相关产品推荐更多 >
万千商家帮你免费找货
0 人在求购买到急需产品
- 详细信息
- 文献和实验
- 技术资料
- 应用范围:
产品信息以Bioss网站为准
- 规格:
50ul/100ul/200ul
| 规格: | 50ul | 产品价格: | ¥1180.0 |
|---|---|---|---|
| 规格: | 100ul | 产品价格: | ¥1980.0 |
| 规格: | 200ul | 产品价格: | ¥2800.0 |
| 产品编号 | bs-1816R |
| 英文名称 | ITGA7 Rabbit pAb |
| 中文名称 | 整合素α7抗体 |
| 英文别名 | Integrin alpha-7 heavy chain; Integrin alpha-7 70 kDa form; Integrin alpha 7; a 7; alpha7; FLJ25220; INTEGRIN ALPHA 7; ITGA7; MGC105724; ITA7_HUMAN; Integrin alpha-7; Integrin α7; Integrin-α7. |
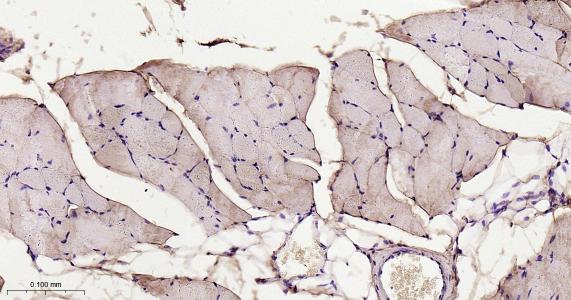
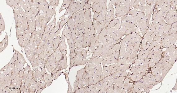
| 产品应用 | WB=1:500-2000, IHC-P=1:100-500, IHC-F=1:100-500, IF=1:100-500 Not yet tested in other applications. |
| 交叉反应 | Human, Mouse, Rat |
| 抗体来源 | Rabbit |
| 免疫原 | KLH conjugated synthetic peptide derived from human Integrin alpha-7 70 kDa form |
| 亚型 | IgG |
| 性状 | Liquid |
| 纯化方法 | affinity purified by Protein A |
| 克隆类型 | Polyclonal |
| 理论分子量 | 70/101/125 kDa |
| 浓度 | 1mg/ml |
| 储存液 | 0.01M TBS (pH7.4) with 1% BSA, 0.02% Proclin300 and 50% Glycerol. |
| 研究领域 | Cancer > Invasion/microenvironment > ECM > Cell adhesion > Integrins Cardiovascular > Angiogenesis > Adhesion / ECM > Integrins Signal Transduction > Cytoskeleton / ECM > Cell Adhesion > Integrins > Alpha |
| 亚基 | Heterodimer of an alpha and a beta subunit. The alpha subunit is composed of an heavy and a light chain linked by a disulfide bond. Alpha-7 associates with beta-1. Interacts with COMP. |
| 亚细胞定位 | Membrane; Single-pass type I membrane protein. |
| 组织特异性 | Isoforms containing segment A are predominantly expressed in skeletal muscle. Isoforms containing segment B are abundantly expressed in skeletal muscle, moderately in cardiac muscle, small intestine, colon, ovary and prostate and weakly in lung and testes. Isoforms containing segment X2D are expressed at low levels in fetal and adult skeletal muscle and in cardiac muscle, but are not detected in myoblasts and myotubes. In muscle fibers isoforms containing segment A and B are expressed at myotendinous and neuromuscular junctions; isoforms containing segment C are expressed at neuromuscular junctions and at extrasynaptic sites. Isoforms containing segments X1 or X2 or, at low levels, X1X2 are expressed in fetal and adult skeletal muscle (myoblasts and myotubes) and cardiac muscle. |
| 翻译后修饰 | ADP-ribosylated on at least two sites of the extracellular domain in skeletal myotubes.
