相关产品推荐更多 >

SDS/Serine dehydratase Rabbit pAb(bs-21137R)-50ul/100ul/200ul
¥1180
ATR Rabbit pAb, Biotin conjugated(bs-23805R-Bio)-100ul
¥2980
C Peptide (mouse) Rabbit pAb(bs-23205R)-50ul/100ul/200ul
¥1180
CDKN1A/P21 Rabbit pAb, BF594 conjugated(bs-10129R-BF594)-100ul
¥2980
His tag Recombinant Rabbit mAb, HRP conjugated(bsm-33004R-HRP)-100ul
¥1200
万千商家帮你免费找货
0 人在求购买到急需产品
- 详细信息
- 文献和实验
- 技术资料
- 应用范围:
产品信息以Bioss网站为准
- 规格:
50ul/100ul/200ul
| 规格: | 50ul | 产品价格: | ¥1180.0 |
|---|---|---|---|
| 规格: | 100ul | 产品价格: | ¥1980.0 |
| 规格: | 200ul | 产品价格: | ¥2800.0 |
| 产品编号 | bs-23550R |
| 英文名称 | NCR1 Rabbit pAb |
| 中文名称 | 细胞毒性受体NK-p46抗体 |
| 英文别名 | Natural killer cell p46-related protein; Natural cytotoxicity triggering receptor 1; NK-p46; NKp46; NK cell-activating receptor; Lymphocyte antigen 94 homolog; CD335; CD 335; LY94; NCTR1_HUMAN. |
| 产品应用 | WB=1:500-2000, IHC-P=1:100-500, IHC-F=1:100-500, IF=1:100-500, Flow-Cyt=2ug/Test Not yet tested in other applications. |
| 交叉反应 | Human, Mouse |
| 抗体来源 | Rabbit |
| 免疫原 | KLH conjugated synthetic peptide derived from human NCR1 |
| 亚型 | IgG |
| 性状 | Liquid |
| 纯化方法 | affinity purified by Protein A |
| 克隆类型 | Polyclonal |
| 理论分子量 | 31 kDa |
| 浓度 | 1mg/ml |
| 储存液 | 0.01M TBS (pH7.4) with 1% BSA, 0.02% Proclin300 and 50% Glycerol. |
| 研究领域 | Immunology > Adaptive Immunity > T Cells > Cytotoxic Cells Signal Transduction > Adapters > Transmembrane |
| 亚基 | Interacts with CD247 and FCER1G |
| 亚细胞定位 | Cell membrane. |
| 组织特异性 | Selectively expressed by both resting and activated NK cells. |
| 翻译后修饰 | N-glycosylated. O-glycosylated. |
| 相似性 | Belongs to the natural cytotoxicity receptor (NCR) family. Contains 2 Ig-like (immunoglobulin-like) domains. |
| 功能 | Cytotoxicity-activating receptor that may contribute to the increased efficiency of activated natural killer (NK) cells to mediate tumor cell lysis. |
| 保存条件 | Shipped at 4℃. Store at -20℃ for one year. Avoid repeated freeze/thaw cycles. |
| 注意事项 | This product as supplied is intended for research use only, not for use in human, therapeutic or diagnostic applications. |
| 背景资料 | The natural cytotoxicity receptors (NCRs) are a recently characterized family of Ig-like activation receptors that appear to be major triggering receptors in tumor cell recognition. NCR1 is a glycoprotein that has two extracellular Ig-like domains followed by a ~40 amino acid residue stalk region, a type I transmembrane domain, and a short cytoplasmic tail. NCR1 has been shown to represent a novel NK cell-specific molecule involved in human NK cell activation. NCR1 has been implicated in NK cell-mediated lysis of several autologous tumor cells and pathogen-infected cell lines. |
| 应用 | 推荐稀释比例 |
| {WB} | {1:500-2000} |
| {IHC-P} | {1:100-500} |
| {IHC-F} | {1:100-500} |
| {IF} | {1:100-500} |
| {Flow-Cyt} | {2ug/Test} |


Primary Antibody (green line): Rabbit Anti-NCR1 antibody (bs-23550R)
Dilution: 2μg /10^6 cells;
Isotype Control Antibody (orange line): Rabbit IgG .
Secondary Antibody : Goat anti-rabbit IgG-AF488
Dilution: 1μg /test.
Protocol
The cells were fixed with 4% PFA (10min at room temperature)and then permeabilized with 90% ice-cold methanol for 20 min at -20℃.The cells were then incubated in 5%BSA to block non-specific protein-protein interactions for 30 min at room temperature .Cells stained with Primary Antibody for 30 min at room temperature. The secondary antibody used for 40 min at room temperature. Acquisition of 20,000 events was performed.

