相关产品推荐更多 >
万千商家帮你免费找货
0 人在求购买到急需产品
- 详细信息
- 文献和实验
- 技术资料
- 应用范围:
产品信息以Bioss网站为准
- 规格:
50ul/100ul
| 规格: | 50ul | 产品价格: | ¥1180.0 |
|---|---|---|---|
| 规格: | 100ul | 产品价格: | ¥1980.0 |
| 产品编号 | bs-9525R |
| 英文名称 | CFH Rabbit pAb |
| 中文名称 | 补体因子H抗体 |
| 英文别名 | CFAH_HUMAN; Complement factor H; HF; HF1; HF2; H factor 1; Factor H; |
| 产品应用 | IHC-P=1:100-500, IHC-F=1:100-500, IF=1:100-500, ELISA=1:5000-10000 Not yet tested in other applications. |
| 交叉反应 | Human |
| 抗体来源 | Rabbit |
| 免疫原 | KLH conjugated synthetic peptide derived from human CFH |
| 亚型 | IgG |
| 性状 | Liquid |
| 纯化方法 | affinity purified by Protein A |
| 克隆类型 | Polyclonal |
| 理论分子量 | 51/137 kDa |
| 实际分子量 | 150kDa |
| 浓度 | 1mg/ml |
| 储存液 | 0.01M TBS (pH7.4) with 1% BSA, 0.02% Proclin300 and 50% Glycerol. |
| 亚细胞定位 | Secreted. |
| 组织特异性 | Expressed by the liver and secreted in plasma. |
| 相似性 | Contains 20 Sushi (CCP/SCR) domains. |
| 功能 | Factor H functions as a cofactor in the inactivation of C3b by factor I and also increases the rate of dissociation of the C3bBb complex (C3 convertase) and the (C3b)NBB complex (C5 convertase) in the alternative complement pathway. |
| 保存条件 | Shipped at 4℃. Store at -20℃ for one year. Avoid repeated freeze/thaw cycles. |
| 注意事项 | This product as supplied is intended for research use only, not for use in human, therapeutic or diagnostic applications. |
| 背景资料 | This gene is a member of the Regulator of Complement Activation (RCA) gene cluster and encodes a protein with twenty short consensus repeat (SCR) domains. This protein is secreted into the bloodstream and has an essential role in the regulation of complement activation, restricting this innate defense mechanism to microbial infections. Mutations in this gene have been associated with hemolytic-uremic syndrome (HUS) and chronic hypocomplementemic nephropathy. Alternate transcriptional splice variants, encoding different isoforms, have been characterized. [provided by RefSeq, Oct 2011] |
| 应用 | 推荐稀释比例 |
| {IHC-P} | {1:100-500} |
| {IHC-F} | {1:100-500} |
| {IF} | {1:100-500} |
