相关产品推荐更多 >
万千商家帮你免费找货
0 人在求购买到急需产品
- 详细信息
- 文献和实验
- 技术资料
- 应用范围:
产品信息以Bioss网站为准
- 规格:
50ul/100ul/200ul
| 规格: | 50ul | 产品价格: | ¥1180.0 |
|---|---|---|---|
| 规格: | 100ul | 产品价格: | ¥1980.0 |
| 规格: | 200ul | 产品价格: | ¥2800.0 |
| 产品编号 | bs-4867R |
| 英文名称 | p70 S6 kinase beta Rabbit pAb |
| 中文名称 | 核糖体蛋白S6激酶1抗体 |
| 英文别名 | 70 kDa ribosomal protein S6 kinase 2; EC 2.7.11.1; KS6B2_HUMAN; p70 beta; p70 ribosomal S6 kinase beta; p70 S6K-beta; p70 S6KB; p70 S6Kbeta; p70(S6K) beta; p70-beta; p70-S6K 2; P70S6K2; p70S6Kb; Ribosomal protein S6 kinase 70kDa, polypeptide 2; Ribosomal protein S6 kinase beta 2; Ribosomal protein S6 kinase beta-2; Rps6kb2; S6 kinase related kinase; S6 kinase-related kinase; S6K beta 2; S6K beta; S6K-beta; S6K-beta-2; S6K2; Serine/threonine protein kinase 14 beta; Serine/threonine-protein kinase 14B; SRK; STK14B. |
| 产品应用 | WB=1:500-2000, IHC-P=1:100-500, IHC-F=1:100-500, IF=1:50-200, Flow-Cyt=1ug/Test Not yet tested in other applications. |
| 交叉反应 | Human, Mouse, Rat, Hela |
| 抗体来源 | Rabbit |
| 免疫原 | KLH conjugated synthetic peptide derived from human RPS6KB2 |
| 亚型 | IgG |
| 性状 | Liquid |
| 纯化方法 | affinity purified by Protein A |
| 克隆类型 | Polyclonal |
| 理论分子量 | 57 kDa |
| 浓度 | 1mg/ml |
| 储存液 | 0.01M TBS (pH7.4) with 1% BSA, 0.02% Proclin300 and 50% Glycerol. |
| 研究领域 | Metabolism > Types of disease > Diabetes Metabolism > Types of disease > Metabolic disorders Metabolism > Types of disease > Obesity Signal Transduction > Protein Phosphorylation > Ser / Thr Kinases > S6K Family |
| 亚基 | Interacts with PPP1R9A/neurabin-1. Interacts with RPTOR. Interacts with IRS1. Interacts with EIF3B and EIF3C. Interacts with POLDIP3 and TRAF4. |
| 亚细胞定位 | Cell junction, synapse, synaptosome. Mitochondrion outer membrane. Mitochondrion.Note=Colocalizes with URI1 at mitochondrion. Isoform Alpha I: Nucleus. Cytoplasm. Isoform Alpha II: Cytoplasm. |
| 组织特异性 | Widely expressed. |
| 翻译后修饰 | Phosphorylation at Thr-412 is regulated by mTORC1. The phosphorylation at this site is maintained by an agonist-dependent autophosphorylation mechanism (By similarity). Activated by phosphorylation at Thr-252 by PDPK1. Dephosphorylation by PPP1CC at Thr-412 in mitochondrion. |
| 相似性 | Belongs to the protein kinase superfamily. AGC Ser/Thr protein kinase family. S6 kinase subfamily. Contains 1 AGC-kinase C-terminal domain. Contains 1 protein kinase domain. |
| 功能 | Serine/threonine-protein kinase that acts downstream of mTOR signaling in response to growth factors and nutrients to promote cell proliferation, cell growth and cell cycle progression. Regulates protein synthesis through phosphorylation of EIF4B, RPS6 and EEF2K, and contributes to cell survival by repressing the pro-apoptotic function of BAD. Under conditions of nutrient depletion, the inactive form associates with the EIF3 translation initiation complex. Upon mitogenic stimulation, phosphorylation by the mammalian target of rapamycin complex 1 (mTORC1) leads to dissociation from the EIF3 complex and activation. The active form then phosphorylates and activates several substrates in the preinitiation complex, including the EIF2B complex and the cap-binding complex component EIF4B. Also controls translation initiation by phosphorylating a negative regulator of EIF4A, PDCD4, targeting it for ubiquitination and subsequent proteolysis. Promotes initiation of the pioneer round of protein synthesis by phosphorylating POLDIP3/SKAR. In response to IGF1, activates translation elongation by phosphorylating EEF2 kinase (EEF2K), which leads to its inhibition and thus activation of EEF2. Also plays a role in feedback regulation of mTORC2 by mTORC1 by phosphorylating RICTOR, resulting in the inhibition of mTORC2 and AKT1 signaling. Mediates cell survival by phosphorylating the pro-apoptotic protein BAD and suppressing its pro-apoptotic function. Phosphorylates mitochondrial URI1 leading to dissociation of a URI1-PPP1CC complex. The free mitochondrial PPP1CC can then dephosphorylate RPS6KB1 at 'Thr-412', which is proposed to be a negative feedback mechanism for the RPS6KB1 anti-apoptotic function. Mediates TNF-alpha-induced insulin resistance by phosphorylating IRS1 at multiple serine residues, resulting in accelerated degradation of IRS1. In cells lacking functional TSC1-2 complex, constitutively phosphorylates and inhibits GSK3B. May be involved in cytoskeletal rearrangement through binding to neurabin. |
| 保存条件 | Shipped at 4℃. Store at -20℃ for one year. Avoid repeated freeze/thaw cycles. |
| 注意事项 | This product as supplied is intended for research use only, not for use in human, therapeutic or diagnostic applications. |
| 背景资料 | This gene encodes a member of the ribosomal S6 kinase family of serine/threonine kinases. The encoded protein responds to mTOR (mammalian target of rapamycin) signaling to promote protein synthesis, cell growth, and cell proliferation. Activity of this gene has been associated with human cancer. Alternatively spliced transcript variants have been observed. The use of alternative translation start sites results in isoforms with longer or shorter N-termini which may differ in their subcellular localizations. There are two pseudogenes for this gene on chromosome 17. [provided by RefSeq, Jan 2013]. |
| 应用 | 推荐稀释比例 |
| {WB} | {1:500-2000} |
| {IHC-P} | {1:100-500} |
| {IHC-F} | {1:100-500} |
| {IF} | {1:50-200} |
| {Flow-Cyt} | {1ug/Test} |

