相关产品推荐更多 >

SDHB Rabbit pAb, FITC conjugated(bs-6650R-FITC)-100ul
¥2980
HRH3 Rabbit pAb, HRP conjugated(bs-3635R-HRP)-100ul
¥2980
phospho-HDAC4 (Ser246) + HDAC5 (Ser259) + HDAC7 (Ser155) Rabbit pAb, HRP conjugated(bs-3073R-HRP)-100ul
¥2980
POLK Rabbit pAb, PerCP-Cy5.5 conjugated(bs-13019R-PerCP-Cy5.5)-100ul
¥2980
LINGO3 Rabbit pAb(bs-18285R)-50ul/100ul/200ul
¥1180
万千商家帮你免费找货
0 人在求购买到急需产品
- 详细信息
- 技术资料
- 应用范围:
产品信息以Bioss网站为准
- 规格:
50ul/100ul
| 规格: | 50ul | 产品价格: | ¥1180.0 |
|---|---|---|---|
| 规格: | 100ul | 产品价格: | ¥1980.0 |
| 产品编号 | bsm-33449M |
| 英文名称 | CD79a Mouse mAb |
| 中文名称 | CD79A单克隆抗体 |
| 英文别名 | B lymphocyte-specific MB1 protein; B-cell antigen receptor complex-associated protein alpha chain; CD 79a; CD79a antigen(immunoglobulin-associated alpha); CD79A antigen; CD79a molecule, immunoglobulin-associated alpha; CD79A_HUMAN; Ig alpha; Ig-alpha; IGA; IgM-alpha; Immunoglobulin-associated alpha; Ly54; MB-1 membrane glycoprotein; MB1; Membrane-bound immunoglobulin-associated protein; Surface IgM-associated protein. |
| 产品应用 | IHC-P=1:100-500, IHC-F=1:100-500, IF=1:100-500, ELISA=1:1000-5000 Not yet tested in other applications. |
| 交叉反应 | Human, Rat |
| 抗体来源 | Mouse |
| 免疫原 | KLH conjugated synthetic peptide derived from human CD79a |
| 亚型 | IgG1 |
| 性状 | Liquid |
| 纯化方法 | affinity purified by Protein G |
| 克隆类型 | Monoclonal |
| 理论分子量 | 22 kDa |
| 浓度 | 1mg/ml |
| 储存液 | 0.01M TBS (pH7.4) with 1% BSA, 0.02% Proclin300 and 50% Glycerol. |
| 研究领域 | Cancer > Tumor immunology > CD markers Immunology > Adaptive Immunity > B Cells > CD Immunology > Immunoglobulins > Receptors Stem Cells > Hematopoietic Progenitors > Lymphoid > B Lymphocytic Lineage |
| 亚基 | Heterodimer of alpha and beta chains; disulfide-linked. Part of the B-cell antigen receptor complex where the alpha/beta chain heterodimer is non-covalently associated with an antigen-specific membrane-bound surface immunoglobulin of two heavy chains and two light chains. Interacts through its phosphorylated ITAM domain with the SH2 domains of SYK which stimulates SYK autophosphorylation and activation. Also interacts, when phosphorylated on Tyr-210, with the SH2 domain of BLNK/SLP65, bringing BLNK into proximity with SYK and allowing SYK to phosphorylate BLNK which is necessary for trafficking of the BCR to late endosomes. Interacts with Src-family tyrosine kinases including FYN and LYN, increasing their activity. |
| 亚细胞定位 | Cell membrane; Single-pass type I membrane protein. Note=Following antigen binding, the BCR has been shown to translocate from detergent-soluble regions of the cell membrane to lipid rafts although signal transduction through the complex can also occur outside lipid rafts. |
| 组织特异性 | B-cells. |
| 翻译后修饰 | Phosphorylated on tyrosine, serine and threonine residues upon B-cell activation. Phosphorylation of tyrosine residues by Src-family kinases is an early and essential feature of the BCR signaling cascade. The phosphorylated tyrosines serve as docking sites for SH2-domain containing kinases, leading to their activation which in turn leads to phosphorylation of downstream targets. Phosphorylated by LYN. Phosphorylation of serine and threonine residues may prevent subsequent tyrosine phosphorylation.
Arginine methylation in the ITAM domain may interfere with the binding of SYK. It promotes signals leading to B cell differentiation. |
| 相似性 | Contains 1 Ig-like C2-type (immunoglobulin-like) domain.
Contains 1 ITAM domain. |
| 功能 | Required in cooperation with CD79B for initiation of the signal transduction cascade activated by binding of antigen to the B-cell antigen receptor complex (BCR) which leads to internalization of the complex, trafficking to late endosomes and antigen presentation. Also required for BCR surface expression and for efficient differentiation of pro- and pre-B-cells. Stimulates SYK autophosphorylation and activation. Binds to BLNK, bringing BLNK into proximity with SYK and allowing SYK to phosphorylate BLNK. Also interacts with and increases activity of some Src-family tyrosine kinases. Represses BCR signaling during development of immature B-cells. |
| 保存条件 | Shipped at 4℃. Store at -20℃ for one year. Avoid repeated freeze/thaw cycles. |
| 注意事项 | This product as supplied is intended for research use only, not for use in human, therapeutic or diagnostic applications. |
| 背景资料 | The B lymphocyte antigen receptor is a multimeric complex that includes the antigen-specific component, surface immunoglobulin (Ig). Surface Ig non-covalently associates with two other proteins, Ig-alpha and Ig-beta, which are necessary for expression and function of the B-cell antigen receptor. This gene encodes the Ig-alpha protein of the B-cell antigen component. Alternatively spliced transcript variants encoding different isoforms have been described. [provided by RefSeq, Jul 2008] |
| 应用 | 推荐稀释比例 |
| {IHC-P} | {1:100-500} |
| {IHC-F} | {1:100-500} |
| {IF} | {1:100-500} |
| {ELISA} | {1:1000-5000} |

