相关产品推荐更多 >
万千商家帮你免费找货
0 人在求购买到急需产品
- 详细信息
- 文献和实验
- 技术资料
- 应用范围:
产品信息以Bioss网站为准
- 规格:
50ul/100ul
| 规格: | 50ul | 产品价格: | ¥1400.0 |
|---|---|---|---|
| 规格: | 100ul | 产品价格: | ¥2500.0 |
| 产品编号 | bsm-52080R |
| 英文名称 | HDAC1 Recombinant Rabbit mAb, Nuclear Loading Control |
| 中文名称 | 组蛋白去乙酰化酶1(核内参)重组兔单抗 |
| 英文别名 | DKFZp686H12203; GON 10; HD 1; HD1; HDAC 1; hdac1: histone deacetylase 1; Histone deacetylase 1(HD1); Histone deacetylase 1; RPD3(reduced potassium dependency yeast homolog) like 1; RPD3(reduced potassium dependency); RPD3; RPD3L1; HDAC1_HUMAN. |
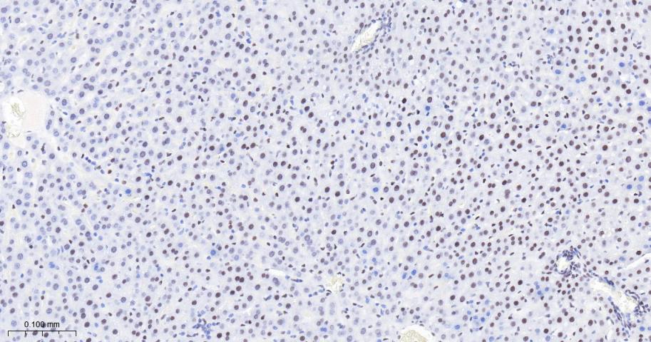
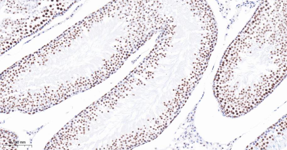
| 产品应用 | WB=1:500-2000, IHC-P=1:100-500, IHC-F=1:100-500, ICC/IF=1:50-200, IF=1:100-500 Not yet tested in other applications. |
| 交叉反应 | Human, Mouse, Rat |
| 抗体来源 | Rabbit |
| 免疫原 | A synthesized peptide derived from human HDAC1 |
| 亚型 | IgG |
| 性状 | Liquid |
| 纯化方法 | affinity purified by Protein A |
| 克隆类型 | Recombinant |
| 理论分子量 | 53 kDa |
| 浓度 | 1mg/ml |
| 储存液 | 0.01M TBS (pH7.4) with 1% BSA, 0.02% Proclin300 and 50% Glycerol. |
| 研究领域 | Cardiovascular > Heart > Hypertrophy Epigenetics and Nuclear Signaling > Chromatin Modifying Enzymes > Acetylation Epigenetics and Nuclear Signaling > Chromatin Modifying Enzymes > Acetylation > HDACs > Class I Isotype/Loading Controls > Loading Controls > HDAC1 Stem Cells > Signaling Pathways > Wnt > HDACs |
| 亚细胞定位 | Nucleus. |
| 组织特异性 | Ubiquitous, with higher levels in heart, pancreas and testis, and lower levels in kidney and brain. |
| 翻译后修饰 | Sumoylated on Lys-444 and Lys-476; which promotes enzymatic activity. Desumoylated by SENP1.
Phosphorylation on Ser-421 and Ser-423 promotes enzymatic activity and interactions with NuRD and SIN3 complexes. Phosphorylated by CDK5. Ubiquitinated by CHFR, leading to its degradation by the proteasome. Ubiquitinated by KCTD11, leading to proteasomal degradation. |
| 相似性 | Belongs to the histone deacetylase family. HD type 1 subfamily. |
| 功能 | Responsible for the deacetylation of lysine residues on the N-terminal part of the core histones (H2A, H2B, H3 and H4). Histone deacetylation gives a tag for epigenetic repression and plays an important role in transcriptional regulation, cell cycle progression and developmental events. Histone deacetylases act via the formation of large multiprotein complexes. Deacetylates SP proteins, SP1 and SP3, and regulates their function. Component of the BRG1-RB1-HDAC1 complex, which negatively regulates the CREST-mediated transcription in resting neurons. Upon calcium stimulation, HDAC1 is released from the complex and CREBBP is recruited, which facilitates transcriptional activation. Deacetylates TSHZ3 and regulates its transcriptional repressor activity. Deacetylates 'Lys-310' in RELA and thereby inhibits the transcriptional activity of NF-kappa-B. Component a RCOR/GFI/KDM1A/HDAC complex that suppresses, via histone deacetylase (HDAC) recruitment, a number of genes implicated in multilineage blood cell development. |
| 保存条件 | Shipped at 4℃. Store at -20℃ for one year. Avoid repeated freeze/thaw cycles. |
| 注意事项 | This product as supplied is intended for research use only, not for use in human, therapeutic or diagnostic applications. |
| 背景资料 | Histone acetylation and deacetylation, catalyzed by multisubunit complexes, play a key role in the regulation of eukaryotic gene expression. The protein encoded by this gene belongs to the histone deacetylase/acuc/apha family and is a component of the histone deacetylase complex. It also interacts with retinoblastoma tumor-suppressor protein and this complex is a key element in the control of cell proliferation and differentiation. Together with metastasis-associated protein-2, it deacetylates p53 and modulates its effect on cell growth and apoptosis. [provided by RefSeq, Jul 2008] |
| 应用 | 推荐稀释比例 |
| {WB} | {1:500-2000} |
| {IHC-P} | {1:100-500} |
| {IHC-F} | {1:100-500} |
| {ICC/IF} | {1:50-200} |
| {IF} | {1:100-500} |








风险提示:丁香通仅作为第三方平台,为商家信息发布提供平台空间。用户咨询产品时请注意保护个人信息及财产安全,合理判断,谨慎选购商品,商家和用户对交易行为负责。对于医疗器械类产品,请先查证核实企业经营资质和医疗器械产品注册证情况。
文献和实验Isolation of Recombinant DNA Elongation Proteins
This chapter summarizes isolation procedures of four recombinant human proteins crucial for DNA replication: (a) the replicative DNA polymerase (pol) δ, (b) proliferating cell nuclear antigen (PCNA), (c) replication protein A (RP-A), and (d
Peptide Pull-Down (PPD) Assay for Identification and Characterization of Histone PTM Effectors
beads. The beads are incubated with a sample of interest, such as nuclear extract or purified recombinant protein, and washed to remove unbound proteins. Bound proteins can then be eluted and analyzed by SDS/PAGE and visualized by protein staining
Dynamic Monitoring of Cellular Remodeling Induced by the Transforming Growth Factor-β1
-actin served as control of equal loading. Densitometric measurements were performed using ImageJ software (NIH, Bethesda, MD, USA) and normalized to the expression of β-actin. The bar graph represents the average optical density
技术资料暂无技术资料 索取技术资料









