with FNab01438(CD2 Antibody) at dilution of 1:3000 |
| 存储 | PBS with 0.02% sodium azide and 50% glycerol pH 7.3, -20℃ for 12 months(Avoid repeated freeze / thaw cycles.) |
| 注意事项 | CD2 antibody仅供科研使用 |
菲恩生物抗体产品优势
种类齐全:有10000多种经过验证的免多抗和小鼠单抗,包括流式抗体、内参抗体、标签抗体、小分子化合物抗体、对照抗体等;
多种标记/非标记二抗:针对兔、羊、小鼠、大鼠、人等多个种属。100多种标记二抗,标记物包括HRP、Biotin、FITC、Cy3、Alexa Fluor 488、Alexa Fluor 594等,通过了蛋白质印迹、免疫荧光、免疫组织化学、流式细胞术和ELISA等免疫学相关应用的充分验证,可满足各种实验需求;
验证过多种实验:ELISA、WB、IHC、IF、IP、FC等应用,并进行了广泛的物种交叉实验。
风险提示:丁香通仅作为第三方平台,为商家信息发布提供平台空间。用户咨询产品时请注意保护个人信息及财产安全,合理判断,谨慎选购商品,商家和用户对交易行为负责。对于医疗器械类产品,请先查证核实企业经营资质和医疗器械产品注册证情况。
文献和实验CD2/CD2R 分子 CD2 常用单克隆抗体或代号:9.6,Tll,Leu5;(LFA 2,SRBC-R) 主要表达细胞:T,Thy,NKsub T细胞 分子质量(kDa)和结构:gp50(IgSF) 功 能:CD58、CD48、CD59和CDl50的受体,参与T细胞活化,参与细胞黏附 CD2R 常用单克隆抗体或代号:T11.3,9。1 主要表达细胞:Ta,NK T细胞 分子质量(kDa)和结构:gp50(IgSF) 功 能:T
免疫应答的特点是抗体诱导潜伏期长(数天至2周),抗体效价低,早期为IgM类抗体,随后为IgG类,亲和力低,抗体持续时间短。再次应答诱导潜伏期短(1~2d甚至数小时);抗体效价为初次的数倍至数十倍;主要是亲和力强的IgG类,尚有IgA和IgE;维持时间长久,这是因为Bm经同一抗原反复刺激发生体细胞高突变和亲和力成熟。由于Tm表面CD2、LFA、ICAM等黏附分子和CD25、MHC分子等激活分子表达增加,使细胞间黏附能力增强,信号传递和与细胞因子应答加速,使再次细胞免疫应答大大加强。 抗感
(1)CD2:分子量约49kD的糖蛋白,表达于全部人T细胞和NK细胞表面;由3种抗原性不同的分子(CD2-1,CD2-2,CD2-3)组成。CD2-1及CD2-2表达于静止细胞表面,CD2-3表达于活化的T细胞表面。应用抗CD2-2及抗CD2-3可直接活化静止的T细胞,这是成熟T细胞活化的旁路途径。CD2是粘附分子之一,顺抗原递呈过程中起辅助作用。CD2分子还可与绵羊红细胞(SRBC)结合,又称绵羊红细胞受体。在一定条件下,将外周血淋巴细胞与SRBC混合,则血T细胞能结合若干SRBC
技术资料暂无技术资料 索取技术资料









