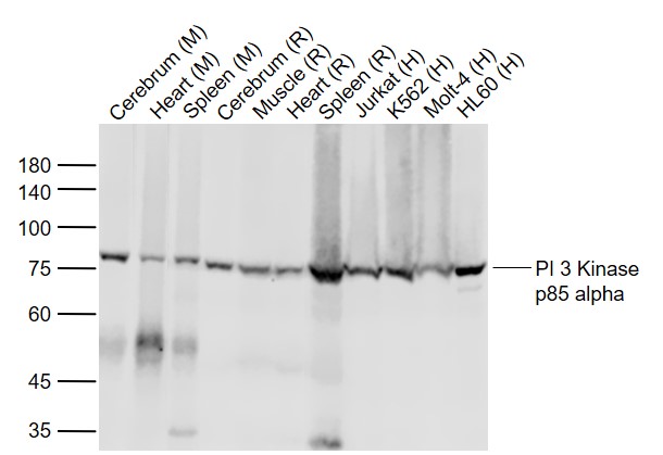
Sample:
Lane 1: Mouse Cerebrum tissue lysates
Lane 2: Mouse Heart tissue lysates
Lane 3: Mouse Spleen tissue lysates
Lane 4: Rat Cerebrum tissue lysates
Lane 5: Rat Muscle tissue lysates
Lane 6: Rat Heart tissue lysates
Lane 7: Rat Spleen tissue lysates
Lane 8: Human Jurkat cell lysates
Lane 9: Human K562 cell lysates
Lane 10: Human Molt-4 cell lysates
Lane 11: Human HL60 cell lysates
Primary: Anti-PI 3 Kinase p85 alpha (bsm-77002M) at 1/1000 dilution
Secondary: IRDye800CW Goat Anti-Mouse IgG at 1/20000 dilution
Predicted band size: 80 kD
Observed band size: 80 kD
相关产品推荐更多 >

Glucocorticoid receptor Rabbit pAb, PerCP conjugated(bs-0252R-PerCP)-100ul
¥2980
BRLF1 Rabbit pAb(bs-4542R)-50ul/100ul/200ul
¥1180
Hyaluronidase3 Rabbit pAb(bs-5889R)-50ul/100ul/200ul
¥1180
phospho-Cdc25B (Ser186) Rabbit pAb(bs-5244R)-50ul/100ul/200ul
¥1180
NOX5 Rabbit pAb, AP conjugated(bs-10156R-AP)-100ul
¥2980
万千商家帮你免费找货
0 人在求购买到急需产品
- 详细信息
- 文献和实验
- 技术资料
- 应用范围:
产品信息以Bioss网站为准
- 规格:
50ul/100ul/200ul/200ug
| 规格: | 50ul | 产品价格: | ¥1180.0 |
|---|---|---|---|
| 规格: | 100ul | 产品价格: | ¥1980.0 |
| 规格: | 200ul | 产品价格: | ¥2800.0 |
| 规格: | 200ug | 产品价格: | ¥5600.0 |
| 产品编号 | bsm-77002M |
| 英文名称 | PIK3R1 (animal-free) Mouse mAb |
| 中文名称 | 磷脂酰肌醇激酶单克隆抗体 (无动物源) |
| 英文别名 | P85A_HUMAN; Phosphatidylinositol 3-kinase regulatory subunit alpha; GRB1; PI3-kinase regulatory subunit alpha; PI3K regulatory subunit alpha; PtdIns-3-kinase regulatory subunit alpha; Phosphatidylinositol 3-kinase 85 kDa regulatory subunit alpha(PI3-kinase subunit p85-alpha; PtdIns-3-kinase regulatory subunit p85-alpha); PI 3-kinase p85α; PI 3-kinase p85 α; PI 3-kinase p85-α; SH3_PI3K_p85alpha; PI3-kinase p85 subunit alpha; phosphoinositide-3-kinase regulatory subunit 1; p85; AGM7; IMD36; p85-ALPHA; PI 3 Kinase p85 alpha; |
| 产品应用 | WB=1:500-2000 Not yet tested in other applications. |
| 交叉反应 | Human, Mouse, Rat |
| 抗体来源 | Mouse |
| 免疫原 | Recombinant mouse PI3K p85 Protein |
| 亚型 | IgG |
| 性状 | Liquid |
| 纯化方法 | affinity purified by Protein A |
| 克隆类型 | Monoclonal |
| 理论分子量 | 80 kDa |
| 浓度 | 1mg/ml |
| 储存液 | 0.01M TBS (pH7.4) with 1% BSA, 0.02% Proclin300 and 50% Glycerol. |
| 研究领域 | Cancer > Signal transduction Immunology > Innate Immunity > TLR Signaling Signal Transduction > Signaling Pathway > Lipid Signaling > Lipid Kinases |
| 亚基 | Heterodimer of a regulatory subunit PIK3R1 and a p110 catalytic subunit (PIK3CA, PIK3CB or PIK3CD). Interacts with FER. Interacts (via SH2 domain) with TEK/TIE2 (tyrosine phosphorylated). Interacts with PTK2/FAK1 (By similarity). Interacts with phosphorylated TOM1L1. Interacts with phosphorylated LIME1 upon TCR and/or BCR activation. Interacts with SOCS7. Interacts with RUFY3. Interacts (via SH2 domain) with CSF1R (tyrosine phosphorylated). Interacts with LYN (via SH3 domain); this enhances enzyme activity. Interacts with phosphorylated LAT, LAX1 and TRAT1 upon TCR activation. Interacts with CBLB. Interacts with HIV-1 Nef to activate the Nef associated p21-activated kinase (PAK). This interaction depends on the C-terminus of both proteins and leads to increased production of HIV. Interacts with HCV NS5A. The SH2 domains interact with the YTHM motif of phosphorylated