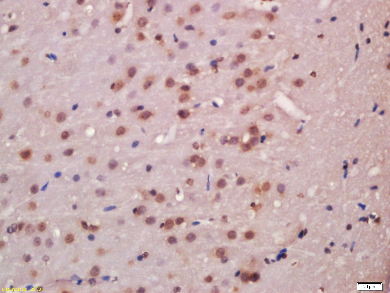
Antigen retrieval: citrate buffer ( 0.01M, pH 6.0 ), Boiling bathing for 15min; Block endogenous peroxidase by 3% Hydrogen peroxide for 30min; Blocking buffer (normal goat serum,C-0005) at 37℃ for 20 min;
Incubation: Anti-p70 S6 kinase beta Polyclonal Antibody, Unconjugated(bs-4867R) 1:200, overnight at 4°C, followed by conjugation to the secondary antibody(SP-0023) and DAB(C-0010) staining

Primary Antibody (green line): Rabbit Anti-p70 S6 kinase beta antibody (bs-4867R)
Dilution:1ug/Test;
Secondary Antibody(white blue line): Goat anti-rabbit IgG-AF488
Dilution: 0.5ug/Test.
Isotype control(orange line): Normal Rabbit IgG
Protocol
The cells were fixed with 4% PFA (10min at room temperature)and then permeabilized with 90% ice-cold methanol for 20 min at -20℃, The cells were then incubated in 5%BSA to block non-specific protein-protein interactions for 30 min at room temperature .Cells stained with Primary Antibody for 30 min at room temperature. The secondary antibody used for 40 min at room temperature. Acquisition of 20,000 events was performed.

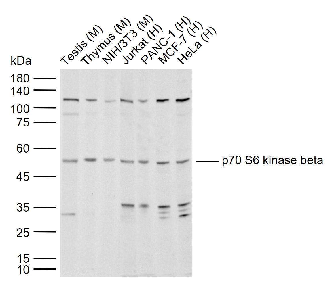
Lane 1: Mouse Testis tissue lysates
Lane 2: Mouse Thymus tissue lysates
Lane 3: Mouse NIH/3T3 cell lysates
Lane 4: Human Jurkat cell lysates
Lane 5: Human PANC-1 cell lysates
Lane 6: Human MCF-7 cell lysates
Lane 7: Human HeLa cell lysates
Primary: Anti-p70 S6 kinase beta (bs-4867R) at 1/1000 dilution
Secondary: IRDye800CW Goat Anti-Rabbit IgG at 1/20000 dilution
Predicted band size: 57 kDa
Observed band size: 55 kDa
风险提示:丁香通仅作为第三方平台,为商家信息发布提供平台空间。用户咨询产品时请注意保护个人信息及财产安全,合理判断,谨慎选购商品,商家和用户对交易行为负责。对于医疗器械类产品,请先查证核实企业经营资质和医疗器械产品注册证情况。
文献和实验after specifically interacting with its receptors. Human IL-2 is a 133-amino acid polypeptide with a molecular mass of 15-18 kDa. IL-2 signaling is mediated by a multichain receptor complex consisting of an alpha (CD25), beta (CD122), and gamma (CD132) chain. The IL-2R
v468. chapter 4 WNT 细胞通路 检测细胞GSK3活性与表达水平
1 selectively inhibits the GSK3-catalysedphosphorylation of axin and beta-catenin. FEBS Lett. 458, 247–251. 10. Ding, V. W., Chen, R. H., and McCormick, F. (2000) Differential regulation of glycogensynthase kinase 3beta by insulin and Wnt signaling. J. Biol
TRAF‐Mediated TNFR‐Family Signaling
., Drexler, H.G., and Quentmeier, H. 2003. Tumor necrosis factor receptor‐associated factor (TRAF) 4 is a new binding partner for the p70S6 serine/threonine kinase. Leuk. Res. 27:687‐694.
技术资料暂无技术资料 索取技术资料









