相关产品推荐更多 >

phospho-Bcl-xL (Thr47) Rabbit pAb, Cy5 conjugated(bs-12579R-Cy5)-100ul
¥2980
ARF6 Rabbit pAb(bs-1145R)-50ul/100ul/200ul
¥1180
phospho-MEF2A (Ser408) Rabbit pAb(bs-3268R)-50ul/100ul/200ul
¥1180
ID1 Rabbit pAb, Cy5.5 conjugated(bs-6541R-Cy5.5)-100ul
¥2980
Anti-human TNFRSF4 / OX40 / CD134 (BMS-986178 Biosimilar)(BIO0797SM)-1mg/5mg/20mg
¥3200
万千商家帮你免费找货
0 人在求购买到急需产品
- 详细信息
- 文献和实验
- 技术资料
- 应用范围:
产品信息以Bioss网站为准
- 规格:
50ul/100ul
| 规格: | 50ul | 产品价格: | ¥1400.0 |
|---|---|---|---|
| 规格: | 100ul | 产品价格: | ¥2500.0 |
| 产品编号 | bsm-52052R |
| 英文名称 | CK10/Cytokeratin 10 Recombinant Rabbit mAb |
| 中文名称 | 细胞角蛋白10重组兔单抗 |
| 英文别名 | type I cytoskeletal 10; BCIE; BIE; CK 10; CK-10; ck10; Cytokeratin 10; Cytokeratin-10; Cytokeratin10; EHK; k10; K1C10_HUMAN; Keratin 10; Keratin; Keratin type i cytoskeletal 10; Keratin type I cytoskeletal 59 kDa; Keratin-10; Keratin10; kpp; Krt 10; KRT10; krt10; Keratin, type I cytoskeletal 10. |
| 产品应用 | WB=1:1000-10000, IHC-P=1:1000-5000, IHC-F=1:1000-5000, IF=1:1000-5000 Not yet tested in other applications. |
| 交叉反应 | Human, Mouse, Rat |
| 抗体来源 | Rabbit |
| 免疫原 | A synthesized peptide derived from human Cytokeratin 10 |
| 亚型 | IgG |
| 性状 | Liquid |
| 纯化方法 | affinity purified by Protein A |
| 克隆类型 | Recombinant |
| 理论分子量 | 59 kDa |
| 浓度 | 1mg/ml |
| 储存液 | 0.01M TBS (pH7.4) with 1% BSA, 0.02% Proclin300 and 50% Glycerol. |
| 研究领域 | Signal Transduction > Cytoskeleton / ECM > Cytoskeleton > Intermediate Filaments > Class I > Cytokeratins |
| 亚基 | Heterotetramer of two type I and two type II keratins. keratin-10 is generally associated with keratin-1. |
| 亚细胞定位 | Cytoplasm. |
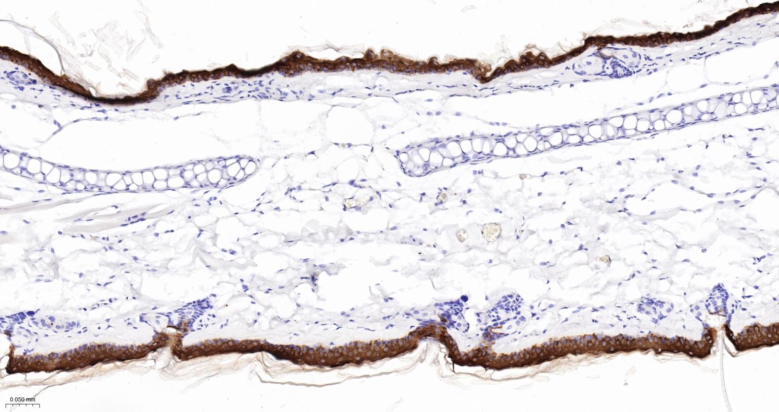
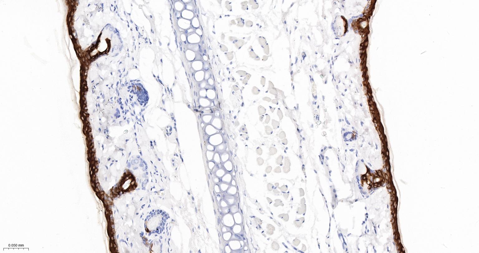
| 组织特异性 | Seen in all suprabasal cell layers including stratum corneum. |
| 相似性 | Belongs to the intermediate filament family. |
| 保存条件 | Shipped at 4℃. Store at -20℃ for one year. Avoid repeated freeze/thaw cycles. |
| 注意事项 | This product as supplied is intended for research use only, not for use in human, therapeutic or diagnostic applications. |
