相关产品推荐更多 >
万千商家帮你免费找货
0 人在求购买到急需产品
- 详细信息
- 技术资料
- 应用范围:
产品信息以Bioss网站为准
- 规格:
50ul/100ul
| 规格: | 50ul | 产品价格: | ¥1180.0 |
|---|---|---|---|
| 规格: | 100ul | 产品价格: | ¥1980.0 |
| 产品编号 | bsm-34125M |
| 英文名称 | N-cadherin Mouse mAb |
| 中文名称 | N-钙粘附分子单克隆抗体 |
| 英文别名 | Cadherin 2; Cadherin 2 N cadherin neuronal; Cadherin 2 type 1; Cadherin 2 type 1 N cadherin neuronal; cadherin 2 type 1 N-cadherin neuronal; Cadherin2; Calcium dependent adhesion protein neuronal; CD325; CD325 antigen; CDH2; CDHN; CDw325; CDw325 antigen; N cadherin 1; NCAD; Neural Cadherin; Neural Cadherin. |
| 产品应用 | WB=1:500-2000, IHC-P=1:200-1000, IHC-F=1:200-1000, IF=1:200-1000 Not yet tested in other applications. |
| 交叉反应 | Human, Mouse, Rat |
| 抗体来源 | Mouse |
| 免疫原 | Recombinant human N-cadherin protein |
| 亚型 | IgG |
| 性状 | Liquid |
| 纯化方法 | affinity purified by Protein A |
| 克隆类型 | Monoclonal |
| 理论分子量 | 100 kDa |
| 浓度 | 1mg/ml |
| 储存液 | 0.02% Proclin300,0.5% BSA, 50% Glycerol. |
| 研究领域 | Cancer > Invasion/microenvironment > ECM > Cell adhesion > Cadherins Signal Transduction > Cytoskeleton / ECM > Cell Adhesion > Cadherins Stem Cells > Hematopoietic Progenitors > Surface Molecules |
| 亚细胞定位 | Cell membrane. |
| 相似性 | Contains 5 cadherin domains. |
| 功能 | Cadherins are calcium dependent cell adhesion proteins. They preferentially interact with themselves in a homophilic manner in connecting cells; cadherins may thus contribute to the sorting of heterogeneous cell types. CDH2 may be involved in neuronal recognition mechanism. In hippocampal neurons, may regulate dendritic spine density. |
| 保存条件 | Shipped at 4℃. Store at -20℃ for one year. Avoid repeated freeze/thaw cycles. |
| 注意事项 | This product as supplied is intended for research use only, not for use in human, therapeutic or diagnostic applications. |
| 背景资料 | This gene is a classical cadherin from the cadherin superfamily. The encoded protein is a calcium dependent cell-cell adhesion glycoprotein comprised of five extracellular cadherin repeats, a transmembrane region and a highly conserved cytoplasmic tail. The protein functions during gastrulation and is required for establishment of left-right asymmetry. At certain central nervous system synapses, presynaptic to postsynaptic adhesion is mediated at least in part by this gene product. |
| 应用 | 推荐稀释比例 |
| {WB} | {1:500-2000} |
| {IHC-P} | {1:200-1000} |
| {IHC-F} | {1:200-1000} |
| {IF} | {1:200-1000} |

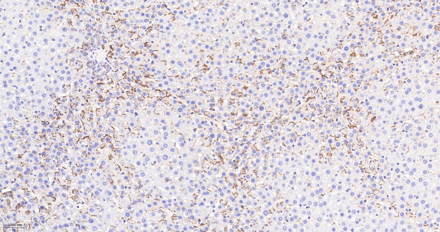
Paraformaldehyde-fixed, paraffin embedded Rat Liver; Antigen retrieval by boiling in sodium citrate buffer (pH6.0) for 15 min; The section was incubated with N-cadherin Monoclonal Antibody, Unconjugated (bsm-34125M) at 1:800 overnight at 4°C, followed by conjugation to the bs-40296G-HRP and DAB (C-0010) staining.

