相关产品推荐更多 >

POLDIP2 Rabbit pAb, AP conjugated(bs-12756R-AP)-100ul
¥2980
CD69 Rabbit pAb, PerCP-Cy5.5 conjugated(bs-2499R-PerCP-Cy5.5)-100ul
¥2980
KIF13B Rabbit pAb, Cy3 conjugated(bs-12387R-Cy3)-100ul
¥2980
phospho-NLK (Thr298) Rabbit pAb, AP conjugated(bs-10421R-AP)-100ul
¥2980
HP1 gamma Mouse mAb, HRP conjugated(bsm-33374M-HRP)-100ul
¥2980
万千商家帮你免费找货
0 人在求购买到急需产品
- 详细信息
- 文献和实验
- 技术资料
- 应用范围:
产品信息以Bioss网站为准
- 规格:
50ul/100ul/200ul
| 规格: | 50ul | 产品价格: | ¥1180.0 |
|---|---|---|---|
| 规格: | 100ul | 产品价格: | ¥1980.0 |
| 规格: | 200ul | 产品价格: | ¥2800.0 |
| 产品编号 | bs-0900R |
| 英文名称 | RPSA Rabbit pAb |
| 中文名称 | 层粘连蛋白受体1抗体 |
| 英文别名 | 67kDa Laminin Receptor; 37LRP; P37-kDa laminin receptor precursor; MGr1-Ag; laminin receptor 1; 67kD, ribosomal protein SA; 34/67 kDa laminin receptor; 40S ribosomal protein SA; 67LR; Colon carcinoma laminin-binding protein; LAMBR; Laminin Receptor 1; LAMR 1; LAMR1; LRP; Multidrug resistance-associated protein MGr1-Ag; NEM/1CHD4; p40; Ribosomal Protein SA; 67kD laminin receptor; Laminin Receptor 1; Laminin R1; LNR1; RSSA_HUMAN. |
| 产品应用 | WB=1:500-2000, IHC-P=1:100-500, IHC-F=1:100-500, IF=1:100-500, Flow-Cyt=1ug/test Not yet tested in other applications. |
| 交叉反应 | Human, Mouse, Rat (Dog) |
| 抗体来源 | Rabbit |
| 免疫原 | KLH conjugated synthetic peptide derived from human RPSA |
| 亚型 | IgG |
| 性状 | Liquid |
| 纯化方法 | affinity purified by Protein A |
| 克隆类型 | Polyclonal |
| 理论分子量 | 32.7 kDa |
| 浓度 | 1mg/ml |
| 储存液 | 0.01M TBS (pH7.4) with 1% BSA, 0.02% Proclin300 and 50% Glycerol. |
| 研究领域 | Cardiovascular > Angiogenesis > Adhesion / ECM > Extracellular Matrix Neuroscience > Cell Adhesion Proteins > Cytoskeletal Proteins > Intermediate Filaments Neuroscience > Cell Adhesion Proteins > ECM Proteins Neuroscience > Neurology process > Neurodegenerative disease > Prions Signal Transduction > Cytoskeleton / ECM > Basal Lamina |
| 亚基 | Monomer (37LRP) and homodimer (67LR). Component of the small ribosomal subunit. Mature ribosomes consist of a small (40S) and a large (60S) subunit. The 40S subunit contains about 33 different proteins and 1 molecule of RNA (18S). The 60S subunit contains about 49 different proteins and 3 molecules of RNA (28S, 5.8S and 5S). Interacts with RPS21. Interacts with several laminins including at least LAMB1. Interacts with MDK. Interacts with PRNP. The mature dimeric form interacts with PPP1R16B (via its fourth ankyrin repeat). Interacts with PPP1CA only in the presence of PPP1R16B. |
| 亚细胞定位 | Cell membrane. Cytoplasm. Nucleus. Note=67LR is found at the surface of the plasma membrane, with its C-terminal laminin-binding domain accessible to extracellular ligands. 37LRP is found at the cell surface, in the cytoplasm and in the nucleus. Co-localizes with PPP1R16B in the cell membrane. |
| 翻译后修饰 | Acylated. Acylation may be a prerequisite for conversion of the monomeric 37 kDa laminin receptor precursor (37LRP) to the mature dimeric 67 kDa laminin receptor (67LR), and may provide a mechanism for membrane association.
Cleaved by stromelysin-3 (ST3) at the cell surface. Cleavage by stromelysin-3 may be a mechanism to alter cell-extracellular matrix interactions. |
| 相似性 | Belongs to the ribosomal protein S2P family. |
| 功能 | Required for the assembly and/or stability of the 40S ribosomal subunit. Required for the processing of the 20S rRNA-precursor to mature 18S rRNA in a late step of the maturation of 40S ribosomal subunits. Also functions as a cell surface receptor for laminin. Plays a role in cell adhesion to the basement membrane and in the consequent activation of signaling transduction pathways. May play a role in cell fate determination and tissue morphogenesis. Acts as a PPP1R16B-dependent substrate of PPP1CA. Also acts as a receptor for several other ligands, including the pathogenic prion protein, viruses, and bacteria. |
| 保存条件 | Shipped at 4℃. Store at -20℃ for one year. Avoid repeated freeze/thaw cycles. |
| 注意事项 | This product as supplied is intended for research use only, not for use in human, therapeutic or diagnostic applications. |
| 背景资料 | Laminins, a family of extracellular matrix glycoproteins, are the major noncollagenous constituent of basement membranes. They have been implicated in a wide variety of biological processes including cell adhesion, differentiation, migration, signaling, neurite outgrowth and metastasis. Many of the effects of laminin are mediated through interactions with cell surface receptors. These receptors include members of the integrin family, as well as non-integrin laminin-binding proteins. This gene encodes a high-affinity, non-integrin family, laminin receptor 1. This receptor has been variously called 67 kD laminin receptor, 37 kD laminin receptor precursor (37LRP) and p40 ribosome-associated protein. The amino acid sequence of laminin receptor 1 is highly conserved through evolution, suggesting a key biological function. It has been observed that the level of the laminin receptor transcript is higher in colon carcinoma tissue and lung cancer cell line than their normal counterparts. Also, there is a correlation between the upregulation of this polypeptide in cancer cells and their invasive and metastatic phenotype. Multiple copies of this gene exist, however, most of them are pseudogenes thought to have arisen from retropositional events. Two alternatively spliced transcript variants encoding the same protein have been found for this gene. [provided by RefSeq, Jul 2008] |
| 应用 | 推荐稀释比例 |
| {WB} | {1:500-2000} |
| {IHC-P} | {1:100-500} |
| {IHC-F} | {1:100-500} |
| {IF} | {1:100-500} |
| {Flow-Cyt} | {1ug/test} |

