相关产品推荐更多 >
万千商家帮你免费找货
0 人在求购买到急需产品
- 详细信息
- 文献和实验
- 技术资料
- 应用范围:
产品信息以Bioss网站为准
- 规格:
50ul/100ul/200ul
| 规格: | 50ul | 产品价格: | ¥1180.0 |
|---|---|---|---|
| 规格: | 100ul | 产品价格: | ¥1980.0 |
| 规格: | 200ul | 产品价格: | ¥2800.0 |
| 产品编号 | bs-3545R |
| 英文名称 | RCC1 Rabbit pAb |
| 中文名称 | 染色体浓缩调控蛋白1抗体 |
| 英文别名 | Cell cycle regulatory protein; CHC 1; CHC1; Chromosome condensation 1; Chromosome condensation protein 1; Guanine nucleotide releasing protein; HERC2; Ran GEF; RanGEF; RCC 1; RCC1 I; Regulator of chromosome condensation 1; Regulator of chromosome condensation; SHEP1; RCC1_HUMAN. |
| 产品应用 | IHC-P=1:100-500, IHC-F=1:100-500, IF=1:100-500 Not yet tested in other applications. |
| 交叉反应 | Human (Mouse, Rat, Pig, Cow) |
| 抗体来源 | Rabbit |
| 免疫原 | KLH conjugated synthetic peptide derived from human RCC1 |
| 亚型 | IgG |
| 性状 | Liquid |
| 纯化方法 | affinity purified by Protein A |
| 克隆类型 | Polyclonal |
| 理论分子量 | 46 kDa |
| 浓度 | 1mg/ml |
| 储存液 | 0.01M TBS (pH7.4) with 1% BSA, 0.02% Proclin300 and 50% Glycerol. |
| 研究领域 | Cell Biology > Cell Cycle > Cell Division > Other cell division antibodies Cell Biology > Cell Cycle > Cell Division > Spindle |
| 亚基 | Interacts with ARRB2; the interaction is detected in the nucleus upon OR1D2 stimulation. |
| 亚细胞定位 | Nucleus. Cytoplasm. Note=Becomes dispersed throughout the cytoplasm during mitosis. |
| 翻译后修饰 | -terminal methylation by METTL11A/NTM1 is required for binding double-stranded DNA and stable chromatin association. Di-and trimethylation produce a permanent positive charge on the amino group, which facilitate electrostatic binding to the phosphate groups on DNA, while inhibiting histone-binding. Methylated tail helps retain RCC1 on chromosomes during nucleotide exchange on Ran. |
| 相似性 | Contains 7 RCC1 repeats. |
| 功能 | Guanine-nucleotide releasing factor that promotes the exchange of Ran-bound GDP by GTP. Involved in the regulation of onset of chromosome condensation in the S phase. Binds both to the nucleosomes and double-stranded DNA. RCC1-Ran complex (together with other proteins) acts as a component of a signal transmission pathway that detects unreplicated DNA. Plays a key role in nucleo-cytoplasmic transport, mitosis and nuclear-envelope assembly. |
| 保存条件 | Shipped at 4℃. Store at -20℃ for one year. Avoid repeated freeze/thaw cycles. |
| 注意事项 | This product as supplied is intended for research use only, not for use in human, therapeutic or diagnostic applications. |
| 背景资料 | Ran GTPase plays important roles in nucleocytoplasmic transport in interphase and in both spindle formation and nuclear envelope (NE) assembly during mitosis. The latter functions rely on the presence of high local concentrations of GTP bound Ran near mitotic chromatin. RanGTP localization has been proposed to result from the association of Ran's GDP/GTP exchange factor, RCC1, with chromatin , but Ran is shown here to bind directly to chromatin in two modes, either dependent or independent of RCC1, and, where bound, to increase the affinity of chromatin for NE membranes. |
| 应用 | 推荐稀释比例 |
| {IHC-P} | {1:100-500} |
| {IHC-F} | {1:100-500} |
| {IF} | {1:100-500} |

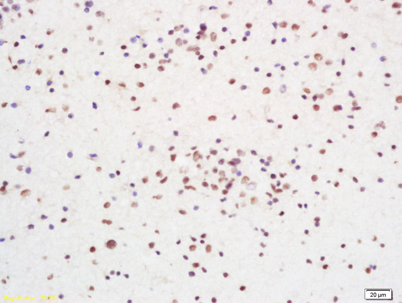
Antigen retrieval: citrate buffer ( 0.01M, pH 6.0 ), Boiling bathing for 15min; Block endogenous peroxidase by 3% Hydrogen peroxide for 30min; Blocking buffer (normal goat serum,C-0005) at 37℃ for 20 min;
Incubation: Anti-RCC1 Polyclonal Antibody, Unconjugated(bs-3545R) 1:200, overnight at 4°C, followed by conjugation to the secondary antibody(SP-0023) and DAB(C-0010) staining
风险提示:丁香通仅作为第三方平台,为商家信息发布提供平台空间。用户咨询产品时请注意保护个人信息及财产安全,合理判断,谨慎选购商品,商家和用户对交易行为负责。对于医疗器械类产品,请先查证核实企业经营资质和医疗器械产品注册证情况。
文献和实验= NAL), appears to form upon oxidative cyclization of the nonfluorescent 2:1 lysine-HNE Michael adduct-Schiff base cross-link (Scheme 1). Polyclonal antibody (PAb) to the NAL-HNE fluorophore was raised in rabbit and found to be highly specific
GE Healthcare Benzamidine Sepharose™ 6B is p-aminobenzamidine covalently attached to Sepharose 6B by the epoxy coupling method. p-Aminobenzamidine (PAB), is a synthetic inhibitor of trypsin-like serine protease. Trypsin and trypsin
., & Banes, A.J. Rabbit tendon cells produce MMP-3 in response to fluid flow without significant calcium transients. J. Biomech. 35, 303-309 (2002). 20. Patton, J.T., Menter, D.G., Benson, D.M., Nicolson, G.L., & McIntire, L.V. Computerized analysis
技术资料暂无技术资料 索取技术资料











