相关产品推荐更多 >
万千商家帮你免费找货
0 人在求购买到急需产品
- 详细信息
- 文献和实验
- 技术资料
- 免疫原:
periplakin
- 亚型:
IgG
- 形态:
liquid
- 保存条件:
-20℃ 12月
- 克隆性:
polyclonal
- 标记物:
未标记
- 适应物种:
Human
- 保质期:
-20℃ 12月
- 抗原来源:
periplakin
- 目录编号:
FNab10072
- 级别:
科研
- 库存:
100
- 供应商:
武汉菲恩生物科技有限公司
- 宿主:
Rabbit
- 应用范围:
ELISA, IHC
- 靶点:
PPL
- 抗体英文名:
PPL antibody
- 抗体名:
PPL抗体
- 规格:
50ug/100ug
| 规格: | 50ug | 产品价格: | ¥900.0 |
|---|---|---|---|
| 规格: | 100ug | 产品价格: | ¥1500.0 |

产品介绍
| 产品名称 | PPL antibody |
| 中文名称 | PPL抗体 |
| 货号 | FNab10072 |
| 规格 | 50ug/100ug |
| 宿主 | Rabbit |
| 反应种属 | Human |
| 验证应用 | ELISA, IHC |
| 状态 | liquid |
| 纯化方法 | Immunogen affinity purified |
| 纯度 | ≥95% as determined by SDS-PAGE |
| 克隆性 | polyclonal |
| 亚型 | IgG |
| 免疫原 | periplakin |
| 免疫原别称 | Periplakin|190 kDa paraneoplastic pemphigus antigen|195 kDa cornified envelope precursor protein|PPL|KIAA0568 |
| Uniprot ID | O60437 |
| 分子量 | 204 kDa |
| 建议稀释比例 | IHC: 1:20-1:200 |
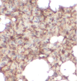
| 验证图片 | Immunohistochemistry of paraffin-embedded human lung using FNab10072( Periplakin Antibody) at dilution of 1:100 |
| 存储 | PBS with 0.02% sodium azide and 50% glycerol pH 7.3, -20℃ for 12 months (Avoid repeated freeze / thaw cycles.) |
| 注意事项 | PPL antibody仅供科研使用 |
菲恩生物抗体产品优势
种类齐全:有10000多种经过验证的免多抗和小鼠单抗,包括流式抗体、内参抗体、标签抗体、小分子化合物抗体、对照抗体等;
多种标记/非标记二抗:针对兔、羊、小鼠、大鼠、人等多个种属。100多种标记二抗,标记物包括HRP、Biotin、FITC、Cy3、Alexa Fluor 488、Alexa Fluor 594等,通过了蛋白质印迹、免疫荧光、免疫组织化学、流式细胞术和ELISA等免疫学相关应用的充分验证,可满足各种实验需求;
验证过多种实验:ELISA、WB、IHC、IF、IP、FC等应用,并进行了广泛的物种交叉实验。
风险提示:丁香通仅作为第三方平台,为商家信息发布提供平台空间。用户咨询产品时请注意保护个人信息及财产安全,合理判断,谨慎选购商品,商家和用户对交易行为负责。对于医疗器械类产品,请先查证核实企业经营资质和医疗器械产品注册证情况。
文献和实验,肌球蛋白(myosin)单克隆抗体二、实验器械1、培养皿2、培养瓶3、直剪和眼科剪4、眼科镊和止血钳5、烧杯6、15ml离心管三、实验流程取肌肉于平皿,Hank’s洗3次↓剔除脂肪、结缔组织↓肌肉标本剪约0.1cm3小块↓移至离心管,Hank’s洗3次↓静置1min,弃去上层液及漂浮组织↓0.25%胰酶,37度水浴消化20min,每5min摇动或吹打1次↓生长培养基终止消化,反复吹打,依次100,200,400目过筛↓离心,1000rmp,10min,弃去上清↓重悬,计数细胞,接种密度以5 ×
,如果能将产生这些异源分子的基因敲除,那么动物的器官将能用于人体的疾病治疗,这将为患者带来具大的福音。如:PPL Therapeutics 公司于1999 年已成功地在猪的体细胞中用基因敲除技术敲除了α-1,3GT 基因。使每只猪都缺乏产生a1-3半乳糖基转移酶的基因的2个拷贝。这些酶在细胞表面产生一种糖分子,人体的免疫系统可以立即辨认出这种糖分子为异源性,从而引发超急性免疫排斥反应。在缺乏这种酶的情况下,超急性排斥反应即不会再发生[10]。④.免疫学中的应用。同异源器官移植相似,异源的抗体用于人体时
的分子机理研究和疾病的基因治疗。通过基因敲除技术可以确定特定基因的性质以及研究它对机体的影响。这无论是对了解疾病的根源或者是寻找基因治疗的靶目标都有重大的意义。 ③.提供廉价的异种移植器官。众所周知,器官来源稀少往往是人体器官移植的一大制约因素,而大量廉价的异种生物如猪等的器官却不能用于人体。这是因为异源生物的基因会产生一些能引起人体强烈免疫排斥的异源分子,如果能将产生这些异源分子的基因敲除,那么动物的器官将能用于人体的疾病治疗,这将为患者带来具大的福音。如:PPL
技术资料暂无技术资料 索取技术资料