Paraformaldehyde-fixed, paraffin embedded Human Liver; Antigen retrieval by boiling in sodium citrate buffer (pH6.0) for 15 min; The section was incubated with N-cadherin Monoclonal Antibody, Unconjugated (bsm-34125M) at 1:800 overnight at 4°C, followed by conjugation to the bs-40296G-HRP and DAB (C-0010) staining.

Paraformaldehyde-fixed, paraffin embedded Rat Heart; Antigen retrieval by boiling in sodium citrate buffer (pH6.0) for 15 min; The section was incubated with N-cadherin Monoclonal Antibody, Unconjugated (bsm-34125M) at 1:800 overnight at 4°C, followed by conjugation to the bs-40296G-HRP and DAB (C-0010) staining.

Paraformaldehyde-fixed, paraffin embedded Human Heart; Antigen retrieval by boiling in sodium citrate buffer (pH6.0) for 15 min; The section was incubated with N-cadherin Monoclonal Antibody, Unconjugated (bsm-34125M) at 1:800 overnight at 4°C, followed by conjugation to the bs-40296G-HRP and DAB (C-0010) staining.

Paraformaldehyde-fixed, paraffin embedded Human Colon; Antigen retrieval by boiling in sodium citrate buffer (pH6.0) for 15 min; The section was incubated with N-cadherin Monoclonal Antibody, Unconjugated (bsm-34125M) at 1:800 overnight at 4°C, followed by conjugation to the bs-40296G-HRP and DAB (C-0010) staining.

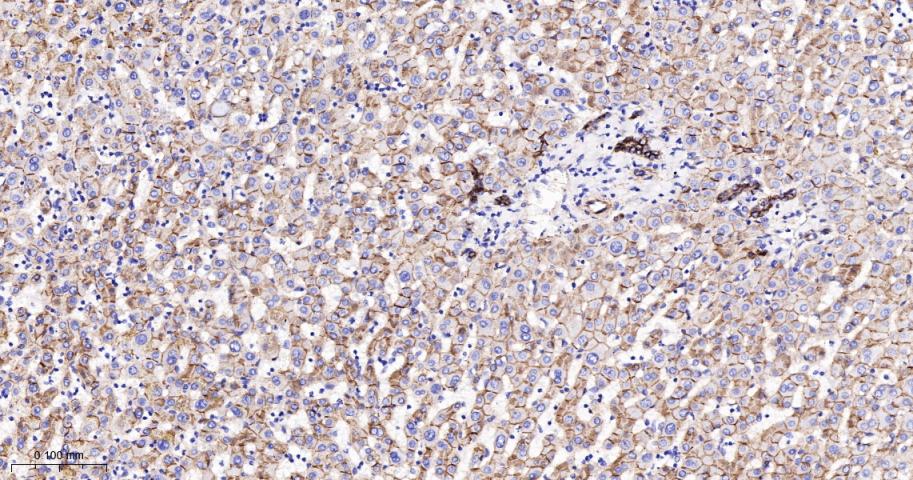
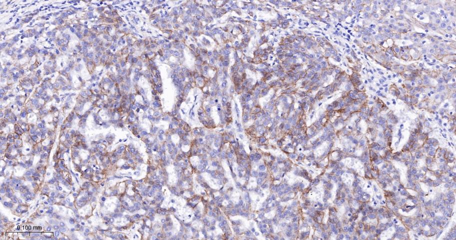
Paraformaldehyde-fixed, paraffin embedded Human Liver Cancer; Antigen retrieval by boiling in sodium citrate buffer (pH6.0) for 15 min; The section was incubated with N-cadherin Monoclonal Antibody, Unconjugated (bsm-34125M) at 1:800 overnight at 4°C, followed by conjugation to the bs-40296G-HRP and DAB (C-0010) staining.

