相关产品推荐更多 >
万千商家帮你免费找货
0 人在求购买到急需产品
- 详细信息
- 文献和实验
- 技术资料
- 应用范围:
产品信息以Bioss网站为准
- 规格:
50ul/100ul/200ul
| 规格: | 50ul | 产品价格: | ¥1180.0 |
|---|---|---|---|
| 规格: | 100ul | 产品价格: | ¥1980.0 |
| 规格: | 200ul | 产品价格: | ¥2800.0 |
| 产品编号 | bs-0701R |
| 英文名称 | Ceramide glucosyltransferase Rabbit pAb |
| 中文名称 | 谷氨酸半胱氨酸γ合成酶抗体 |
| 英文别名 | CEGT_HUMAN; UGCG; GCS; GLCT 1; GLCT-1; GLCT1; Glucosylceramide synthase; UDP glucose ceramide glucosyltransferase; UDP glucose N acylsphingosine D glucosyltransferase; UDP-glucose ceramide glucosyltransferase; UDP-glucose:N-acylsphingosine D-glucosyltransferase; Ugcg. |
| 产品应用 | IHC-P=1:100-500, IHC-F=1:100-500, IF=1:100-500, Flow-Cyt=1μg/Test Not yet tested in other applications. |
| 交叉反应 | Human, Mouse (Rat, Cow) |
| 抗体来源 | Rabbit |
| 免疫原 | KLH conjugated synthetic peptide derived from human UGCG |
| 亚型 | IgG |
| 性状 | Liquid |
| 纯化方法 | affinity purified by Protein A |
| 克隆类型 | Polyclonal |
| 理论分子量 | 44 kDa |
| 浓度 | 1mg/ml |
| 储存液 | 0.01M TBS (pH7.4) with 1% BSA, 0.02% Proclin300 and 50% Glycerol. |
| 研究领域 | Cancer > Cancer Metabolism > Metabolic signaling pathway > Metabolism of lipids and lipoproteins Cell Biology > Other Antibodies > Other Antibodies Metabolism > Pathways and Processes > Metabolic signaling pathways > Lipid and lipoprotein metabolism > Lipid metabolism Tags & Cell Markers > Subcellular Markers > Organelles > ER |
| 亚细胞定位 | Golgi apparatus membrane. |
| 组织特异性 | Found in all tissues examined. |
| 相似性 | Belongs to the glycosyltransferase 2 family. |
| 功能 | Catalyzes the first glycosylation step in glycosphingolipid biosynthesis, the transfer of glucose to ceramide. |
| 保存条件 | Shipped at 4℃. Store at -20℃ for one year. Avoid repeated freeze/thaw cycles. |
| 注意事项 | This product as supplied is intended for research use only, not for use in human, therapeutic or diagnostic applications. |
| 背景资料 | bs-0701P is one synthetic peptide derived from human GCS. GCS (glucosylceramide synthase ) may serve as a 'flippase' as well as a glucosyltransferase that transfers glucose to ceramide. Able to use UDP-galactose to synthesize galactosylceramide with 10% of efficiency with which it utilizes UDP-glucose. [Catalytic activity] UDP-glucose + N-acylsphingosine = UDP + D-glucosyl-N-acylsphingosine. Lipid metabolism; sphingolipid metabolism. [Subcellular location] Endoplasmic reticulum membrane; Multi-pass membrane protein. Belongs to the glycosyltransferase 2 family. |
| 应用 | 推荐稀释比例 |
| {IHC-P} | {1:100-500} |
| {IHC-F} | {1:100-500} |
| {IF} | {1:100-500} |
| {Flow-Cyt} | {1μg/Test} |