A431 (Human) Cell Lysate at 30 ug
Raji (Human) Cell Lysate at 30 ug
Primary: Anti- NCR1 (bs-23550R) at 1/500 dilution
Secondary: IRDye800CW Goat Anti-Rabbit IgG at 1/20000 dilution
Predicted band size: 31 kD
Observed band size: 46 kD

Primary Antibody (green line): Rabbit Anti-NCR1 antibody (bs-23550R)
Dilution: 2μg /10^6 cells;
Isotype Control Antibody (orange line): Rabbit IgG .
Secondary Antibody : Goat anti-rabbit IgG-AF488
Dilution: 1μg /test.
Protocol
The cells were fixed with 4% PFA (10min at room temperature)and then permeabilized with 90% ice-cold methanol for 20 min at-20℃. The cells were then incubated in 5%BSA to block non-specific protein-protein interactions for 30 min at room temperature .Cells stained with Primary Antibody for 30 min at room temperature. The secondary antibody used for 40 min at room temperature. Acquisition of 20,000 events was performed.

Kidney (Mouse) Lysate at 40 ug
Primary: Anti- NCR1 (bs-23550R) at 1/1000 dilution
Secondary: IRDye800CW Goat Anti-Rabbit IgG at 1/20000 dilution
Predicted band size: 31 kD
Observed band size: 46 kD
风险提示:丁香通仅作为第三方平台,为商家信息发布提供平台空间。用户咨询产品时请注意保护个人信息及财产安全,合理判断,谨慎选购商品,商家和用户对交易行为负责。对于医疗器械类产品,请先查证核实企业经营资质和医疗器械产品注册证情况。
文献和实验[IF={{ 7.658 }}] {Xin Fang. et al. IDO1 can impair NK cells function against non-small cell lung cancer by downregulation of NKG2D Ligand via ADAM10. Pharmacol Res. 2022 Mar;177:106132} {IHC} {Mouse}
[IF={{ 5.6 }}] {Na Qu. et al. Methionine enkephalin inhibited cervical cancer migration as well as invasion and activated CD11b+ NCR1+ NKs of tumor microenvironment. INT IMMUNOPHARMACOL. 2023 Nov;124:110967} {IF} {Mouse}
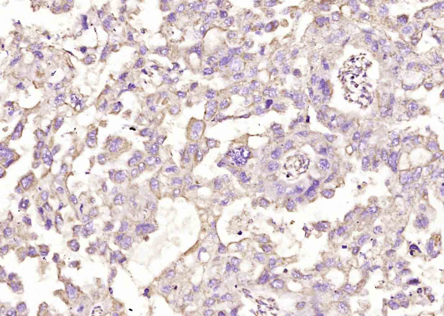
[IF={{ 2.1 }}] {Yating Ge. et al.Development of a Diagnostic Model for Focal Segmental Glomerulosclerosis: Integrating Machine Learning on Activated Pathways and Clinical Validation..Int J Gen Med.2025 Feb 26:18:1127-1142.} {IHC} {Human}
= NAL), appears to form upon oxidative cyclization of the nonfluorescent 2:1 lysine-HNE Michael adduct-Schiff base cross-link (Scheme 1). Polyclonal antibody (PAb) to the NAL-HNE fluorophore was raised in rabbit and found to be highly specific
GE Healthcare Benzamidine Sepharose™ 6B is p-aminobenzamidine covalently attached to Sepharose 6B by the epoxy coupling method. p-Aminobenzamidine (PAB), is a synthetic inhibitor of trypsin-like serine protease. Trypsin and trypsin
Nucleic Acid Programmable Protein Arrays: Versatile Tools for Array‐Based Functional Protein Studies
.g., Sigma) 50 mg/ml bis‐sulfosuccinimdylsuberate (BS3 ;Pierce, cat. no. PI 21580) in dimethylsulfoxide (DMSO) 5 mg/ml
技术资料暂无技术资料 索取技术资料






