相关产品推荐更多 >
万千商家帮你免费找货
0 人在求购买到急需产品
- 详细信息
- 文献和实验
- 技术资料
- 应用范围:
产品信息以Bioss网站为准
- 规格:
50ul/100ul/200ul
| 规格: | 50ul | 产品价格: | ¥1180.0 |
|---|---|---|---|
| 规格: | 100ul | 产品价格: | ¥1980.0 |
| 规格: | 200ul | 产品价格: | ¥2800.0 |
| 产品编号 | bs-1313R |
| 英文名称 | VEGFA Rabbit pAb |
| 中文名称 | 血管内皮生长因子抗体 |
| 英文别名 | Vascuoar endothelial growth factor A; VEGF A; vascular endothelial growth factor A isoform 2 precursor; MGC70609; MVCD1; VEGF; VPF; VEGFA_HUMAN; VEGF-A; Vascular permeability factor(VPF); |
| 产品应用 | WB=1:500-2000, IHC-P=1:100-500, IHC-F=1:100-500, IF=1:100-500 Not yet tested in other applications. |
| 交叉反应 | Human, Mouse, Rat, Rabbit, 肾, 肾, 肾, 肾, 肾, 肾, 肾, 肾, 肾 (Chicken, Dog, Pig, Cow) |
| 抗体来源 | Rabbit |
| 免疫原 | KLH conjugated synthetic peptide derived from human VEGF |
| 亚型 | IgG |
| 性状 | Liquid |
| 纯化方法 | affinity purified by Protein A |
| 克隆类型 | Polyclonal |
| 理论分子量 | 23 kDa |
| 浓度 | 1mg/ml |
| 储存液 | 0.01M TBS (pH7.4) with 1% BSA, 0.02% Proclin300 and 50% Glycerol. |
| 研究领域 | Cancer > Cancer Metabolism > Response to hypoxia Cancer > Growth factors > VEGF Cancer > Invasion/microenvironment > Angiogenesis > Angiogenic growth factors Cardiovascular > Angiogenesis > Growth Factors > VEGF > VEGF Developmental Biology > Organogenesis > Angiogenesis and vasculogenesis Metabolism > Pathways and Processes > Cofactors, Vitamins / minerals > Co-factors Metabolism > Pathways and Processes > Metabolism processes > Hypoxia Metabolism > Types of disease > Cancer Microbiology > Organism > Virus > RNA Virus > ssRNA positive strand virus > SARS Coronavirus Signal Transduction > Growth Factors/Hormones > VEGF |
| 亚基 | Homodimer; disulfide-linked. Also found as heterodimer with PGF (By similarity). |