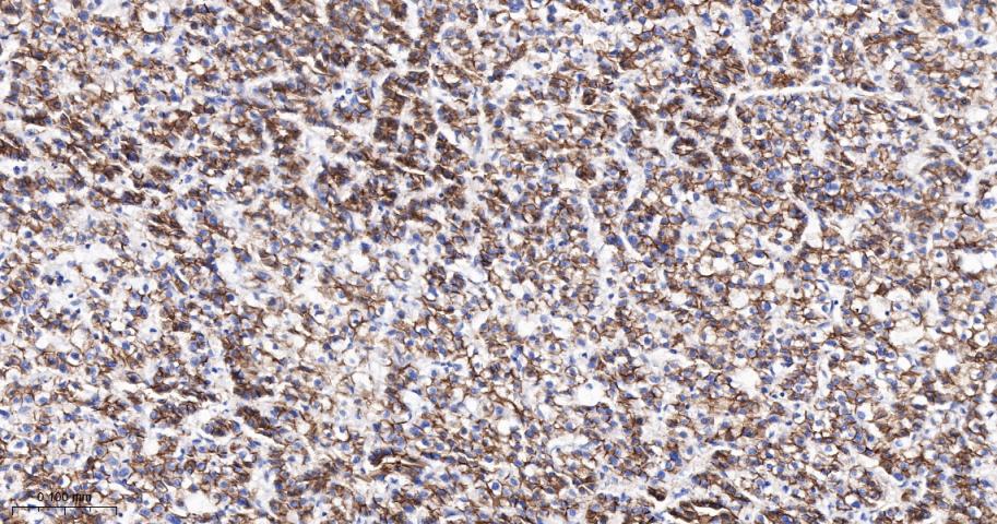
Paraformaldehyde-fixed, paraffin embedded Human Colon Cancer; Antigen retrieval by boiling in sodium citrate buffer (pH6.0) for 15 min; The section was incubated with N-cadherin Monoclonal Antibody, Unconjugated (bsm-34125M) at 1:800 overnight at 4°C, followed by conjugation to the bs-40296G-HRP and DAB (C-0010) staining.

Paraformaldehyde-fixed, paraffin embedded Human Ovarian Cancer; Antigen retrieval by boiling in sodium citrate buffer (pH6.0) for 15 min; The section was incubated with N-cadherin Monoclonal Antibody, Unconjugated (bsm-34125M) at 1:800 overnight at 4°C, followed by conjugation to the bs-40296G-HRP and DAB (C-0010) staining.

Paraformaldehyde-fixed, paraffin embedded Human Prostate Cancer; Antigen retrieval by boiling in sodium citrate buffer (pH6.0) for 15 min; The section was incubated with N-cadherin Monoclonal Antibody, Unconjugated (bsm-34125M) at 1:800 overnight at 4°C, followed by conjugation to the bs-40296G-HRP and DAB (C-0010) staining.

Paraformaldehyde-fixed, paraffin embedded Human Breast Cancer; Antigen retrieval by boiling in sodium citrate buffer (pH6.0) for 15 min; The section was incubated with N-cadherin Monoclonal Antibody, Unconjugated (bsm-34125M) at 1:800 overnight at 4°C, followed by conjugation to the bs-40296G-HRP and DAB (C-0010) staining.

25 ug total protein per lane of various lysates (see on figure) probed with N Cadherin monoclonal antibody, unconjugated (bsm-34125M) at 1:1000 dilution and 4°C overnight incubation. Followed by conjugated secondary antibody incubation at r.t. for 60 min.
风险提示:丁香通仅作为第三方平台,为商家信息发布提供平台空间。用户咨询产品时请注意保护个人信息及财产安全,合理判断,谨慎选购商品,商家和用户对交易行为负责。对于医疗器械类产品,请先查证核实企业经营资质和医疗器械产品注册证情况。
技术资料暂无技术资料 索取技术资料
N-cadherin Mouse mAb(bsm-34125M)-50ul/100ul
¥1180 - 1980







