相关产品推荐更多 >

phospho-c-Kit (Tyr568 + Tyr570) Rabbit pAb, BF680 conjugated(bs-12916R-BF680)-100ul
¥2980
Myosin light chain (phospho S20) Rabbit pAb, PE-Cy5 conjugated(bs-7052R-PE-Cy5)-100ul
¥2980
HLA-C Mouse mAb, APC conjugated(bsm-43093M-APC)-100ul
¥2980
LRRC20 Rabbit pAb(bs-18370R)-50ul/100ul/200ul
¥1180
PLOD2 Rabbit pAb(bs-12731R)-50ul/100ul/200ul
¥1180
万千商家帮你免费找货
0 人在求购买到急需产品
- 详细信息
- 文献和实验
- 技术资料
- 应用范围:
产品信息以Bioss网站为准
- 规格:
50ul/100ul/200ul
| 规格: | 50ul | 产品价格: | ¥1180.0 |
|---|---|---|---|
| 规格: | 100ul | 产品价格: | ¥1980.0 |
| 规格: | 200ul | 产品价格: | ¥2800.0 |
| 产品编号 | bs-3686R |
| 英文名称 | PHD2 Rabbit pAb |
| 中文名称 | 脯氨酸羟化酶2抗体 |
| 英文别名 | SM 20; Zinc finger MYND domain containing protein 6; C1ORF12; Chromosome 1 Open Reading Frame 12; ECYT 3; ECYT3; EGL 9 homolog of C. elegans 1; EGL nine(C.elegans) homolog 1; Egl nine homolog 1; Egl nine like protein 1; EGLN 1; EGLN1; HIF PH2; HIF Prolyl Hydroxylase 2; HIFP4H 2; HIFPH2; HPH 2; HPH2; Hypoxia inducible factor prolyl hydroxylase 2; ORF13; P4H2; PHD 2; PHD2; PNAS 118; PNAS 137; Prolyl Hydroxylase Domain Containing Protein 2; Rat Homolog of SM20; SM20; ZMYND6. |
| 产品应用 | WB=1:500-2000, IHC-P=1:100-500, IHC-F=1:100-500, ICC/IF=1:100-500, IF=1:100-500 Not yet tested in other applications. |
| 交叉反应 | Human, Mouse (Pig, Cow, Rabbit) |
| 抗体来源 | Rabbit |
| 免疫原 | KLH conjugated synthetic peptide derived from human PHD2 |
| 亚型 | IgG |
| 性状 | Liquid |
| 纯化方法 | affinity purified by Protein A |
| 克隆类型 | Polyclonal |
| 理论分子量 | 47 kDa |
| 浓度 | 1mg/ml |
| 储存液 | 0.01M TBS (pH7.4) with 1% BSA, 0.02% Proclin300 and 50% Glycerol. |
| 研究领域 | Cancer > Cancer Metabolism > Response to hypoxia Cancer > Invasion/microenvironment > Hypoxia > Hydroxylases Cardiovascular > Hypoxia > Prolyl Hydroxylase Epigenetics and Nuclear Signaling > Cardiovascular/Immune > Hypoxia > Prolyl hydroxylase Metabolism > Pathways and Processes > Metabolism processes > Hypoxia |
| 亚细胞定位 | Cytoplasm. Nucleus. |
| 组织特异性 | According to PubMed:11056053, widely expressed with highest levels in skeletal muscle and heart, moderate levels in pancreas, brain (dopaminergic neurons of adult and fetal substantia nigra) and kidney, and lower levels in lung and liver. According to PubMed:12351678 widely expressed with highest levels in brain, kidney and adrenal gland. Expressed in cardiac myocytes, aortic endothelial cells and coronary artery smooth muscle. According to PubMed:12788921; expressed in adult and fetal heart, brain, liver, lung, skeletal muscle and kidney. Also expressed in placenta. Highest levels in adult heart, brain, lung and liver and fetal brain, heart spleen and skeletal muscle. |
| 相似性 | Contains 1 Fe2OG dioxygenase domain. Contains 1 MYND-type zinc finger. |
| 保存条件 | Shipped at 4℃. Store at -20℃ for one year. Avoid repeated freeze/thaw cycles. |
| 注意事项 | This product as supplied is intended for research use only, not for use in human, therapeutic or diagnostic applications. |
| 背景资料 | PHD2 protein catalyzes the posttranslational formation of 4-hydroxyproline in hypoxia-inducible factor (HIF) alpha proteins. In the presence of oxygen, PHD2 converts specific prolyl residues in HIF alpha to hydroxyproline, leading to HIF alpha proteasomal degradation via the von Hippel-Lindau ubiquitylation complex. Low oxygen levels, sensed at the cellular level, cause the HIF conversion to be reduced so that HIF levels are stable. This results in increased angiogenesis as HIF1 alpha regulates the expression of many angiogenesis-related genes. |
| 应用 | 推荐稀释比例 |
| {WB} | {1:500-2000} |
| {IHC-P} | {1:100-500} |
| {IHC-F} | {1:100-500} |
| {ICC/IF} | {1:100-500} |
| {IF} | {1:100-500} |