| 背景资料 | Cytokeratin 10 is a heterotetramer of two type I and two type II keratins. Cytokeratin 10 is generally associated with keratin 1. It is seen in all suprabasal cell layers including stratum corneum. A number of alleles are known that mainly differ in the Gly-rich region (positions 490-560). Defects in cytokeratin 10 are a cause of epidermolytic hyperkeratosis (EHK), also known as bullous congenital ichthyosiform erythroderma (BCIE) or bullous erythroderma ichthyosiformis congenita of Brocq. EHK is an hereditary skin disorder characterized by blistering and a marked thickening of the stratum corneum. At birth, affected individuals usually present with redness, blisters and superficial erosions due to cytolysis. Within a few weeks, the erythroderma and blister formation diminish and hyperkeratoses develop. Transmission is autosomal dominant, but most cases are sporadic. Defects in cytokeratin 10 are also a cause of annular epidermolytic ichthyosis (AEI), also known as cyclic ichthyosis with epidermolytic hyperkeratosis. AEI resembles clinical and histologic features of both epidermolytic hyperkeratosis and ichthyosis bullosa of Siemens. |
| 应用 | 推荐稀释比例 |
| {WB} | {1:1000-10000} |
| {IHC-P} | {1:1000-5000} |
| {IHC-F} | {1:1000-5000} |
| {IF} | {1:1000-5000} |








风险提示:丁香通仅作为第三方平台,为商家信息发布提供平台空间。用户咨询产品时请注意保护个人信息及财产安全,合理判断,谨慎选购商品,商家和用户对交易行为负责。对于医疗器械类产品,请先查证核实企业经营资质和医疗器械产品注册证情况。
文献和实验到 PVDF 膜上,同时减少蛋白不必要降解,这对于最终获得清晰、可信结果也是需要考虑因素。抗体信息:1.ACC1, Recombinant Rabbit monoclonal IgG. HuaAn. HuaAn biotechnology , inc.2.ATGL, Mouse mAb IgG1, Cat#:RT1058. HuaAn biotechnology , inc.3.p-PERK(Thr981), Rabbit Polyclonal IgG primary antibodies, Cat
h)即可。2. 修复大法——不仅仅是「煮一煮」微波炉修复:简单易行效果好,CST 推荐使用微波炉完成修复。合适的修复液:根据抗体说明书使用合适的修复液。用柠檬酸修复后,切片需浸泡在修复液中,自然冷却;而用 EDTA 修复后,切片可直接从修复缸中取出,直接进行下一步。注:使用不同的修复方式和不同生产商的抗体检测人肺癌组织中 EGFR 的表达。第一排为 CST 的 EGF Receptor (D38B1) XP® Rabbit mAb(#4267),EDTA 的修复方式明显优于柠檬酸盐及胃蛋白
。所以,我们建议使用微波炉或高压锅加热煮沸以达到最佳抗原修复效果。抗体:Phospho–Stat3 (Tyr705)(D3A7) XP. Rabbit mAb #9145样本:石蜡包埋人类肺部肿瘤样本煮沸设备:浴锅 (左),微波炉 (中),高压锅 (右)免疫染色—封闭在 IHC–P 中,我们建议在室温下在含有 Tween20 的 TBST 缓冲液和 5% 正常山羊血清 (NGS) 中封闭样品,时长 1 小时,以防止非特异性背景染色。在进行 IHC–F 时,在含有 0.3% Triton. X–100 的 1X
技术资料暂无技术资料 索取技术资料






