相关产品推荐更多 >
万千商家帮你免费找货
0 人在求购买到急需产品
- 详细信息
- 文献和实验
- 技术资料
- 应用范围:
产品信息以Bioss网站为准
- 规格:
50ul/100ul
| 规格: | 50ul | 产品价格: | ¥1400.0 |
|---|---|---|---|
| 规格: | 100ul | 产品价格: | ¥2500.0 |
| 产品编号 | bsm-52621R |
| 英文名称 | CPT2 Recombinant Rabbit mAb |
| 中文名称 | 肉毒碱棕榈酰基转移酶2重组兔单抗 |
| 英文别名 | CPT2/CPT1; Carnitine O palmitoyltransferase 2; Carnitine O palmitoyltransferase 2 mitochondrial; Carnitine O-palmitoyltransferase 2; Carnitine palmitoyltransferase II; CPT 1; CPT 2; CPT II; CPT1; CPT2_HUMAN; CPTASE; CPTII; mitochondrial. |
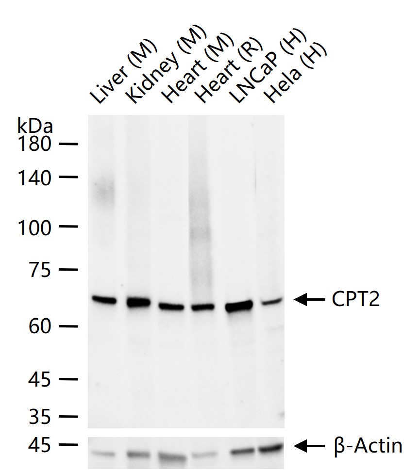
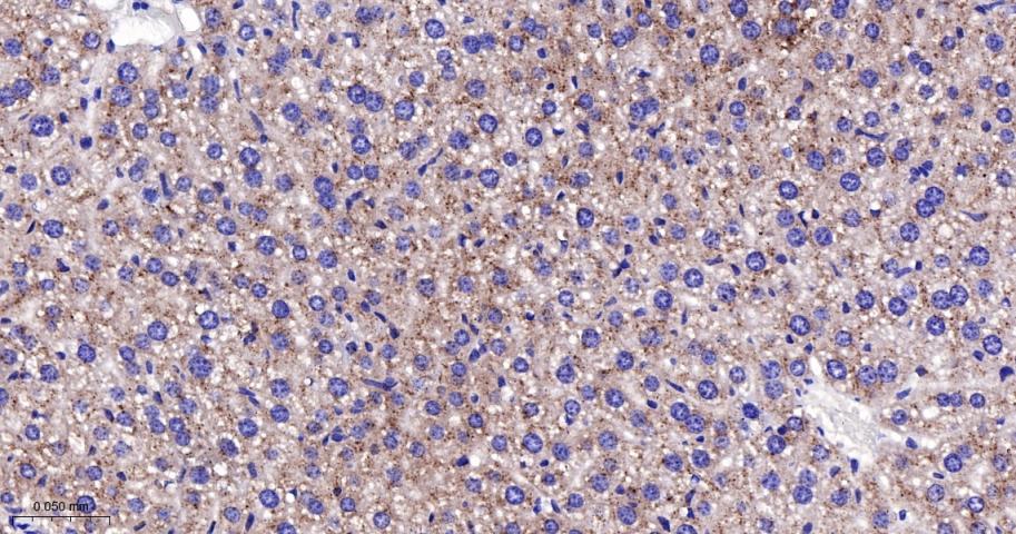
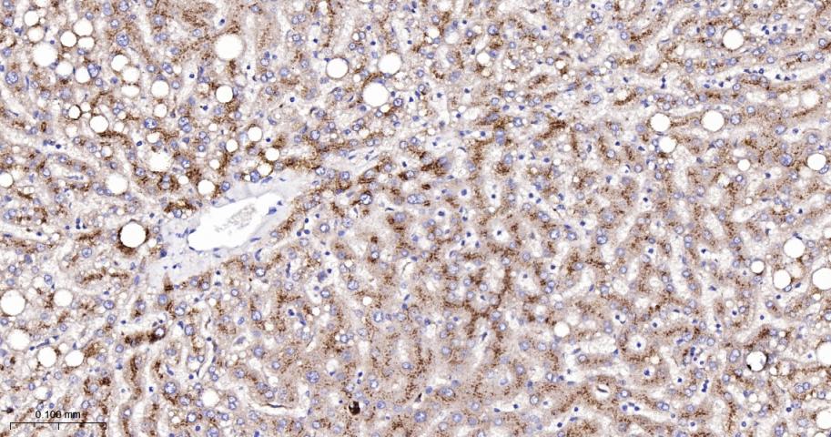
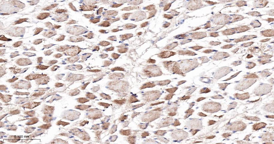
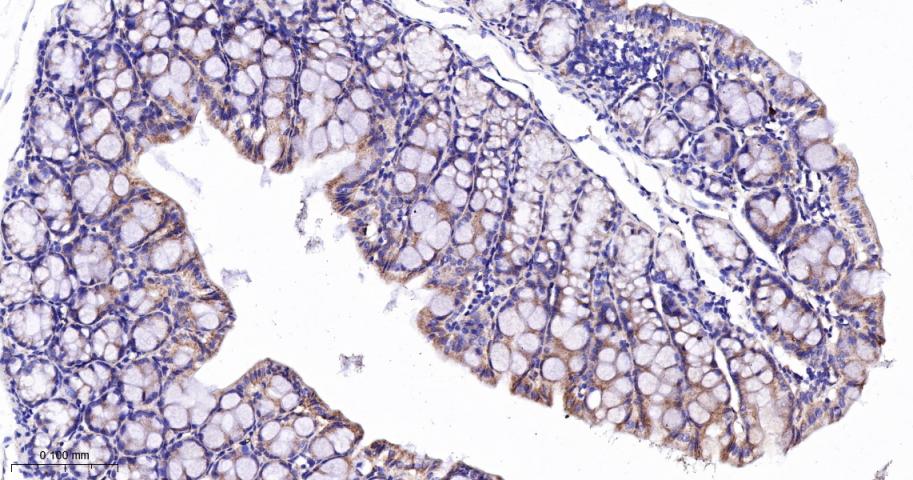
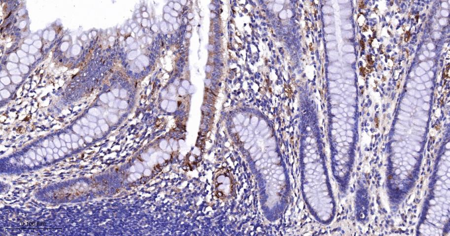
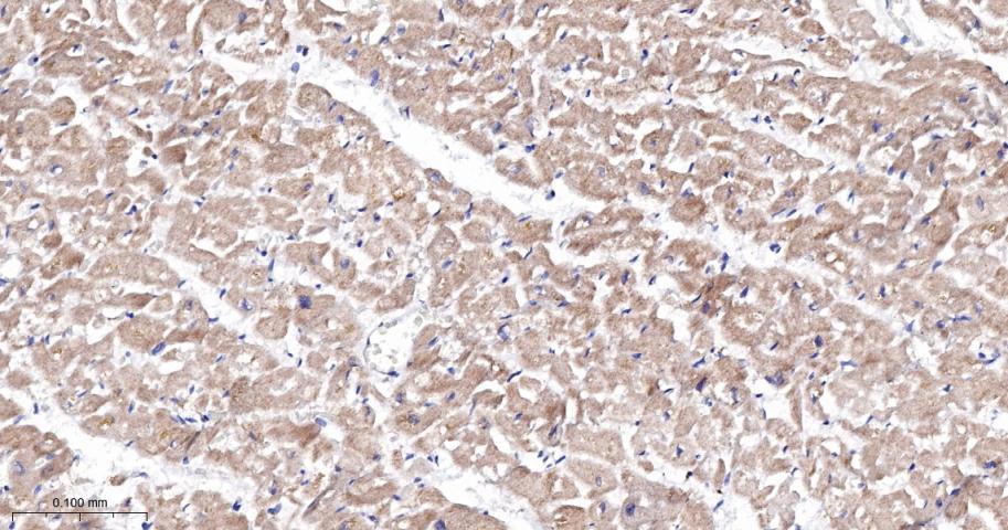
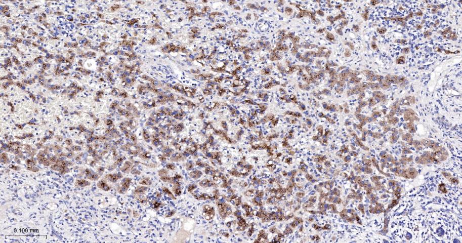
| 产品应用 | WB=1:500-2000, IHC-P=1:50-200, IHC-F=1:50-200, ICC/IF=1:50-200, IF=1:50-200 Not yet tested in other applications. |
| 交叉反应 | Human, Mouse, Rat |
| 抗体来源 | Rabbit |
| 免疫原 | A synthesized peptide derived from human CPT2 |
| 亚型 | IgG |
| 性状 | Liquid |
| 纯化方法 | affinity purified by Protein A |
| 克隆类型 | Recombinant |
| 理论分子量 | 71 kDa |
| 浓度 | 1mg/ml |