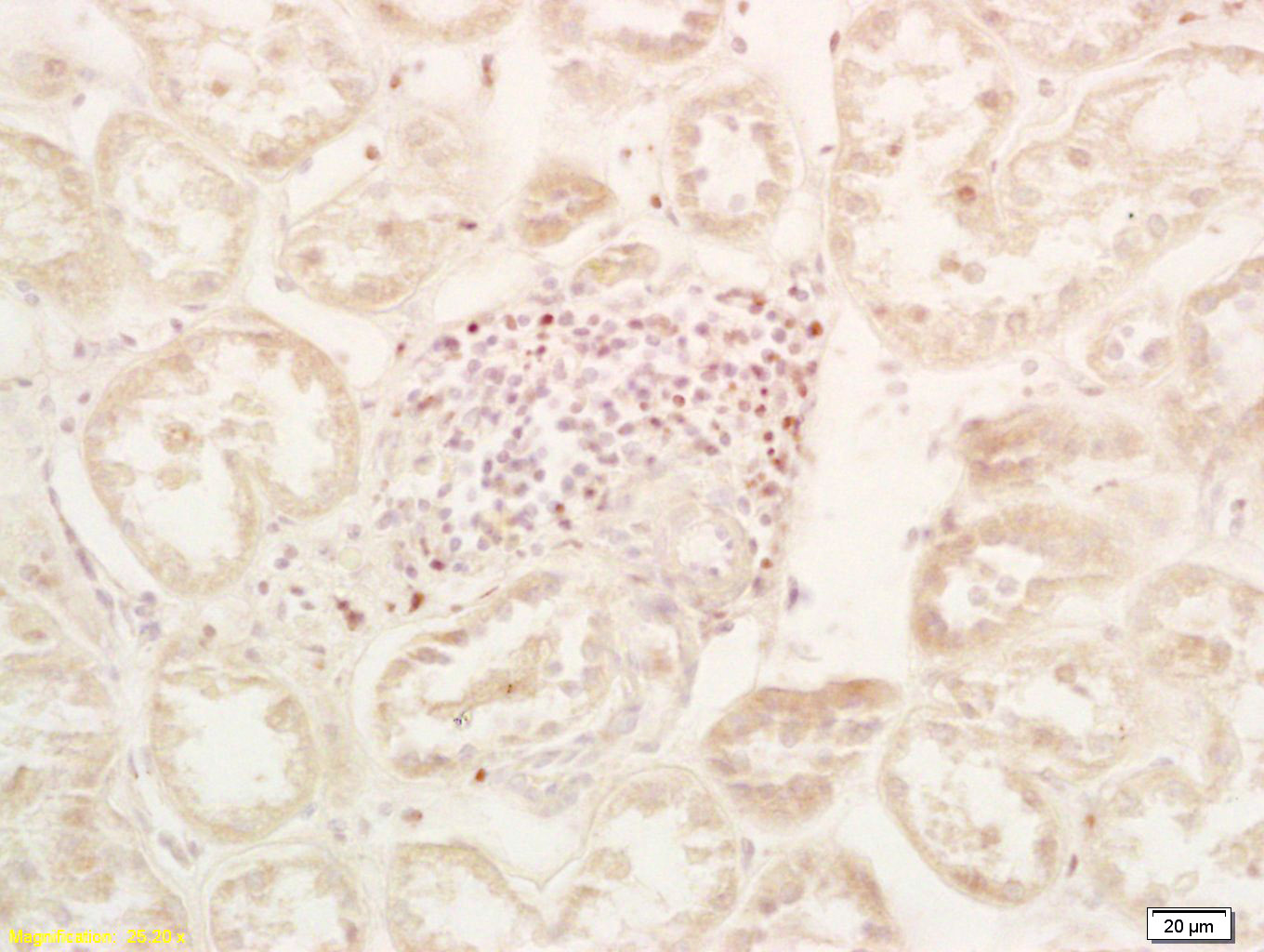
Antigen retrieval: citrate buffer ( 0.01M, pH 6.0 ), Boiling bathing for 15min; Block endogenous peroxidase by 3% Hydrogen peroxide for 30min; Blocking buffer (normal goat serum,C-0005) at 37℃ for 20 min;
Incubation: Anti-PHD2 Polyclonal Antibody, Unconjugated(bs-3686R) 1:200, overnight at 4°C, followed by conjugation to the secondary antibody(SP-0023) and DAB(C-0010) staining

Muscle (Mouse) Lysate at 40 ug
Primary: Anti-PHD2 (bs-3686R) at 1/1000 dilution
Secondary: IRDye800CW Goat Anti-Rabbit IgG at 1/20000 dilution
Predicted band size: 47 kD
Observed band size: 43 kD

风险提示:丁香通仅作为第三方平台,为商家信息发布提供平台空间。用户咨询产品时请注意保护个人信息及财产安全,合理判断,谨慎选购商品,商家和用户对交易行为负责。对于医疗器械类产品,请先查证核实企业经营资质和医疗器械产品注册证情况。
文献和实验= NAL), appears to form upon oxidative cyclization of the nonfluorescent 2:1 lysine-HNE Michael adduct-Schiff base cross-link (Scheme 1). Polyclonal antibody (PAb) to the NAL-HNE fluorophore was raised in rabbit and found to be highly specific
GE Healthcare Benzamidine Sepharose™ 6B is p-aminobenzamidine covalently attached to Sepharose 6B by the epoxy coupling method. p-Aminobenzamidine (PAB), is a synthetic inhibitor of trypsin-like serine protease. Trypsin and trypsin
Nucleic Acid Programmable Protein Arrays: Versatile Tools for Array‐Based Functional Protein Studies
.g., Sigma) 50 mg/ml bis‐sulfosuccinimdylsuberate (BS3 ;Pierce, cat. no. PI 21580) in dimethylsulfoxide (DMSO) 5 mg/ml
技术资料暂无技术资料 索取技术资料






