相关产品推荐更多 >

human HLA-DR Mouse mAb, PerCP conjugated(bsm-30090M-PerCP)-50T/25T/100T
¥1080
phospho-NFKB1 (Ser373) Rabbit pAb, BF594 conjugated(bs-20075R-BF594)-100ul
¥2980
STK31 Rabbit pAb(bs-7015R)-50ul/100ul/200ul
¥1180
MTOR Rabbit pAb, PerCP conjugated(bs-1992R-PerCP)-100ul
¥2980
FAM3B Rabbit pAb(bs-0711R)-50ul/100ul/200ul
¥1180
万千商家帮你免费找货
0 人在求购买到急需产品
- 详细信息
- 文献和实验
- 技术资料
- 应用范围:
产品信息以Bioss网站为准
- 规格:
50ul/100ul/200ul
| 规格: | 50ul | 产品价格: | ¥1180.0 |
|---|---|---|---|
| 规格: | 100ul | 产品价格: | ¥1980.0 |
| 规格: | 200ul | 产品价格: | ¥2800.0 |
| 产品编号 | bs-17852R |
| 英文名称 | MSH5 Rabbit pAb |
| 中文名称 | MSH5蛋白抗体 |
| 英文别名 | DKFZp434C1615; G7; hMSH5; MGC2939; MSH 5; MSH5; MSH5_HUMAN; mutS(E. coli) homolog 5; mutS homolog 5; mutS homolog 5(E. coli); MutS protein homolog 5; MutSH5; NG23; OTTHUMP00000029187; OTTHUMP00000029188. |
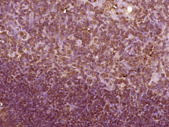
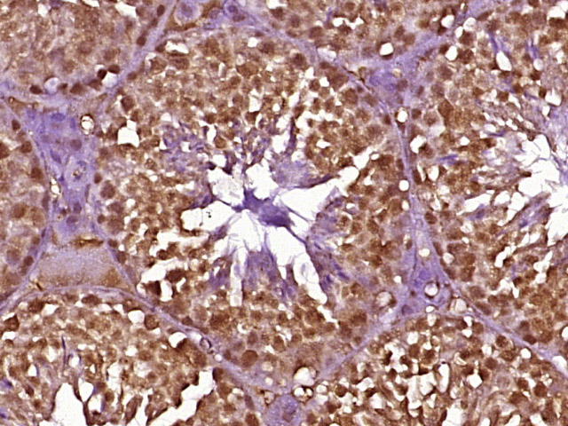
| 产品应用 | IHC-P=1:100-500, IHC-F=1:100-500, IF=1:100-500 Not yet tested in other applications. |
| 交叉反应 | Mouse, Rat (Human, Dog, Pig, Cow, Horse, Rabbit, Sheep, Xenopus laevis) |
| 抗体来源 | Rabbit |
| 免疫原 | KLH conjugated synthetic peptide derived from human MSH5 |
| 亚型 | IgG |
| 性状 | Liquid |
| 纯化方法 | affinity purified by Protein A |
| 克隆类型 | Polyclonal |
| 理论分子量 | 93 kDa |
| 浓度 | 1mg/ml |
| 储存液 | 0.01M TBS (pH7.4) with 1% BSA, 0.02% Proclin300 and 50% Glycerol. |
| 研究领域 | Epigenetics and Nuclear Signaling > DNA / RNA > DNA Damage & Repair > Mismatch Repair |
| 亚基 | Heterooligomer of MSH4 and MSH5. Interacts with HJURP. |
| 组织特异性 | Ubiquitous, but highly expressed in testis, and thymus. |
| 相似性 | Belongs to the DNA mismatch repair mutS family. |
| 功能 | Involved in meiotic recombination. Facilitate crossovers between homologs during meiosis. |
| 保存条件 | Shipped at 4℃. Store at -20℃ for one year. Avoid repeated freeze/thaw cycles. |
| 注意事项 | This product as supplied is intended for research use only, not for use in human, therapeutic or diagnostic applications. |
| 背景资料 | This gene encodes a member of the mutS family of proteins that are involved in DNA mismatch repair and meiotic recombination. This protein is similar to a Saccharomyces cerevisiae protein that participates in segregation fidelity and crossing-over events during meiosis. This protein plays a role in promoting ionizing radiation-induced apoptosis. This protein forms hetero-oligomers with another member of this family, mutS homolog 4. Polymorphisms in this gene have been linked to various human diseases, including IgA deficiency, common variable immunodeficiency, and premature ovarian failure. Alternative splicing results multiple transcript variants. Read-through transcription also exists between this gene and the downstream chromosome 6 open reading frame 26 (C6orf26) gene. [provided by RefSeq, Feb 2011] |
| 应用 | 推荐稀释比例 |
| {IHC-P} | {1:100-500} |
| {IHC-F} | {1:100-500} |
| {IF} | {1:100-500} |


风险提示:丁香通仅作为第三方平台,为商家信息发布提供平台空间。用户咨询产品时请注意保护个人信息及财产安全,合理判断,谨慎选购商品,商家和用户对交易行为负责。对于医疗器械类产品,请先查证核实企业经营资质和医疗器械产品注册证情况。
文献和实验= NAL), appears to form upon oxidative cyclization of the nonfluorescent 2:1 lysine-HNE Michael adduct-Schiff base cross-link (Scheme 1). Polyclonal antibody (PAb) to the NAL-HNE fluorophore was raised in rabbit and found to be highly specific
GE Healthcare Benzamidine Sepharose™ 6B is p-aminobenzamidine covalently attached to Sepharose 6B by the epoxy coupling method. p-Aminobenzamidine (PAB), is a synthetic inhibitor of trypsin-like serine protease. Trypsin and trypsin
Nucleic Acid Programmable Protein Arrays: Versatile Tools for Array‐Based Functional Protein Studies
.g., Sigma) 50 mg/ml bis‐sulfosuccinimdylsuberate (BS3 ;Pierce, cat. no. PI 21580) in dimethylsulfoxide (DMSO) 5 mg/ml
技术资料暂无技术资料 索取技术资料






