相关产品推荐更多 >
万千商家帮你免费找货
0 人在求购买到急需产品
- 详细信息
- 技术资料
- 规格:
50T
| 产品编号 | IHC0106R |
| 英文名称 | Rat Calbindin Ready-To-Use IHC Kit |
| 中文名称 | 大鼠钙结合蛋白D28K即用型免疫组化试剂盒 |
| 英文别名 | CAB27; CALB 1; CALB; CALB1; Calbindin 1 28kDa; Calbindin-D-28K; Calbindin D28; D 28K; D28K; Vitamin D dependent calcium binding protein; Vitamin D dependent calcium binding protein avian type; Vitamin D dependent calcium binding protein avian-type; Vitamin D-dependent calcium-binding protein; CALB1_HUMAN. |
| 产品应用 | IHC-P Not yet tested in other applications. |
| 交叉反应 | Rat |
| 研究领域 | Neuroscience > Cell Type Marker > Neuron marker > Soma marker Neuroscience > Neurotransmission > Calcium Signaling > Calcium Binding Proteins |
| 亚基 | Interacts with RANBP9. |
| 相似性 | Belongs to the calbindin family. Contains 5 EF-hand domains. |
| 功能 | Buffers cytosolic calcium. May stimulate a membrane Ca(2+)-ATPase and a 3',5'-cyclic nucleotide phosphodiesterase. |
| 保存条件 | Please store components at the temperatures indicated on the individual tube labels. The kit is stable for 6 months from the date of receipt. |
| 注意事项 | This product as supplied is intended for research use only, not for use in human, therapeutic or diagnostic applications. |
| 背景资料 | Calbindin is a calcium-binding protein belonging to the troponin C superfamily. It was originally described as a 27-kD protein induced by vitamin D in the duodenum of the chick. In the brain, its synthesis is independent of vitamin-D-derived hormones. Calbindin contains 4 active calcium-binding domains, and 2 modified domains that presumably have lost their calcium-binding capacity. The neurons in brains of patients with Huntington disease are calbindin-depleted. [provided by RefSeq, Jul 2008] |
| 应用 | 推荐稀释比例 |

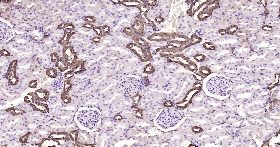
Immunohistochemical analysis of paraffin embedded rat kidney tissue slide using IHC0106R (Rat Calbindin IHC Kit).
风险提示:丁香通仅作为第三方平台,为商家信息发布提供平台空间。用户咨询产品时请注意保护个人信息及财产安全,合理判断,谨慎选购商品,商家和用户对交易行为负责。对于医疗器械类产品,请先查证核实企业经营资质和医疗器械产品注册证情况。
技术资料暂无技术资料 索取技术资料
Rat Calbindin Ready-To-Use IHC Kit(IHC0106R)-50T
¥3200






