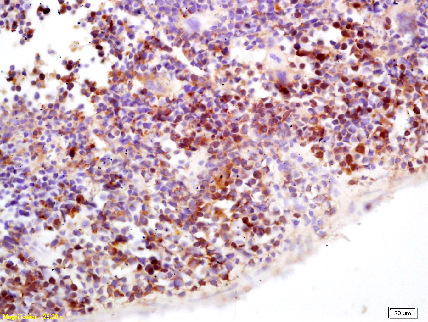
Tissue/cell: rat spleen tissue; 4% Paraformaldehyde-fixed and paraffin-embedded;
Antigen retrieval: citrate buffer ( 0.01M, pH 6.0 ), Boiling bathing for 15min; Block endogenous peroxidase by 3% Hydrogen peroxide for 30min; Blocking buffer (normal goat serum,C-0005) at 37℃ for 20 min;
Incubation: Anti-APOBEC3B Polyclonal Antibody, Unconjugated(bs-12494R) 1:200, overnight at 4°C, followed by conjugation to the secondary antibody(SP-0023) and DAB(C-0010) staining
相关产品推荐更多 >

HDAC1 Recombinant Rabbit mAb, Nuclear Loading Control(bsm-52080R)-50ul/100ul
¥1400
CHD3 Rabbit pAb, Biotin conjugated(bs-8162R-Bio)-100ul
¥2980
GALE Rabbit pAb, AP conjugated(bs-13265R-AP)-100ul
¥2980
KBTBD10 Rabbit pAb, Biotin conjugated(bs-8044R-Bio)-100ul
¥2980
TFR2 Rabbit pAb(bs-9894R)-50ul/100ul/200ul
¥1180
万千商家帮你免费找货
0 人在求购买到急需产品
- 详细信息
- 文献和实验
- 技术资料
- 应用范围:
产品信息以Bioss网站为准
- 规格:
50ul/100ul/200ul
| 规格: | 50ul | 产品价格: | ¥1180.0 |
|---|---|---|---|
| 规格: | 100ul | 产品价格: | ¥1980.0 |
| 规格: | 200ul | 产品价格: | ¥2800.0 |
| 产品编号 | bs-12494R |
| 英文名称 | APOBEC3B Rabbit pAb |
| 中文名称 | 载脂蛋白B-mRNA编辑酶复合物3B抗体 |
| 英文别名 | APOBEC1L; Apolipoprotein B mRNA editing enzyme catalytic polypeptide like 3B; apolipoprotein B mRNA editing enzyme, catalytic; ARCD3; ARP4; bK150C2.2; Cytidine deaminase; DJ742C19.2; FLJ21201; Phorbolin 1 related protein; Phorbolin 2; Phorbolin 2/3; Phorbolin 3; PHRBNL; Probable DNA dC>dU editing enzyme APOBEC3B. |
| 产品应用 | WB=1:500-2000, IHC-P=1:100-500, IHC-F=1:100-500, IF=1:100-500 Not yet tested in other applications. |
| 交叉反应 | Human, Rat, Mouse |
| 抗体来源 | Rabbit |
| 免疫原 | KLH conjugated synthetic peptide derived from human APOBEC3B |
| 亚型 | IgG |
| 性状 | Liquid |
| 纯化方法 | affinity purified by Protein A |
| 克隆类型 | Polyclonal |
| 理论分子量 | 46 kDa |
| 浓度 | 1mg/ml |
| 储存液 | 0.01M TBS (pH7.4) with 1% BSA, 0.02% Proclin300 and 50% Glycerol. |
| 研究领域 | Epigenetics and Nuclear Signaling > Chromatin Binding Proteins > DNA / RNA binding Epigenetics and Nuclear Signaling > Chromatin Modifying Enzymes > Deamination Immunology > Immune System Diseases > Antiviral Signaling |
| 亚基 | Homodimer. Interacts with APOBEC3G. Does not interact with APOBEC1. |
| 亚细胞定位 | Nucleus. |
| 组织特异性 | Expressed at high and moderate levels in peripheral blood leukocytes, spleen, testes, heart, thymus, prostate and ovary. Also expressed at low levels in several other tissues. |
| 相似性 | It is one of seven related genes or pseudogenes found in a cluster, thought to result from gene duplication, on chromosome 22. Belongs to the cytidine and deoxycytidylate deaminase family. Contains 2 CMP/dCMP deaminase zinc-binding domains |
| 功能 | APOBEC3B is a member of the cytidine deaminase gene family. However, it lacks cytidine deaminase activity, at least on RNA molecules (monomeric nucleoside substrates or synthetic apoB, NF1 and NAT1 RNA template). It binds to apoB and AU-rich RNAs. It is unable to reduce HIV-1 infectivity in vitro. |
| 保存条件 | Shipped at 4℃. Store at -20℃ for one year. Avoid repeated freeze/thaw cycles. |
| 注意事项 | This product as supplied is intended for research use only, not for use in human, therapeutic or diagnostic applications. |
| 背景资料 | APOBEC proteins inhibit retroviruses by deaminating cytosine residues of viral RNA and DNA. The seven APOBEC3 genes or pseudogenes are found in a cluster thought to result from gene duplication on chromosome 22. APOBEC3 proteins are thought to be RNA editing enzymes and have roles in cell growth. APOBEC3B, also known as phorbolin-1-related protein or phorbolin-2/3, is a 382 amino acid protein belonging to the cytidine and deoxycytidylate deaminase family. APOBEC3B lacks cytidine deaminase activity on RNA molecules, but has been shown to bind to apoB and AU-rich RNAs. APOBEC3B forms a homodimer and interacts with APOBEC3G. APOBEC3B is expressed at at moderate levels in heart, testis, thymus, prostate, ovary, spleen and peripheral blood leukocytes. |
| 应用 | 推荐稀释比例 |
| {WB} | {1:500-2000} |
| {IHC-P} | {1:100-500} |
| {IHC-F} | {1:100-500} |
| {IF} | {1:100-500} |