A 70 kDa form is created by proteolytic cleavage. Cleavage is elevated during myogenic differentiation and the cleaved form enhances cell adhesion and spreading on laminin. |
| 相似性 | Belongs to the integrin alpha chain family. Contains 7 FG-GAP repeats. |
| 功能 | Integrin alpha-7/beta-1 is the primary laminin receptor on skeletal myoblasts and adult myofibers. During myogenic differentiation, it may induce changes in the shape and mobility of myoblasts, and facilitate their localization at laminin-rich sites of secondary fiber formation. It is involved in the maintenance of the myofibers cytoarchitecture as well as for their anchorage, viability and functional integrity. Isoform Alpha-7X2B and isoform Alpha-7X1B promote myoblast migration on laminin 1 and laminin 2/4, but isoform Alpha-7X1B is less active on laminin 1 (In vitro). Acts as Schwann cell receptor for laminin-2. Acts as a receptor of COMP and mediates its effect on vascular smooth muscle cells (VSMCs) maturation (By similarity). Required to promote contractile phenotype acquisition in differentiated airway smooth muscle (ASM) cells. |
| 保存条件 | Shipped at 4℃. Store at -20℃ for one year. Avoid repeated freeze/thaw cycles. |
| 注意事项 | This product as supplied is intended for research use only, not for use in human, therapeutic or diagnostic applications. |
| 背景资料 | The protein encoded by this gene belongs to the integrin alpha chain family. Integrins are heterodimeric integral membrane proteins composed of an alpha chain and a beta chain. They mediate a wide spectrum of cell-cell and cell-matrix interactions, and thus play a role in cell migration, morphologic development, differentiation, and metastasis. This protein functions as a receptor for the basement membrane protein laminin-1. It is mainly expressed in skeletal and cardiac muscles and may be involved in differentiation and migration processes during myogenesis. Defects in this gene are associated with congenital myopathy. Alternatively spliced transcript variants encoding different isoforms have been noted for this gene. [provided by RefSeq, Feb 2009] |
| 应用 | 推荐稀释比例 |
| {WB} | {1:500-2000} |
| {IHC-P} | {1:100-500} |
| {IHC-F} | {1:100-500} |
| {IF} | {1:100-500} |




风险提示:丁香通仅作为第三方平台,为商家信息发布提供平台空间。用户咨询产品时请注意保护个人信息及财产安全,合理判断,谨慎选购商品,商家和用户对交易行为负责。对于医疗器械类产品,请先查证核实企业经营资质和医疗器械产品注册证情况。
文献和实验[IF={{ 7.666 }}] {Elisabetta Botticelli. et al. α7 Nicotinic Acetylcholine Receptors May Improve Schwann Cell Regenerating Potential via Metabotropic Signaling Pathways. CELLS-BASEL. 2023 Jan;12(11):1494} {WB} {Rat}
[IF={{ 5.162 }}] {Lianbao Kan. et al. TMT-based quantitative proteomic analysis of antitumor mechanism of Sporisorium reilianum polysaccharide WM-NP-60 against HCT116 cells. Int J Biol Macromol. 2020 Dec;165:1755} {WB} {Human}
[IF={{ 4.9 }}] {Leonard M Eisenberg. et al.Stem Cells Associated with Adult Skeletal Muscle Can Form Beating Cardiac Tissue In Vitro in Response to Media Containing Heparin,Dexamethasone,Growth Factors and Hydrogen Peroxide..INTERNATIONAL JOURNAL OF MOLECULAR SCIENCES.2025 Mar 17;26(6):2683.} {IHC,IF} {Mouse}
[IF={{ 4.6 }}] {Jianjun Wang. et al. Promoter hypermethylation-induced downregulation of ITGA7 promotes colorectal cancer proliferation and migration by activating the PI3K/AKT/NF-κB pathway. BBA-MOL CELL RES. 2024 Oct;1871:119785} {WB} {Human}
[IF={{ 3.97 }}] {Tang, Yi, et al. "ART1 promotes starvation-induced autophagy: a possible protective role in the development of colon carcinoma." American Journal of Cancer Research 2015;5(2):498-513} {WB} {="Mouse"}
常用的β-actin 引物序列 human actin f ctc cat cct ggc ctc gct gt human actin r gct gtc acc ttc acc gtt cc product size:268 rabbit actin r agt gcg acg tgg aca tcc g rabbit actin f tgg ctc taa cag tcc gcc tag product size:295 mouse actin r cgt
human actin f ctc cat cct ggc ctc gct gt human actin r gct gtc acc ttc acc gtt cc product size:268 rabbit actin r agt gcg acg tgg aca tcc g rabbit actin f tgg ctc taa cag tcc gcc ta product size:295 mouse actin r cgt tga cat ccg taa aga
相关专题 human actin f ctc cat cct ggc ctc gct gt human actin r gct gtc acc ttc acc gtt cc product size:268 rabbit actin r agt gcg acg tgg aca tcc g rabbit actin f tgg ctc taa cag tcc gcc tag product size
技术资料暂无技术资料 索取技术资料








