相关产品推荐更多 >
万千商家帮你免费找货
0 人在求购买到急需产品
- 详细信息
- 文献和实验
- 技术资料
- 应用范围:
产品信息以Bioss网站为准
- 规格:
50ul/100ul/200ul
| 规格: | 50ul | 产品价格: | ¥1180.0 |
|---|---|---|---|
| 规格: | 100ul | 产品价格: | ¥1980.0 |
| 规格: | 200ul | 产品价格: | ¥2800.0 |
| 产品编号 | bs-9553R |
| 英文名称 | RTL8C Rabbit pAb |
| 中文名称 | 反转录转座子Gag样蛋白8C抗体 |
| 英文别名 | Retrotransposon Gag-like protein 8C; CAAX box protein 1; CXX1; FAM127A; Family with sequence similarity 127, member A; Mammalian retrotransposon derived protein 8C; Mar8; MAR8C; Mart8; MART8C; RTL8C_HUMAN. |
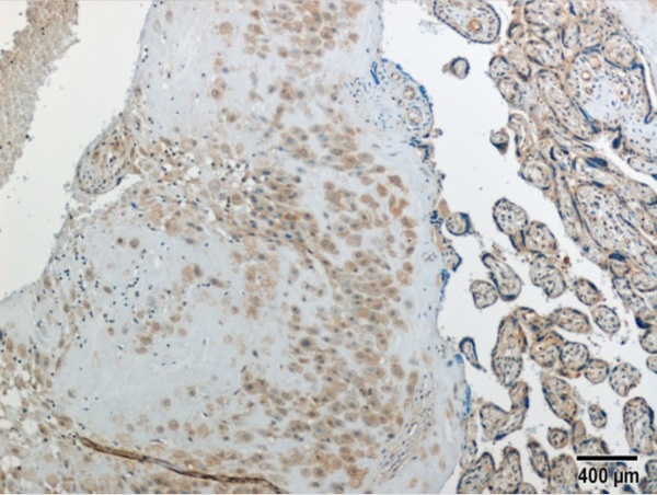
| 产品应用 | IHC-P=1:100-500, IHC-F=1:100-500, IF=1:100-500 Not yet tested in other applications. |
| 交叉反应 | Human (Mouse, Rat, Dog, Pig, Cow, Horse) |
| 抗体来源 | Rabbit |
| 免疫原 | KLH conjugated synthetic peptide derived from human Retrotransposon Gag-like protein 8C |
| 亚型 | IgG |
| 性状 | Liquid |
| 纯化方法 | affinity purified by Protein A |
| 克隆类型 | Polyclonal |
| 理论分子量 | 13 kDa |
| 浓度 | 1mg/ml |
| 储存液 | 0.01M TBS (pH7.4) with 1% BSA, 0.02% Proclin300 and 50% Glycerol. |
| 研究领域 | Cell Biology > Other Antibodies > Other Antibodies |
| 亚细胞定位 | Cell membrane; Lipid anchor. |
| 组织特异性 | Ubiquitous. |
| 相似性 | Belongs to the FAM127 family. |
| 保存条件 | Shipped at 4℃. Store at -20℃ for one year. Avoid repeated freeze/thaw cycles. |
| 注意事项 | This product as supplied is intended for research use only, not for use in human, therapeutic or diagnostic applications. |
| 背景资料 | RTL8C (Retrotransposon Gag Like 8C) is a Protein Coding gene. An important paralog of this gene is RTL8A. |
| 应用 | 推荐稀释比例 |
| {IHC-P} | {1:100-500} |
| {IHC-F} | {1:100-500} |
| {IF} | {1:100-500} |

风险提示:丁香通仅作为第三方平台,为商家信息发布提供平台空间。用户咨询产品时请注意保护个人信息及财产安全,合理判断,谨慎选购商品,商家和用户对交易行为负责。对于医疗器械类产品,请先查证核实企业经营资质和医疗器械产品注册证情况。
文献和实验[IF={{ 4.77 }}] {Henke, Christine, et al. "Selective expression of sense and antisense transcripts of the sushi-ichi-related retrotransposon–derived family during mouse placentogenesis." Retrovirology 12.1 (2015): 1-17.} {WB} {="Mouse"}
= NAL), appears to form upon oxidative cyclization of the nonfluorescent 2:1 lysine-HNE Michael adduct-Schiff base cross-link (Scheme 1). Polyclonal antibody (PAb) to the NAL-HNE fluorophore was raised in rabbit and found to be highly specific
+e/MNcTXL5n8RmjoNHFCGBSf86HgcNl/Q/zf9vuKyPEgIvCGIxBJ8hsOacwwIhARiAhEBA5UBGqNqjWbdW1mtUrdyV+jXk1IYEMn4YM6nZDCutWqZR00rFzudxJZrSqt4jQGeGGlUkryU5yQd5U0nklDZ5tWqlZMJVhFW83qOrc7ruczQEBdHsWhjLryr9ZrXmZDaSCw5F9t1K2/UvY8KjXK0f+qSqEA8vGfJC77lUpFoiAsldKmPBG+r
GE Healthcare Benzamidine Sepharose™ 6B is p-aminobenzamidine covalently attached to Sepharose 6B by the epoxy coupling method. p-Aminobenzamidine (PAB), is a synthetic inhibitor of trypsin-like serine protease. Trypsin and trypsin
技术资料暂无技术资料 索取技术资料