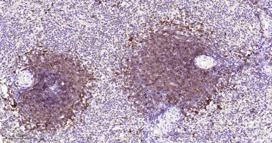
Paraformaldehyde-fixed, paraffin embedded Rat Spleen; Antigen retrieval by boiling in sodium citrate buffer (pH6.0) for 15 min; Antibody incubation with CD79a Monoclonal Antibody, Unconjugated(bsm-33449M) at 1:200 overnight at 4°C, followed by conjugation to the bs-40296G-HRP and DAB (C-0010) staining.

Paraformaldehyde-fixed, paraffin embedded Human Spleen; Antigen retrieval by boiling in sodium citrate buffer (pH6.0) for 15 min; Antibody incubation with CD79a Monoclonal Antibody, Unconjugated(bsm-33449M) at 1:200 overnight at 4°C, followed by conjugation to the bs-40296G-HRP and DAB (C-0010) staining.

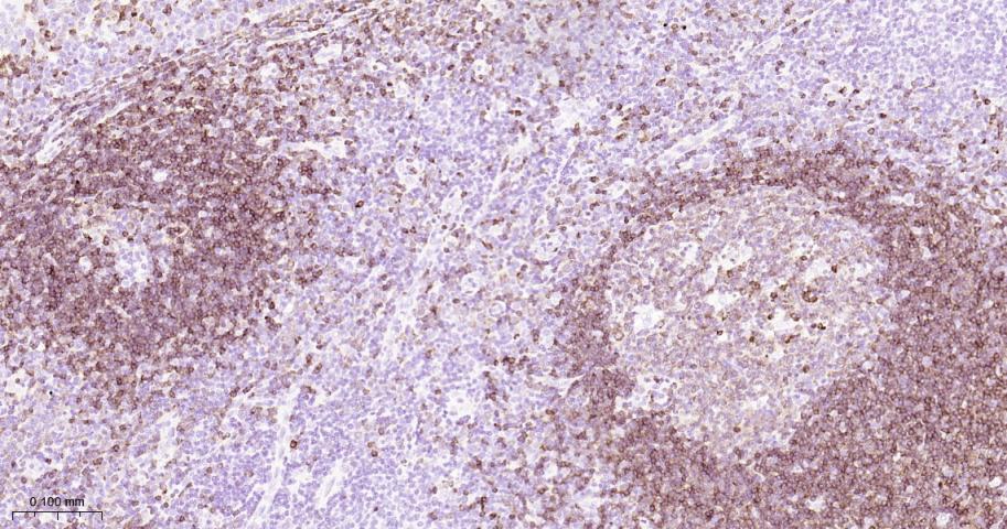
Paraformaldehyde-fixed, paraffin embedded Human Tonsil; Antigen retrieval by boiling in sodium citrate buffer (pH6.0) for 15 min; Antibody incubation with CD79a Monoclonal Antibody, Unconjugated(bsm-33449M) at 1:200 overnight at 4°C, followed by conjugation to the bs-40296G-HRP and DAB (C-0010) staining.

