相关产品推荐更多 >

ADRB2 Rabbit pAb, APC conjugated(bs-0947R-APC)-100ul
¥2980
GPR158 Rabbit pAb(bs-15384R)-50ul/100ul/200ul
¥1180
IL-20R alpha Rabbit pAb(bs-41355R)-50ul/100ul/200ul
¥1180
GDPD1 Rabbit pAb(bs-13325R)-50ul/100ul/200ul
¥1180
Histone H4 (Acetyl K16) Rabbit pAb, PerCP-Cy7 conjugated(bs-4707R-PerCP-Cy7)-100ul
¥2980
万千商家帮你免费找货
0 人在求购买到急需产品
- 详细信息
- 文献和实验
- 技术资料
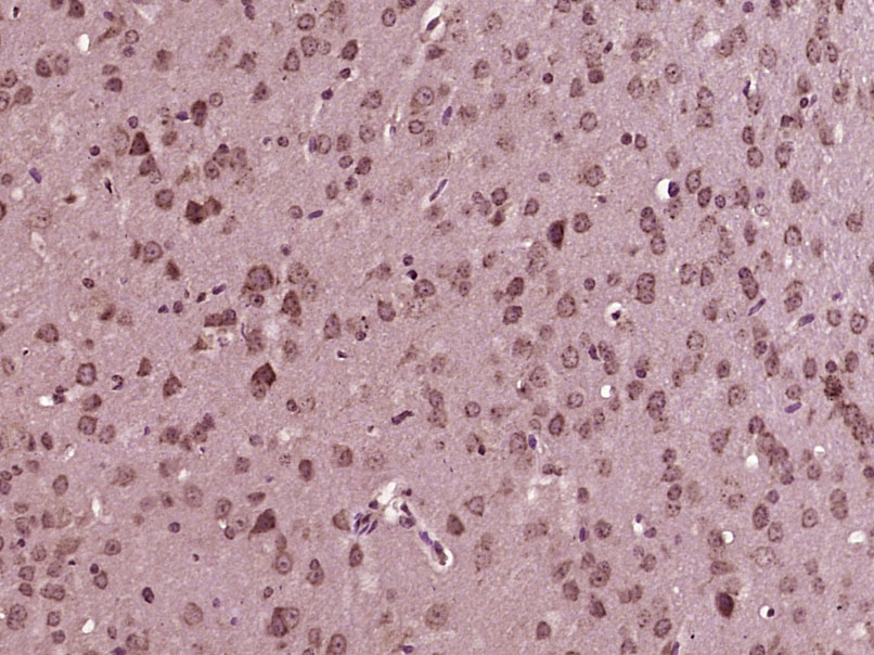
- 应用范围:
产品信息以Bioss网站为准
- 规格:
50ul/100ul/200ul
| 规格: | 50ul | 产品价格: | ¥1180.0 |
|---|---|---|---|
| 规格: | 100ul | 产品价格: | ¥1980.0 |
| 规格: | 200ul | 产品价格: | ¥2800.0 |
| 产品编号 | bs-2992R |
| 英文名称 | MLK3 Rabbit pAb |
| 中文名称 | 丝氨酸/苏氨酸蛋白激酶MLK3抗体 |
| 英文别名 | MEKK11; MGC17114; Mitogen-activated protein kinase kinase kinase 11; Mixed lineage kinase 3; Mixed lineage protein kinase 3; Mlk-3; Mlk3; Protein tyrosine kinase PTK1; PTK1; RHOE; SH3 domain containing proline rich kinase; SPRK; Src-homology 3 domain-containing proline-rich kinase; 2610017K16Rik; EC 2.7.11.25; M3K11_HUMAN. |
| 产品应用 | WB=1:500-2000, IHC-P=1:100-500, IHC-F=1:100-500, IF=1:100-500 Not yet tested in other applications. |
| 交叉反应 | Human, Mouse, Rat (Cow, Horse) |
| 抗体来源 | Rabbit |
| 免疫原 | KLH conjugated synthetic peptide derived from human MLK3 |
| 亚型 | IgG |
| 性状 | Liquid |
| 纯化方法 | affinity purified by Protein A |
| 克隆类型 | Polyclonal |
| 理论分子量 | 93 kDa |
| 浓度 | 1mg/ml |
| 储存液 | 0.01M TBS (pH7.4) with 1% BSA, 0.02% Proclin300 and 50% Glycerol. |
| 研究领域 | Signal Transduction > Protein Phosphorylation > Ser / Thr Kinases > Other Kinases Signal Transduction > Protein Phosphorylation > Tyrosine Kinases |
| 亚基 | Homodimer; undergoes dimerization during activation. |
| 亚细胞定位 | Cytoplasm, cytoskeleton, centrosome. Note=Location is cell cycle dependent. |
| 组织特异性 | Expressed in a wide variety of normal and neoplastic tissues including fetal lung, liver, heart and kidney, and adult lung, liver, heart, kidney, placenta, skeletal muscle, pancreas and brain. |
| 翻译后修饰 | Autophosphorylation on serine and threonine residues within the activation loop plays a role in enzyme activation. Thr-277 is likely to be the main autophosphorylation site. Phosphorylation of Ser-555 and Ser-556 is induced by CDC42. |
| 相似性 | Belongs to the protein kinase superfamily. STE Ser/Thr protein kinase family. MAP kinase kinase kinase subfamily. Contains 1 protein kinase domain. Contains 1 SH3 domain. |
| 功能 | Activates the JUN N-terminal pathway. Required for serum-stimulated cell proliferation and for mitogen and cytokine activation of MAPK14 (p38), MAPK3 (ERK) and MAPK8 (JNK1). Plays a role in mitogen-stimulated phosphorylation and activation of BRAF, but does not phosphorylate BRAF directly. Influences microtubule organization during the cell cycle. |