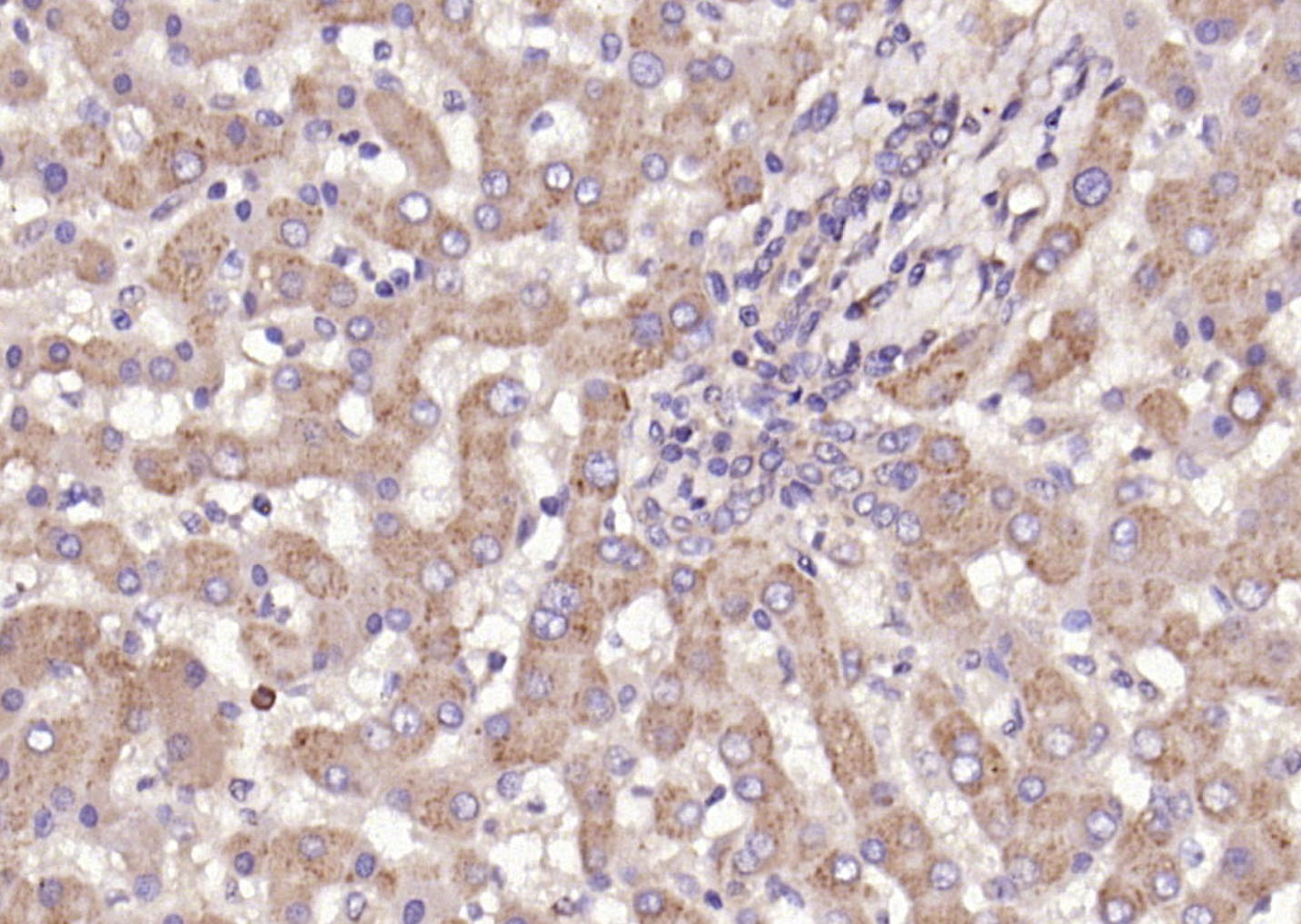
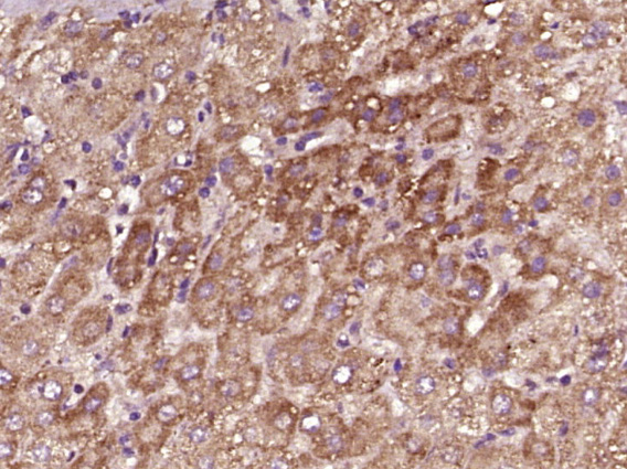
Antigen retrieval: citrate buffer ( 0.01M, pH 6.0 ), Boiling bathing for 15min; Block endogenous peroxidase by 3% Hydrogen peroxide for 30min; Blocking buffer (normal goat serum,C-0005) at 37℃ for 20 min;
Incubation: Anti-GCS/glucosylceramide synthase Polyclonal Antibody, Unconjugated(bs-0701R) 1:200, overnight at 4°C, followed by conjugation to the secondary antibody(SP-0023) and DAB(C-0010) staining

Isotype Control Antibody: Rabbit IgG(orange) ; Secondary Antibody: Goat anti-rabbit IgG-FITC(white blue), Dilution: 1:100 in 1 X PBS containing 0.5% BSA ; Primary Antibody Dilution: 1μl in 100 μL1X PBS containing 0.5% BSA(green).


风险提示:丁香通仅作为第三方平台,为商家信息发布提供平台空间。用户咨询产品时请注意保护个人信息及财产安全,合理判断,谨慎选购商品,商家和用户对交易行为负责。对于医疗器械类产品,请先查证核实企业经营资质和医疗器械产品注册证情况。
文献和实验[IF={{ 4.936 }}] {Wang et al. TBHQ Alleviated Endoplasmic Reticulum Stress-Apoptosis and Oxidative Stress by PERK-Nrf2 Crosstalk in Methamphetamine-Induced Chronic Pulmonary Toxicity. (2017) Oxid.Med.Cell.Longev. 2017:4310475} {WB} {Rat}
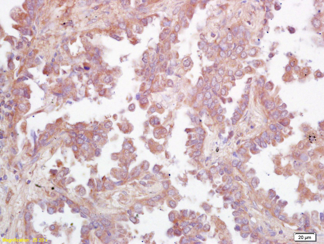
[IF={{ 1.785 }}] {Jiannan Liu. et al. Prognostic value of using glucosylceramide synthase and cytochrome P450 family 1 subfamily A1 expression levels for patients with triple‑negative breast cancer following neoadjuvant chemotherapy. Exp Ther Med. 2021 Mar;21(3):1-1} {IHC} {Human}
[IF={{ 1.49 }}] {Chen, Baoan, et al. "Effect of D, L?\threo?\1?\phenyl?\2?\decanoylamino?\3?\morpholino?\1?\propanol and tetrandrine on the reversion of multidrug resistance in K562/A02 cells."gy 16.1 (2011): 24-30..: 1064-1} {Other} {=""}
技术资料暂无技术资料 索取技术资料








