Cell line: HeLa
Fixative: 100% Ice-cold methanol
Permeabilization: 0.1% TritonX-100
Primary ab dilution: 1:50
Primary incubation condition: 4°C overnight
Secondary ab: Goat Anti-Mouse IgG
Nuclear counter stain: DAPI (Blue)
Comment: Color green is the positive signal for bsm-60375M
相关产品推荐更多 >

Rad23 Rabbit pAb, BF680 conjugated(bs-7121R-BF680)-100ul
¥2980
ZNF112 Rabbit pAb, Biotin conjugated(bs-7171R-Bio)-100ul
¥2980
phospho-c-Kit (Tyr823) Rabbit pAb, BF594 conjugated(bs-12915R-BF594)-100ul
¥2980
TYROBP Rabbit pAb, Cy3 conjugated(bs-12630R-Cy3)-100ul
¥2980
Anti-human DLK1 (LIV-1205 Biosimilar)(BIO0360SM)-1mg/5mg/20mg
¥3200
万千商家帮你免费找货
0 人在求购买到急需产品
- 详细信息
- 技术资料
- 应用范围:
产品信息以Bioss网站为准
- 规格:
50ul/100ul/25ul
| 规格: | 50ul | 产品价格: | ¥1400.0 |
|---|---|---|---|
| 规格: | 100ul | 产品价格: | ¥2500.0 |
| 规格: | 25ul | 产品价格: | ¥800.0 |
| 产品编号 | bsm-60375M |
| 英文名称 | TMEM111 Recombinant Mouse mAb |
| 产品应用 | WB=1:500-1000, IHC-P=1:100-500, IHC-F=1:100-500, ICC/IF=1:100-500, IF=1:100-500 Not yet tested in other applications. |
| 交叉反应 | Human (Mouse, Rat) |
| 抗体来源 | Mouse |
| 亚型 | IgG2a, Kappa |
| 性状 | Liquid |
| 纯化方法 | affinity purified by Protein G |
| 克隆类型 | Recombinant |
| 浓度 | 1mg/ml |
| 储存液 | 0.01M TBS (pH7.4) with 1% BSA, 0.02% Proclin300 and 50% Glycerol. |
| 研究领域 | Cell Biology > Other Antibodies > Other Antibodies |
| 亚细胞定位 | Membrane. |
| 相似性 | Belongs to the UPF0347 (TMEM111) family. |
| 保存条件 | Shipped at 4℃. Store at -20℃ for one year. Avoid repeated freeze/thaw cycles. |
| 注意事项 | This product as supplied is intended for research use only, not for use in human, therapeutic or diagnostic applications. |
| 应用 | 推荐稀释比例 |
| {WB} | {1:500-1000} |
| {IHC-P} | {1:100-500} |
| {IHC-F} | {1:100-500} |
| {ICC/IF} | {1:100-500} |
| {IF} | {1:100-500} |


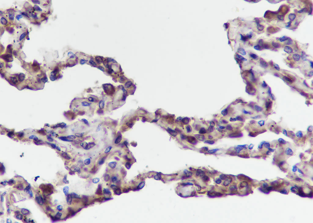
Tissue: Human lung
Section type: Formalin fixed & Paraffin -embedded section
Retrieval method: High temperature and high pressure
Retrieval buffer: Tris/EDTA buffer, pH 9.0 Primary ab dilution: 1:100
Primary ab incubation condition: 1 hour at room temperature
Secondary ab: SP Kit(Mouse)(sp-0024)
Counter stain: Hematoxylin (Blue)
Comment: Color brown is the positive signal for bsm-60375M
Section type: Formalin fixed & Paraffin -embedded section
Retrieval method: High temperature and high pressure
Retrieval buffer: Tris/EDTA buffer, pH 9.0 Primary ab dilution: 1:100
Primary ab incubation condition: 1 hour at room temperature
Secondary ab: SP Kit(Mouse)(sp-0024)
Counter stain: Hematoxylin (Blue)
Comment: Color brown is the positive signal for bsm-60375M
风险提示:丁香通仅作为第三方平台,为商家信息发布提供平台空间。用户咨询产品时请注意保护个人信息及财产安全,合理判断,谨慎选购商品,商家和用户对交易行为负责。对于医疗器械类产品,请先查证核实企业经营资质和医疗器械产品注册证情况。
技术资料暂无技术资料 索取技术资料
TMEM111 Recombinant Mouse mAb(bsm-60375M)-50ul/100ul/25ul
¥800 - 2500