| 储存液 | 0.01M TBS (pH7.4) with 1% BSA, 0.02% Proclin300 and 50% Glycerol. |
| 研究领域 | Cancer > Cancer Metabolism > Metabolic signaling pathway > Metabolism of lipids and lipoproteins Cardiovascular > Lipids / Lipoproteins > Fatty Acids > Metabolism Metabolism > Pathways and Processes > Metabolic signaling pathways > Lipid and lipoprotein metabolism > Fatty acids Metabolism > Pathways and Processes > Metabolic signaling pathways > Lipid and lipoprotein metabolism > Lipid metabolism Metabolism > Pathways and Processes > Mitochondrial Metabolism > Mitochondrial markers Metabolism > Pathways and Processes > Redox metabolism > Fatty acid oxidation Signal Transduction > Metabolism > Lipid metabolism Signal Transduction > Metabolism > Mitochondrial Tags & Cell Markers > Subcellular Markers > Organelles > Mitochondria |
| 亚细胞定位 | Mitochondrion inner membrane; Peripheral membrane protein; Matrix side. |
| 相似性 | Belongs to the carnitine/choline acetyltransferase family. |
| 保存条件 | Shipped at 4℃. Store at -20℃ for one year. Avoid repeated freeze/thaw cycles. |
| 注意事项 | This product as supplied is intended for research use only, not for use in human, therapeutic or diagnostic applications. |