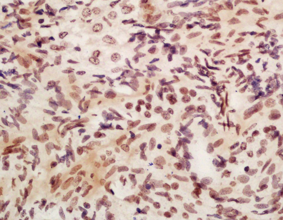
Tissue/cell: Rat ovary tissue; 4% Paraformaldehyde-fixed and paraffin-embedded;
Antigen retrieval: citrate buffer ( 0.01M, pH 6.0 ), Boiling bathing for 15min; Block endogenous peroxidase by 3% Hydrogen peroxide for 30min; Blocking buffer (normal goat serum,C-0005) at 37℃ for 20 min;
Incubation: Anti-APOBEC3B Polyclonal Antibody, Unconjugated(bs-12494R) 1:200, overnight at 4°C, followed by conjugation to the secondary antibody(SP-0023) and DAB(C-0010) staining
Antigen retrieval: citrate buffer ( 0.01M, pH 6.0 ), Boiling bathing for 15min; Block endogenous peroxidase by 3% Hydrogen peroxide for 30min; Blocking buffer (normal goat serum,C-0005) at 37℃ for 20 min;
Incubation: Anti-APOBEC3B Polyclonal Antibody, Unconjugated(bs-12494R) 1:200, overnight at 4°C, followed by conjugation to the secondary antibody(SP-0023) and DAB(C-0010) staining

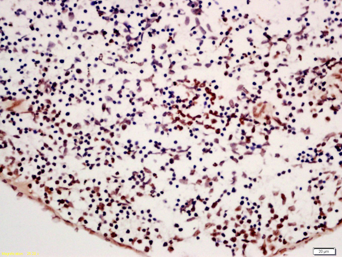
Tissue/cell: Mouse spleen tissue; 4% Paraformaldehyde-fixed and paraffin-embedded;
Antigen retrieval: citrate buffer ( 0.01M, pH 6.0 ), Boiling bathing for 15min; Block endogenous peroxidase by 3% Hydrogen peroxide for 30min; Blocking buffer (normal goat serum,C-0005) at 37℃ for 20 min;
Incubation: Anti-APOBEC3B Polyclonal Antibody, Unconjugated(bs-12494R) 1:200, overnight at 4°C, followed by conjugation to the secondary antibody(SP-0023) and DAB(C-0010) staining
Antigen retrieval: citrate buffer ( 0.01M, pH 6.0 ), Boiling bathing for 15min; Block endogenous peroxidase by 3% Hydrogen peroxide for 30min; Blocking buffer (normal goat serum,C-0005) at 37℃ for 20 min;
Incubation: Anti-APOBEC3B Polyclonal Antibody, Unconjugated(bs-12494R) 1:200, overnight at 4°C, followed by conjugation to the secondary antibody(SP-0023) and DAB(C-0010) staining

Sample:jurkat(human)cell Lysate at 40 ug
Primary: Anti-APOBEC3B (bs-12494R) at 1/300 dilution
Secondary: IRDye800CW Goat Anti-Rabbit IgG at 1/20000 dilution
Predicted band size: 46kD
Observed band size: 46 kD
Primary: Anti-APOBEC3B (bs-12494R) at 1/300 dilution
Secondary: IRDye800CW Goat Anti-Rabbit IgG at 1/20000 dilution
Predicted band size: 46kD
Observed band size: 46 kD
风险提示:丁香通仅作为第三方平台,为商家信息发布提供平台空间。用户咨询产品时请注意保护个人信息及财产安全,合理判断,谨慎选购商品,商家和用户对交易行为负责。对于医疗器械类产品,请先查证核实企业经营资质和医疗器械产品注册证情况。
文献和实验该产品被引用文献
[IF={{ 2.02 }}] {Onguru, Onder, et al. "APOBEC3B expression in drug resistant MCF-7 breast cancer cell lines." Biomedicine & Pharmacotherapy 79 (2016): 87-92.} {WB,IHC} {="Human"}
技术资料暂无技术资料 索取技术资料
文献支持
APOBEC3B Rabbit pAb(bs-12494R)-50ul/100ul/200ul
¥1180 - 2800