| 保存条件 | Shipped at 4℃. Store at -20℃ for one year. Avoid repeated freeze/thaw cycles. |
| 注意事项 | This product as supplied is intended for research use only, not for use in human, therapeutic or diagnostic applications. |
| 背景资料 | Members of the mixed-lineage kinase (MLK) family (including MLK1, MLK2, MLK3, and dual leucine zipper kinase [DLK]) are serine/threonine protein kinases that are expressed in multiple cell types. MLK3 is activated by phosphorylation in response to stress stimuli (e.g., inflammatory responses, UV, chemical stress) that are coupled to the small GTPase, Cdc42/rac. MLK3 is a multifunctional kinase that plays an essential role in several signaling pathways, including mitogen-activated protein kinase (i.e. activation of JNK and p38), IkappaB/NFkappaB, and p70 S6 kinase. Indeed MLK3 signaling occurs through multiple signaling domains in this protein kinase including (from N- to C-terminal) a glycine-rich domain, Src homology 3 (SH3) domain, a kinase domain, a zipper domain, a Cdc42/rac interactive binding (CRIB) domain and a Pro/Ser/Thr-rich domain. Phosphorylation of MLK3 occurs on multiple residues including threonine 277 and serine 281 within the activation loop of the kinase domain. |
| 应用 | 推荐稀释比例 |
| {WB} | {1:500-2000} |
| {IHC-P} | {1:100-500} |
| {IHC-F} | {1:100-500} |
| {IF} | {1:100-500} |



Lane 1: Hela (Human) Cell Lysate at 30 ug
Lane 2: MCF-7 (Human) Cell Lysate at 30 ug
Primary: Anti-MLK3 (bs-2992R) at 1/1000 dilution
Secondary: IRDye800CW Goat Anti-Rabbit IgG at 1/20000 dilution
Predicted band size: 93 kD
Observed band size: 98 kD
风险提示:丁香通仅作为第三方平台,为商家信息发布提供平台空间。用户咨询产品时请注意保护个人信息及财产安全,合理判断,谨慎选购商品,商家和用户对交易行为负责。对于医疗器械类产品,请先查证核实企业经营资质和医疗器械产品注册证情况。
文献和实验= NAL), appears to form upon oxidative cyclization of the nonfluorescent 2:1 lysine-HNE Michael adduct-Schiff base cross-link (Scheme 1). Polyclonal antibody (PAb) to the NAL-HNE fluorophore was raised in rabbit and found to be highly specific
GE Healthcare Benzamidine Sepharose™ 6B is p-aminobenzamidine covalently attached to Sepharose 6B by the epoxy coupling method. p-Aminobenzamidine (PAB), is a synthetic inhibitor of trypsin-like serine protease. Trypsin and trypsin
Nucleic Acid Programmable Protein Arrays: Versatile Tools for Array‐Based Functional Protein Studies
.g., Sigma) 50 mg/ml bis‐sulfosuccinimdylsuberate (BS3 ;Pierce, cat. no. PI 21580) in dimethylsulfoxide (DMSO) 5 mg/ml
技术资料暂无技术资料 索取技术资料