| 背景资料 | The protein encoded by this gene is a nuclear protein which is transported to the mitochondrial inner membrane. Together with carnitine palmitoyltransferase I, the encoded protein oxidizes long-chain fatty acids in the mitochondria. Defects in this gene are associated with mitochondrial long-chain fatty-acid (LCFA) oxidation disorders. [provided by RefSeq, Jul 2008]. |
| 应用 | 推荐稀释比例 |
| {WB} | {1:500-2000} |
| {IHC-P} | {1:50-200} |
| {IHC-F} | {1:50-200} |
| {ICC/IF} | {1:50-200} |
| {IF} | {1:50-200} |











风险提示:丁香通仅作为第三方平台,为商家信息发布提供平台空间。用户咨询产品时请注意保护个人信息及财产安全,合理判断,谨慎选购商品,商家和用户对交易行为负责。对于医疗器械类产品,请先查证核实企业经营资质和医疗器械产品注册证情况。
文献和实验到 PVDF 膜上,同时减少蛋白不必要降解,这对于最终获得清晰、可信结果也是需要考虑因素。抗体信息:1.ACC1, Recombinant Rabbit monoclonal IgG. HuaAn. HuaAn biotechnology , inc.2.ATGL, Mouse mAb IgG1, Cat#:RT1058. HuaAn biotechnology , inc.3.p-PERK(Thr981), Rabbit Polyclonal IgG primary antibodies, Cat
The OP9-DL1 System: Generation of T-Lymphocytes from Embryonic or Hematopoietic Stem Cells In Vitro
al. 2006b ). MATERIALS Reagents Anti-CD24 monoclonal antibody (mAb) (J11d clone) (for Protocol 3) Use either culture supernatant that contains anti-CD24 mAb or purified anti-CD24 mAb (see Step 55). BDPharmLyse (red blood cell lysing
技术资料暂无技术资料 索取技术资料










