相关产品推荐更多 >

MACROD1 Rabbit pAb, HRP conjugated(bs-18602R-HRP)-100ul
¥2980
TRRAP Rabbit pAb, AP conjugated(bs-13146R-AP)-100ul
¥2980
GLUT12 Rabbit pAb, PerCP-Cy7 conjugated(bs-2540R-PerCP-Cy7)-100ul
¥2980
ICAM5 Rabbit pAb, RBITC conjugated(bs-6686R-RBITC)-100ul
¥2980
Anti-human F11 / Factor XI (Osocimab Biosimilar)(BIO0706SM)-1mg/5mg/20mg
¥3200
万千商家帮你免费找货
0 人在求购买到急需产品
- 详细信息
- 文献和实验
- 技术资料
- 应用范围:
产品信息以Bioss网站为准
- 规格:
50ul/100ul/200ul
| 规格: | 50ul | 产品价格: | ¥1180.0 |
|---|---|---|---|
| 规格: | 100ul | 产品价格: | ¥1980.0 |
| 规格: | 200ul | 产品价格: | ¥2800.0 |
| 产品编号 | bs-4313R |
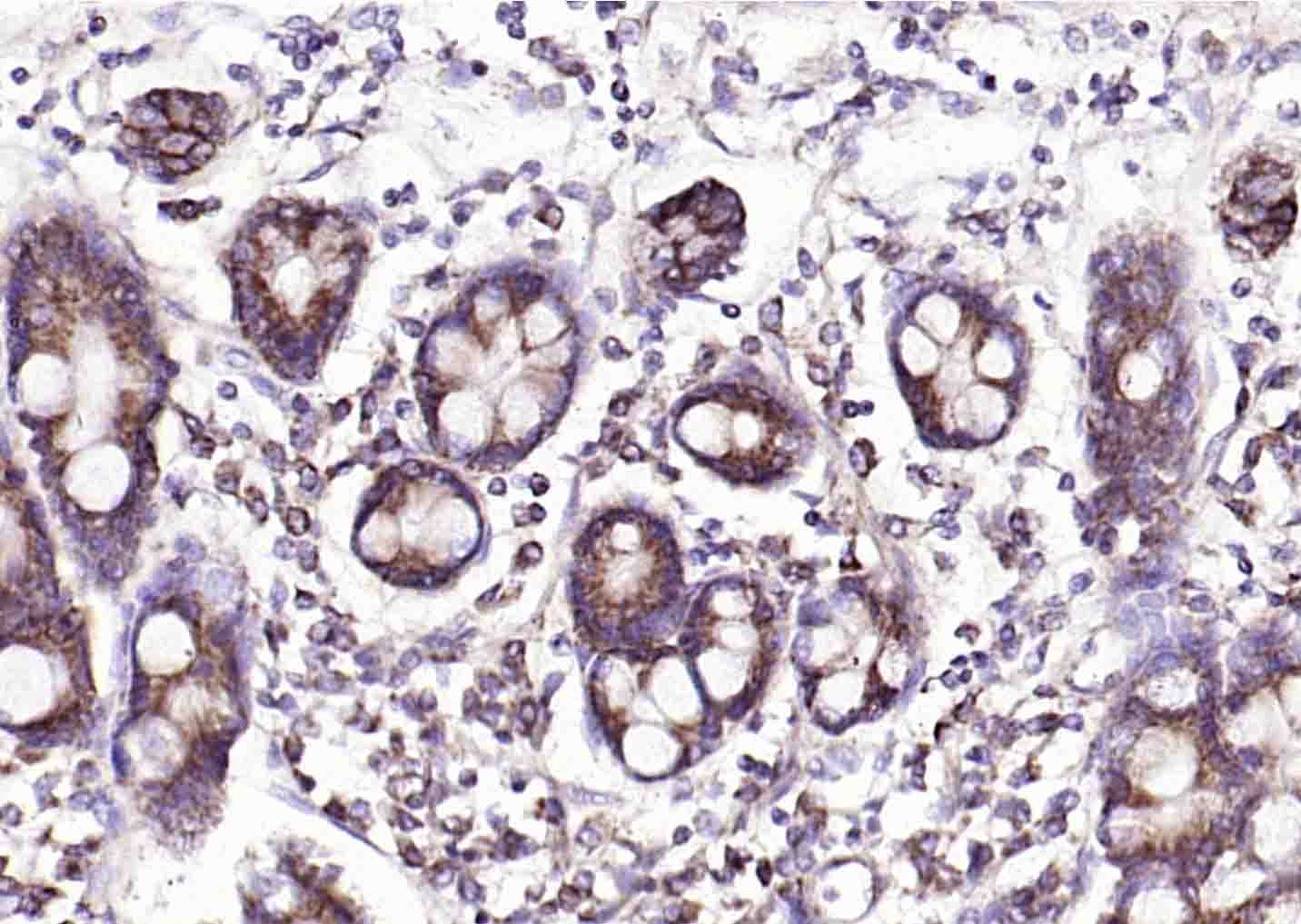
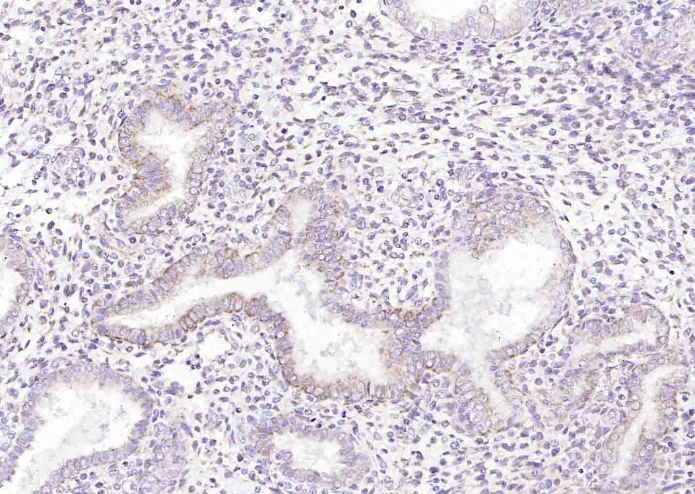
| 英文名称 | Defensin alpha 5 Rabbit pAb |
| 中文名称 | 防御素α5抗体 |
| 英文别名 | alpha 5; alpha 5 Defensin; DEF5; DEF5_HUMAN; Defa; Defa29; DEFA5; Defcr29; Defcr5; Defensin 5; Defensin alpha 5; Defensin alpha 5 Paneth cell specific; Defensin alpha 5 preproprotein; Defensin; Enteric defensin; HD 5; HD5; HD5(20-94); HD5(63-94); MGC129728; RD 5. |
| 产品应用 | IHC-P=1:100-500, IHC-F=1:100-500, IF=1:100-500 Not yet tested in other applications. |
| 交叉反应 | Human |
| 抗体来源 | Rabbit |
| 免疫原 | KLH conjugated synthetic peptide derived from human Defensin alpha 5 |
| 亚型 | IgG |
| 性状 | Liquid |
| 纯化方法 | affinity purified by Protein A |
| 克隆类型 | Polyclonal |
| 理论分子量 | 7.8 kDa |
| 浓度 | 1mg/ml |
| 储存液 | 0.01M TBS (pH7.4) with 1% BSA, 0.02% Proclin300 and 50% Glycerol. |
| 研究领域 | Microbiology > Protein > Human Protein > Defensin |
| 亚细胞定位 | Secreted. Cytoplasmic vesicle > secretory vesicle. Peptides HD5(20-94), HD5(23-94) and HD5(29-94) are found within tissues, HD5(20-94) being the predominant intracellular form. Peptides HD5(56-94) and HD5(63-94) are found in the extracellular milieu, HD5(63-94) being the most abundant form. |
| 组织特异性 | Paneth cells of the small intestine (at protein level). |