| {ELISA} | {1:5000-10000} |



风险提示:丁香通仅作为第三方平台,为商家信息发布提供平台空间。用户咨询产品时请注意保护个人信息及财产安全,合理判断,谨慎选购商品,商家和用户对交易行为负责。对于医疗器械类产品,请先查证核实企业经营资质和医疗器械产品注册证情况。
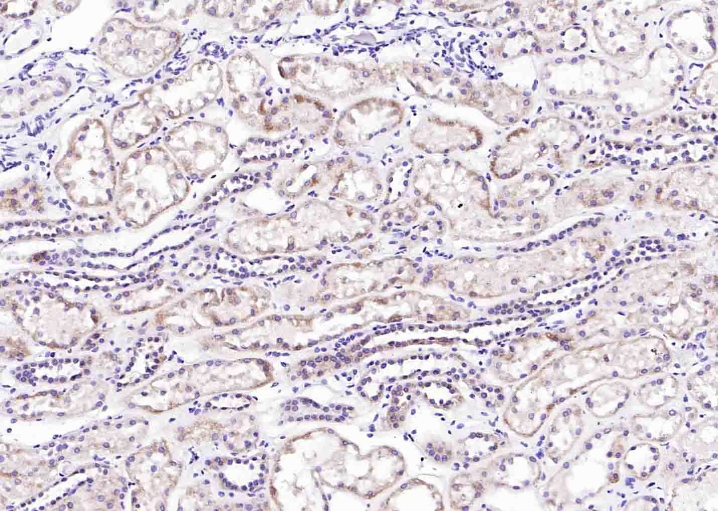
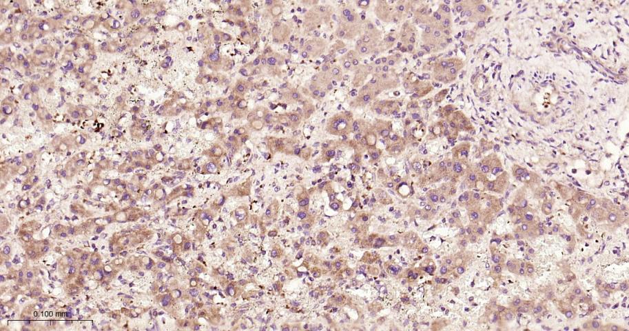
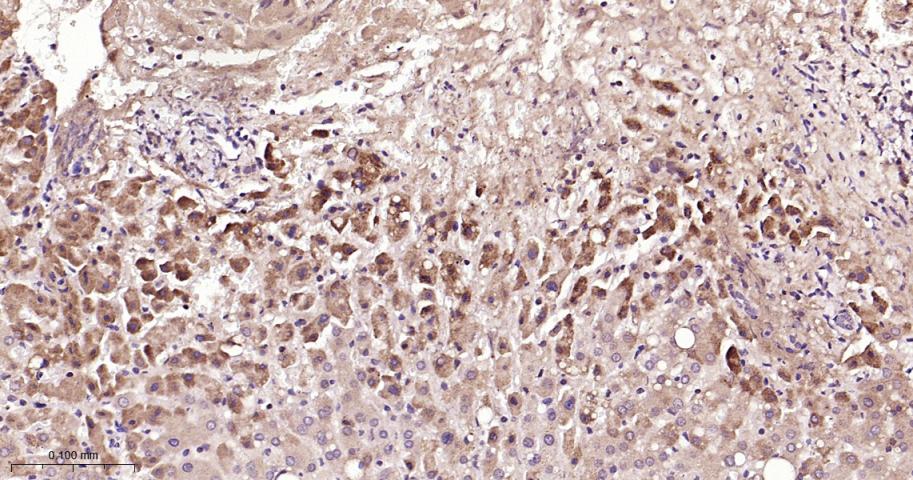
文献和实验[IF={{ 5.7 }}] {Chengji Jin. et al.Contribution of cuproptosis and immune-related genes to idiopathic pulmonary fibrosis disease.FRONT. IMMUNOL..2025 Feb 7:16:1458341.} {IHC} {Human}
[IF={{ 3.386 }}] {Ying He. et al. Bioinformatics Profiling and Experimental Validation of 4 Differentially-Expressed LIM Genes in the Course of Colorectal-Adenoma-Carcinoma. MED SCI MONITOR. 2022; 28: e937081-1–e937081-17} {IHC} {Human}
[IF={{ 2.96 }}] {Chen C et al. Alternative complement pathway is activated in the brains of scrapie‑infected rodents. Med Microbiol Immunol. 2019 Nov 12.} {IHC,IF} {Mouse&Chinese golden hamsters}
[IF={{ 2.838 }}] {Wang Yan. et al. Qihuang Granule protects the retinal pigment epithelium from oxidative stress via regulation of the alternative complement pathway. BMC Complementary Medicine and Therapies. 2023 Dec;23(1):1-12} {WB} {Mouse}
[IF={{ 2.311 }}] {Bingsheng Yang. et al. Identification of prognostic biomarkers associated with metastasis and immune infiltration in osteosarcoma. Oncol Lett. 2021 Mar;21(3):1-1} {IHC} {Human}
= NAL), appears to form upon oxidative cyclization of the nonfluorescent 2:1 lysine-HNE Michael adduct-Schiff base cross-link (Scheme 1). Polyclonal antibody (PAb) to the NAL-HNE fluorophore was raised in rabbit and found to be highly specific
GE Healthcare Benzamidine Sepharose™ 6B is p-aminobenzamidine covalently attached to Sepharose 6B by the epoxy coupling method. p-Aminobenzamidine (PAB), is a synthetic inhibitor of trypsin-like serine protease. Trypsin and trypsin
Nucleic Acid Programmable Protein Arrays: Versatile Tools for Array‐Based Functional Protein Studies
.g., Sigma) 50 mg/ml bis‐sulfosuccinimdylsuberate (BS3 ;Pierce, cat. no. PI 21580) in dimethylsulfoxide (DMSO) 5 mg/ml
技术资料暂无技术资料 索取技术资料