| 亚细胞定位 | Secreted. Note=VEGF121 is acidic and freely secreted. VEGF165 is more basic, has heparin-binding properties and, although a signicant proportion remains cell-associated, most is freely secreted. VEGF189 is very basic, it is cell-associated after secretion and is bound avidly by heparin and the extracellular matrix, although it may be released as a soluble form by heparin, heparinase or plasmin. |
| 组织特异性 | soform VEGF189, isoform VEGF165 and isoform VEGF121 are widely expressed. Isoform VEGF206 and isoform VEGF145 are not widely expressed. |
| 相似性 | Belongs to the PDGF/VEGF growth factor family. |
| 功能 | Growth factor active in angiogenesis, vasculogenesis and endothelial cell growth. Induces endothelial cell proliferation, promotes cell migration, inhibits apoptosis and induces permeabilization of blood vessels. Binds to the FLT1/VEGFR1 and KDR/VEGFR2 receptors, heparan sulfate and heparin. NRP1/Neuropilin-1 binds isoforms VEGF-165 and VEGF-145. Isoform VEGF165B binds to KDR but does not activate downstream signaling pathways, does not activate angiogenesis and inhibits tumor growth. |
| 保存条件 | Shipped at 4℃. Store at -20℃ for one year. Avoid repeated freeze/thaw cycles. |
| 注意事项 | This product as supplied is intended for research use only, not for use in human, therapeutic or diagnostic applications. |
| 背景资料 | Vascular endothelial growth factor (VEGF), originally known as vascular permeability factor (VPF), is a signal protein produced by cells that stimulates the formation of blood vessels. To be specific, VEGF is a sub-family of growth factors, the platelet-derived growth factor family of cystine-knot growth factors. They are important signaling proteins involved in both vasculogenesis (the de novo formation of the embryonic circulatory system) and angiogenesis (the growth of blood vessels from pre-existing vasculature). |
| 应用 | 推荐稀释比例 |
| {WB} | {1:500-2000} |
| {IHC-P} | {1:100-500} |
| {IHC-F} | {1:100-500} |
| {IF} | {1:100-500} |

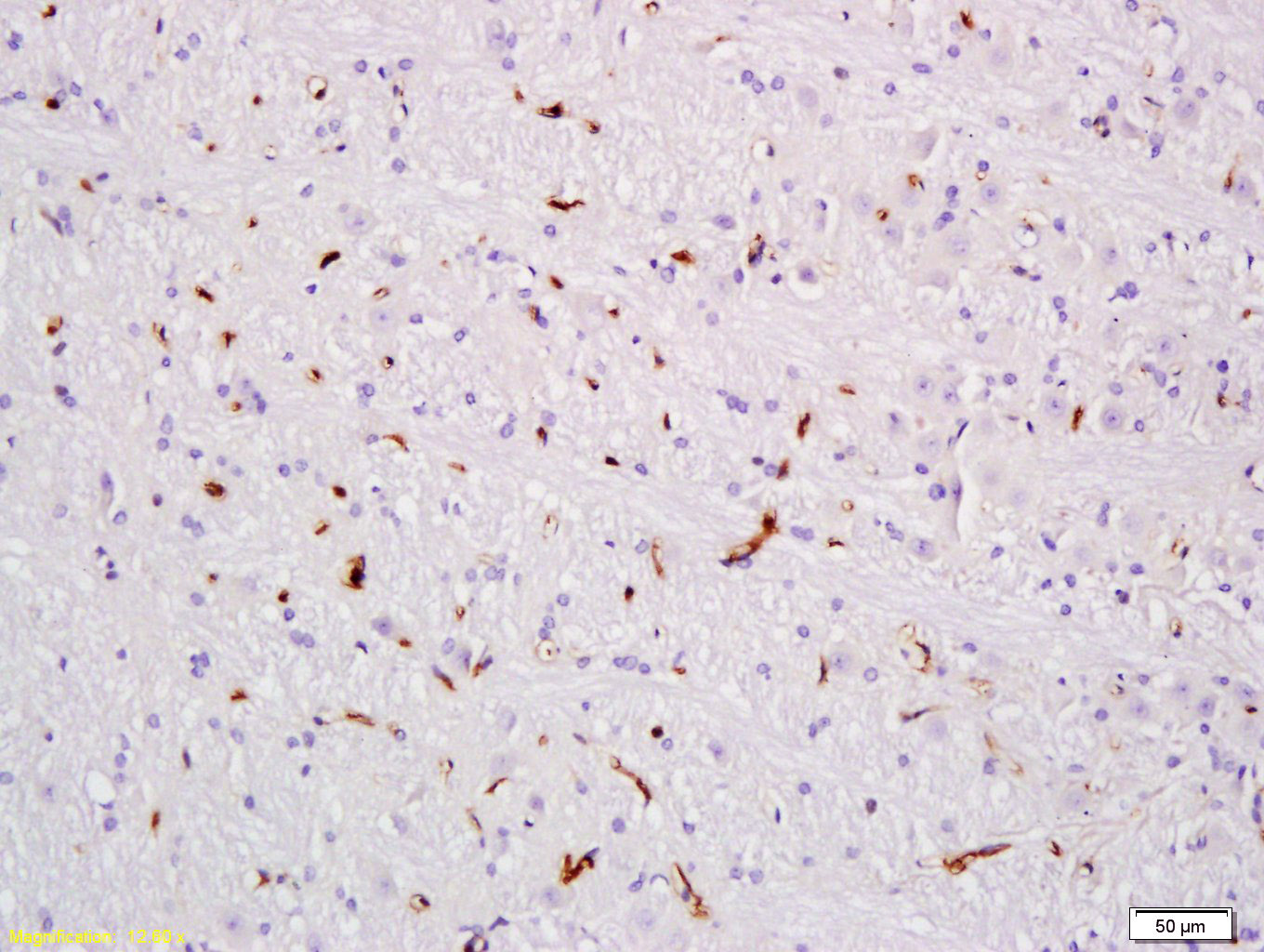