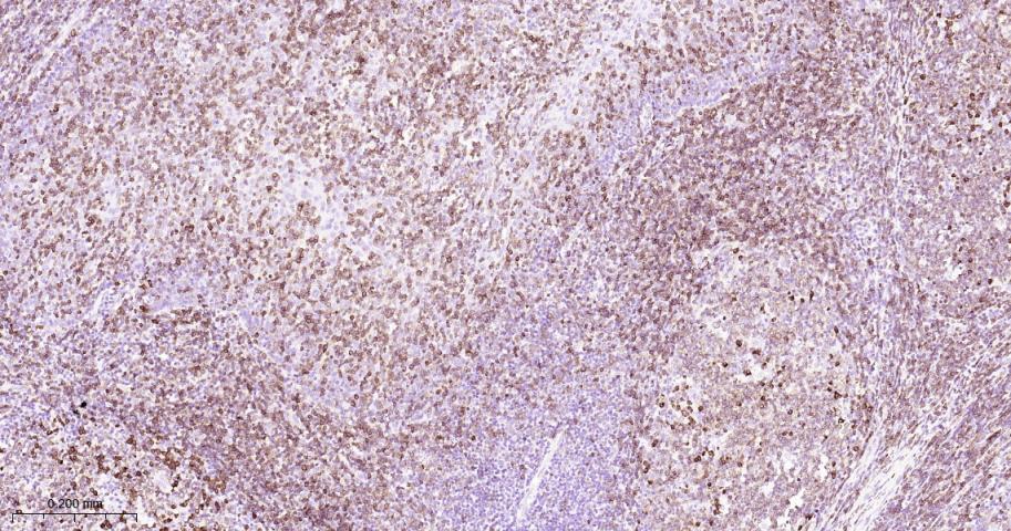
Paraformaldehyde-fixed, paraffin embedded Human Chronic tonsillitis; Antigen retrieval by boiling in sodium citrate buffer (pH6.0) for 15 min; Antibody incubation with CD79a Monoclonal Antibody, Unconjugated(bsm-33449M) at 1:200 overnight at 4°C, followed by conjugation to the bs-40296G-HRP and DAB (C-0010) staining.

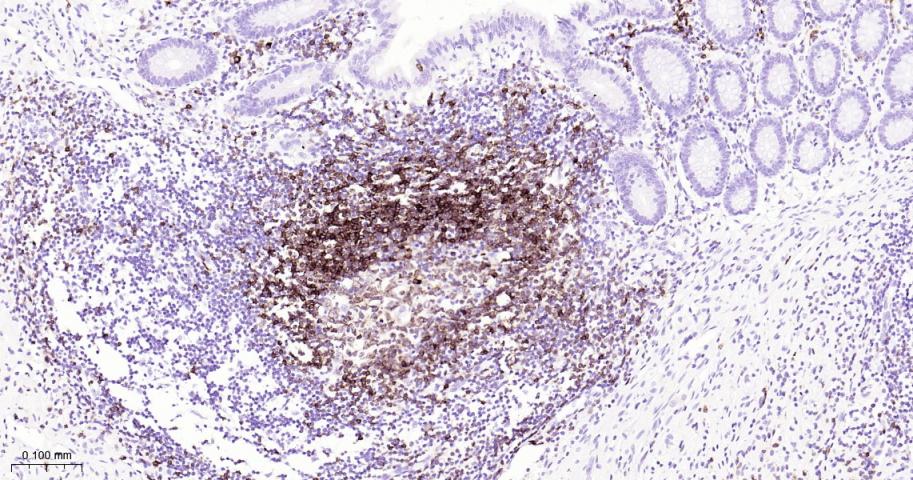
Paraformaldehyde-fixed, paraffin embedded Human Appendix; Antigen retrieval by boiling in sodium citrate buffer (pH6.0) for 15 min; Antibody incubation with CD79a Monoclonal Antibody, Unconjugated(bsm-33449M) at 1:200 overnight at 4°C, followed by conjugation to the bs-40296G-HRP and DAB (C-0010) staining.

(Negative control)Paraformaldehyde-fixed, paraffin embedded Human Cerebrum; Antigen retrieval by boiling in sodium citrate buffer (pH6.0) for 15 min; Antibody incubation with CD79a Monoclonal Antibody, Unconjugated(bsm-33449M) at 1:200 overnight at 4°C, followed by conjugation to the bs-40296G-HRP and DAB (C-0010) staining.
风险提示:丁香通仅作为第三方平台,为商家信息发布提供平台空间。用户咨询产品时请注意保护个人信息及财产安全,合理判断,谨慎选购商品,商家和用户对交易行为负责。对于医疗器械类产品,请先查证核实企业经营资质和医疗器械产品注册证情况。
技术资料暂无技术资料 索取技术资料
CD79a Mouse mAb(bsm-33449M)-50ul/100ul
¥1180 - 1980