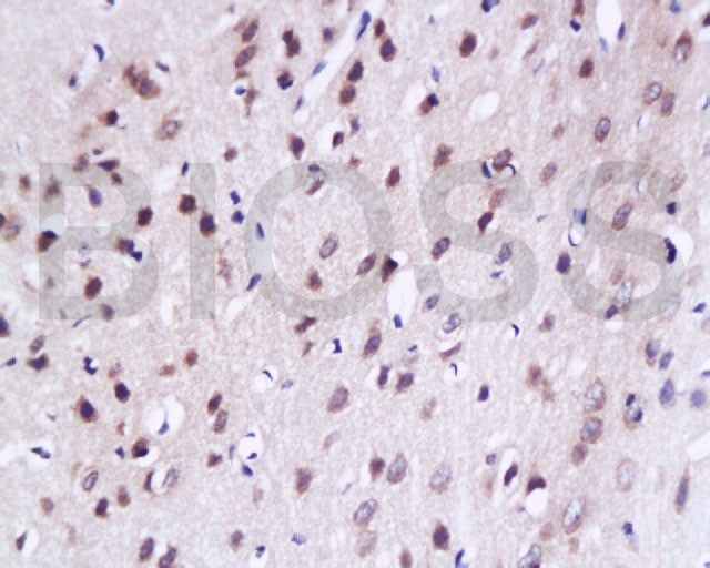
Antigen retrieval: citrate buffer ( 0.01M, pH 6.0 ), Boiling bathing for 15min; Block endogenous peroxidase by 3% Hydrogen peroxide for 30min; Blocking buffer (normal goat serum,C-0005) at 37℃ for 20 min;
Incubation: Anti-LAMR1 Polyclonal Antibody, Unconjugated(bs-0900R) 1:200, overnight at 4°C, followed by conjugation to the secondary antibody(SP-0023) and DAB(C-0010) staining

Primary: Anti-LAMR1 (bs-0900R) at 1:300 dilution;
Secondary: HRP conjugated Goat Anti-Rabbit IgG(bs-0295G-HRP) at 1: 5000 dilution;
Predicted band size : 32.7kD
Observed band size : 32.7kD

Primary Antibody (green line): Rabbit Anti-RPSA antibody (bs-0900R)
Dilution: 1ug/Test;
Secondary Antibody : Goat anti-rabbit IgG-FITC
Dilution: 0.5ug/Test.
Protocol
The cells were fixed with 4% PFA (10min at room temperature)and then permeabilized with 90% ice-cold methanol for 20 min at -20℃.The cells were then incubated in 5%BSA to block non-specific protein-protein interactions for 30 min at room temperature .Cells stained with Primary Antibody for 30 min at room temperature. The secondary antibody used for 40 min at room temperature. Acquisition of 20,000 events was performed.

风险提示:丁香通仅作为第三方平台,为商家信息发布提供平台空间。用户咨询产品时请注意保护个人信息及财产安全,合理判断,谨慎选购商品,商家和用户对交易行为负责。对于医疗器械类产品,请先查证核实企业经营资质和医疗器械产品注册证情况。
文献和实验[IF={{ 0 }}] {Umbaugh et al. A dock derived compound against laminin receptor (37 LR) exhibits anti-cancer properties in a prostate cancer cell line model. (2018) Oncotarget. 9:5958-5978} {WB} {Human}
= NAL), appears to form upon oxidative cyclization of the nonfluorescent 2:1 lysine-HNE Michael adduct-Schiff base cross-link (Scheme 1). Polyclonal antibody (PAb) to the NAL-HNE fluorophore was raised in rabbit and found to be highly specific
GE Healthcare Benzamidine Sepharose™ 6B is p-aminobenzamidine covalently attached to Sepharose 6B by the epoxy coupling method. p-Aminobenzamidine (PAB), is a synthetic inhibitor of trypsin-like serine protease. Trypsin and trypsin
Nucleic Acid Programmable Protein Arrays: Versatile Tools for Array‐Based Functional Protein Studies
.g., Sigma) 50 mg/ml bis‐sulfosuccinimdylsuberate (BS3 ;Pierce, cat. no. PI 21580) in dimethylsulfoxide (DMSO) 5 mg/ml
技术资料暂无技术资料 索取技术资料