Antigen retrieval: citrate buffer ( 0.01M, pH 6.0 ), Boiling bathing for 15min; Block endogenous peroxidase by 3% Hydrogen peroxide for 30min; Blocking buffer (normal goat serum,C-0005) at 37∩ for 20 min;
Incubation: Anti-VEGF Polyclonal Antibody, Unconjugated(bs-1313R) 1:200, overnight at 4∑C, followed by conjugation to the secondary antibody(SP-0023) and DAB(C-0010) staining

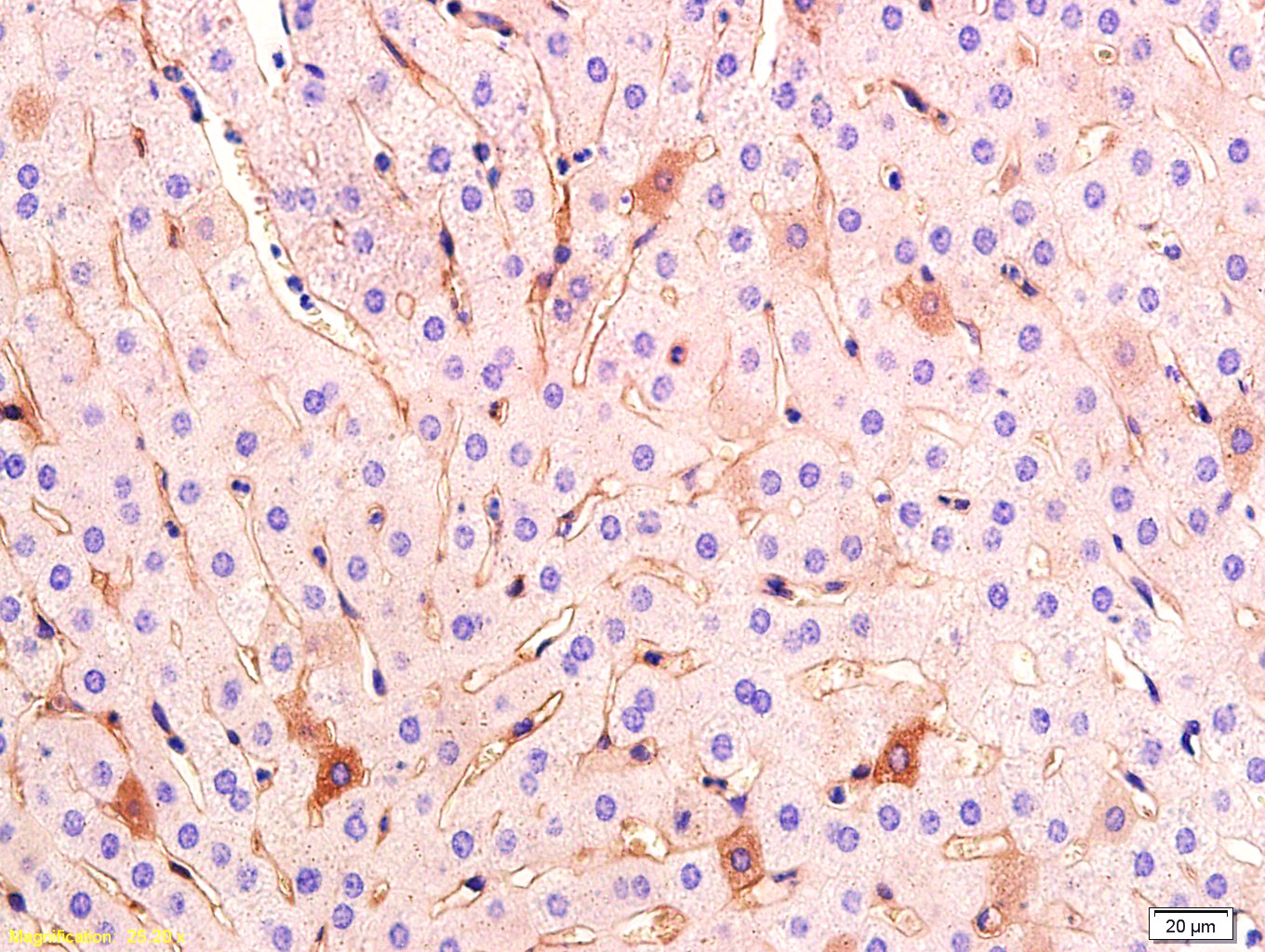
Antigen retrieval: citrate buffer ( 0.01M, pH 6.0 ), Boiling bathing for 15min; Block endogenous peroxidase by 3% Hydrogen peroxide for 30min; Blocking buffer (normal goat serum,C-0005) at 37∩ for 20 min;
Incubation: Anti-VEGF Polyclonal Antibody, Unconjugated(bs-1313R) 1:300, overnight at 4∑C, followed by conjugation to the secondary antibody(SP-0023) and DAB(C-0010) staining

Primary: Anti-VEGF (bs-1313R) at 1/300 dilution
Secondary: IRDye800CW Goat Anti-Rabbit IgG at 1/20000 dilution
Predicted band size: 23 kD
Observed band size: 27 kD

Antigen retrieval: citrate buffer ( 0.01M, pH 6.0 ), Boiling bathing for 15min; Block endogenous peroxidase by 3% Hydrogen peroxide for 30min; Blocking buffer (normal goat serum,C-0005) at 37∩ for 20 min;
Incubation: Anti-VEGF Polyclonal Antibody, Unconjugated(bs-1313R) 1:400, overnight at 4∑C, followed by conjugation to the secondary antibody(SP-0023) and DAB(C-0010) staining

Antigen retrieval: citrate buffer ( 0.01M, pH 6.0 ), Boiling bathing for 15min; Blocking buffer (normal goat serum,C-0005) at 37∩ for 20 min;
Incubation: Anti-VEGF Polyclonal Antibody, Unconjugated(bs-1313R) 1:300, overnight at 4∑C; The secondary antibody was Goat Anti-Rabbit IgG, PE conjugated(bs-0295G-PE)used at 1:200 dilution for 40 minutes at 37∑C. DAPI(5ug/ml,blue,C-0033) was used to stain the cell nuclei


风险提示:丁香通仅作为第三方平台,为商家信息发布提供平台空间。用户咨询产品时请注意保护个人信息及财产安全,合理判断,谨慎选购商品,商家和用户对交易行为负责。对于医疗器械类产品,请先查证核实企业经营资质和医疗器械产品注册证情况。