INSR in vitro. Also interacts with tyrosine-phosphorylated IGF1R in vitro. Interacts with CD28 and CD3Z upon T-cell activation. Interacts with IRS1 and phosphorylated IRS4, as well as with NISCH and HCST. Interacts with FASLG, KIT and BCR. Interacts with AXL, FGFR1, FGFR2, FGFR3 and FGFR4 (phosphorylated). Interacts with FGR and HCK. Interacts with PDGFRA (tyrosine phosphorylated) and PDGFRB (tyrosine phosphorylated). Interacts with ERBB4 (phosphorylated). Interacts with NTRK1 (phosphorylated upon ligand-binding). |
| 亚细胞定位 | Cytoplasmic. |
| 组织特异性 | Isoform 2 is expressed in skeletal muscle and brain, and at lower levels in kidney and cardiac muscle. Isoform 2 and isoform 4 are present in skeletal muscle (at protein level). |
| 翻译后修饰 | Polyubiquitinated in T-cells by CBLB; which does not promote proteasomal degradation but impairs association with CD28 and CD3Z upon T-cell activation. Phosphorylated. Tyrosine phosphorylated in response to signaling by FGFR1, FGFR2, FGFR3 and FGFR4. Phosphorylated by CSF1R. Phosphorylated by ERBB4. Phosphorylated on tyrosine residues by TEK/TIE2. Dephosphorylated by PTPRJ. Phosphorylated by PIK3CA at Ser-608; phosphorylation is stimulated by insulin and PDGF. The relevance of phosphorylation by PIK3CA is however unclear. Phosphorylated in response to KIT and KITLG/SCF. Phosphorylated by FGR. |
| 相似性 | Belongs to the PI3K p85 subunit family.
Contains 1 Rho-GAP domain. Contains 2 SH2 domains. |
| 功能 | Binds to activated (phosphorylated) protein-Tyr kinases, through its SH2 domain, and acts as an adapter, mediating the association of the p110 catalytic unit to the plasma membrane. Necessary for the insulin-stimulated increase in glucose uptake and glycogen synthesis in insulin-sensitive tissues. |
| 保存条件 | Shipped at 4℃. Store at -20℃ for one year. Avoid repeated freeze/thaw cycles. |
| 注意事项 | This product as supplied is intended for research use only, not for use in human, therapeutic or diagnostic applications. |
| 背景资料 | The enzyme phosphatidylinositol 3 kinase (PI3 kinase) is a lipid kinase that generates phosphatidylinositol 3, 4, 5-triphosphate in response to receptor activation in many signal transduction pathways. Class IA PI3Ks exist as a heterodimer of a catalytic 110 kDa (p110) and a regulatory p85 subunit (e.g. p85 alpha). p85 alpha is an adaptor molecule that regulates the activity of the catalytic p110 subunit by binding to phosphorylated receptor tyrosine kinases (RTKs) through its SH2 domain and mediating the interaction between p110 and the plasma membrane. p85 alpha is necessary for insulin-stimulated increase in glucose uptake and glycogen synthesis in insulin-sensitive tissues. |
| 应用 | 推荐稀释比例 |
| {WB} | {1:500-2000} |

风险提示:丁香通仅作为第三方平台,为商家信息发布提供平台空间。用户咨询产品时请注意保护个人信息及财产安全,合理判断,谨慎选购商品,商家和用户对交易行为负责。对于医疗器械类产品,请先查证核实企业经营资质和医疗器械产品注册证情况。
文献和实验该产品被引用文献
[IF={{ 3.24 }}] {Jing Hu. et al. Investigation of the active ingredients and pharmacological mechanisms of Porana sinensis Hemsl. Against rheumatoid arthritis using network pharmacology and experimental validation. Plos One. 2022 Mar;17(3):e0264786} {WB} {Rat}
技术资料暂无技术资料 索取技术资料
文献支持
PIK3R1 (animal-free) Mouse mAb(bsm-77002M)-50ul/100ul/200ul/200ug
¥1180 - 5600