| 翻译后修饰 | Glycosylated. |
| 相似性 | Belongs to the alpha-defensin family. |
| 功能 | Has antimicrobial activity against Gram-negative and Gram-positive bacteria. Defensins are thought to kill microbes by permeabilizing their plasma membrane. All DEFA5 peptides exert antimicrobial activities, but their potency is affected by peptide processing. |
| 保存条件 | Shipped at 4℃. Store at -20℃ for one year. Avoid repeated freeze/thaw cycles. |
| 注意事项 | This product as supplied is intended for research use only, not for use in human, therapeutic or diagnostic applications. |
| 背景资料 | Has antimicrobial activity against Gram-negative and Gram-positive bacteria. Defensins are thought to kill microbes by permeabilizing their plasma membrane. All DEFA5 peptides exert antimicrobial activities, but their potency is affected by peptide processing. |
| 应用 | 推荐稀释比例 |
| {IHC-P} | {1:100-500} |
| {IHC-F} | {1:100-500} |
| {IF} | {1:100-500} |


风险提示:丁香通仅作为第三方平台,为商家信息发布提供平台空间。用户咨询产品时请注意保护个人信息及财产安全,合理判断,谨慎选购商品,商家和用户对交易行为负责。对于医疗器械类产品,请先查证核实企业经营资质和医疗器械产品注册证情况。
文献和实验一篇文献中的ELISA方法如下:Control peptides (14–17 amino acid sequence near the N-terminal or C-terminal of the studied protein) and the reactive rabbit anti-defensin antibodies (affinity pure) were obtained from Alpha Diagnostics .CoStar flat-bottom high
【资源】全面归类网址:毕赤酵母表达各种来源蛋白(细菌,真菌,植物,人类等)
Heterologous Proteins Expressed in Pichia pastoris有以下几部分组成:Protein CommentsMode, amount,signal sequenceReferences and Links分别分物种来源如下:BacteriaAlpha galactosidaseS453Bacillus licheniformis alpha-amylaseS, 2.5 g/L, SUC2[53, 54]Bacillus
Nucleic Acid Programmable Protein Arrays: Versatile Tools for Array‐Based Functional Protein Studies
.g., Sigma) 50 mg/ml bis‐sulfosuccinimdylsuberate (BS3 ;Pierce, cat. no. PI 21580) in dimethylsulfoxide (DMSO) 5 mg/ml
技术资料暂无技术资料 索取技术资料