文献和实验[IF={{ 9.933 }}] {Qiuyue Ding. et al. Bioinspired Multifunctional Black Phosphorus Hydrogel with Antibacterial and Antioxidant Properties: A Stepwise Countermeasure for Diabetic Skin Wound Healing. 2022 Feb 19} {WB} {Human}
[IF={{ 9.078 }}] {Lin Zou. et al. Icariin-releasing 3D printed scaffold for bone regeneration. Compos Part B-Eng. 2022 Mar;232:109625} {IHC} {Rat}
[IF={{ 8.7 }}] {Yizhou Wan. et al.Multifunctional hydrogel loaded with 4-octyl itaconate and exosomes to induce bone regeneration for diabetic infected bone defect via Keap1-Nrf2 pathway.materials today bio.2025 Feb 19:31:101588.} {Western Blot} {}
[IF={{ 8.5 }}] {Liu-Lu Gao. et al. Acteoside suppresses hepatocellular carcinoma progression via modulation of macrophage migration inhibitory factor and mitogen-activated protein kinase proteins. INT J BIOL MACROMOL. 2025 Jun;:145579} {IHC,WB} {Human,Mouse}
[IF={{ 7.8 }}] {Xiaobo Xie. et al. Relieving oxidative stress microenvironment and promoting vascularized bone formation to treat femoral head necrosis using 3D-printed scaffold with ultralong-term multienzyme-like activity. J ORTHOP TRANSL. 2025 Jul;53:206} {IHC} {Rabbit}
= NAL), appears to form upon oxidative cyclization of the nonfluorescent 2:1 lysine-HNE Michael adduct-Schiff base cross-link (Scheme 1). Polyclonal antibody (PAb) to the NAL-HNE fluorophore was raised in rabbit and found to be highly specific
【资源】全面归类网址:毕赤酵母表达各种来源蛋白(细菌,真菌,植物,人类等)
giganteus a-sarcin ribotoxinS, 1 mg/L, synthetic native,PHO1[77]Aspergillus niger β-glucosidaseS, 0.5 g/L, PHO1313Aspergillus niger phytase (phyA)S, 65 U/ml, α-MF[78]Aspergillus niger endo-β-1,4-xylanaseS, 60 mg/L, SUC2, native311Barley glucosidase345Candida
GE Healthcare Benzamidine Sepharose™ 6B is p-aminobenzamidine covalently attached to Sepharose 6B by the epoxy coupling method. p-Aminobenzamidine (PAB), is a synthetic inhibitor of trypsin-like serine protease. Trypsin and trypsin
技术资料暂无技术资料 索取技术资料









