相关产品推荐更多 >

CK18 Mouse mAb, BF350 conjugated(bsm-33103M-BF350)-100ul
¥2980
phospho-NFKB1 (Ser907) Rabbit pAb, BF488 conjugated(bs-5511R-BF488)-100ul
¥2980
Integrin beta 7 Rabbit pAb, PE-Cy5.5 conjugated(bs-1051R-PE-Cy5.5)-100ul
¥2980
RBM20 Rabbit pAb, RBITC conjugated(bs-9606R-RBITC)-100ul
¥2980
phospho-SP1 (Thr453) Rabbit pAb, Biotin conjugated(bs-12412R-Bio)-100ul
¥2980
万千商家帮你免费找货
0 人在求购买到急需产品
- 详细信息
- 技术资料
- 应用范围:
产品信息以Bioss网站为准
- 规格:
25ul/50ul/100ul
| 规格: | 25ul | 产品价格: | ¥800.0 |
|---|---|---|---|
| 规格: | 50ul | 产品价格: | ¥1400.0 |
| 规格: | 100ul | 产品价格: | ¥2500.0 |
| 产品编号 | bsm-41335R |
| 英文名称 | LAMP1 Recombinant mAb |
| 中文名称 | 溶酶体相关膜蛋白1(CD107)重组兔单抗 |
| 英文别名 | LAMP1_HUMAN; Lysosome-associated membrane glycoprotein 1; LAMP-1 ; Lysosome-associated membrane protein 1; CD107 antigen-like family member A; CD107a ; LAMPA; LGP120; |
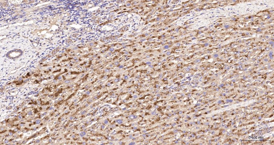
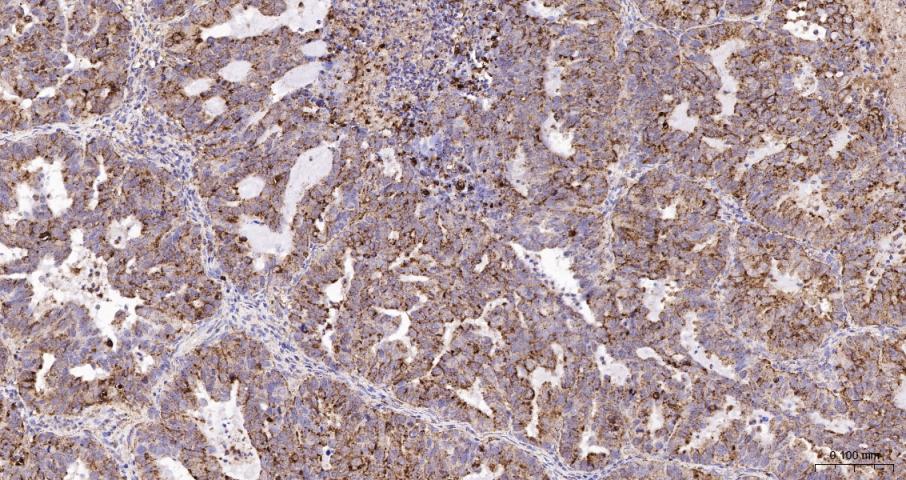
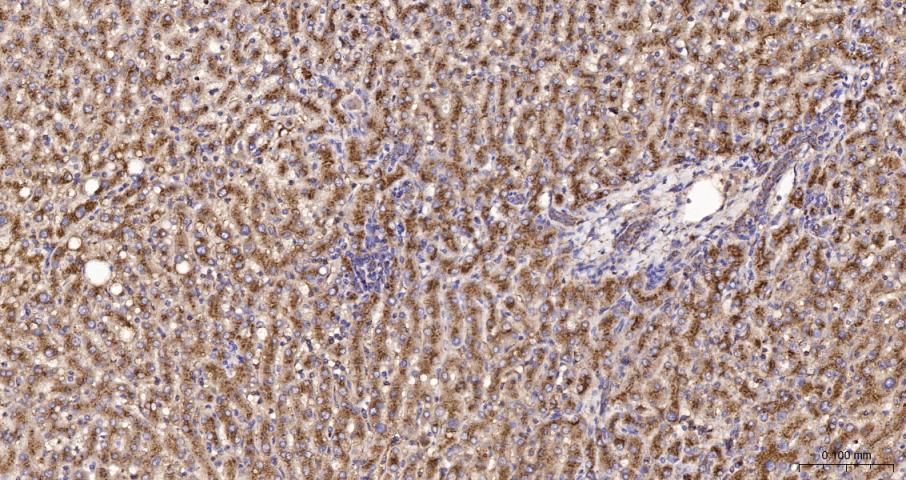
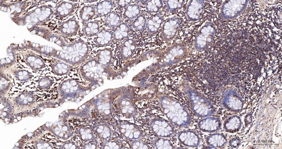
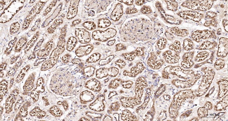
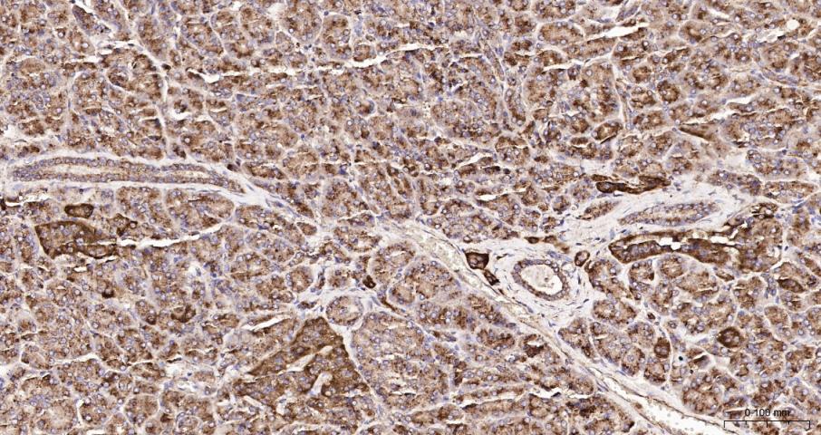
| 产品应用 | WB=1:1000-5000, IHC-P=1:200-1000, IHC-F=1:200-1000, IF=1:200-1000 Not yet tested in other applications. |
| 交叉反应 | Human |
| 免疫原 | Recombinant human LAMP1 protein |
| 亚型 | IgG |
| 性状 | Liquid |
| 纯化方法 | affinity purified by Protein A |
| 克隆类型 | Recombinant |
| 理论分子量 | 45 kDa |
| 浓度 | 1mg/ml |
| 储存液 | 0.01M TBS (pH7.4) with 1% BSA, 0.02% Proclin300 and 50% Glycerol. |
| 研究领域 | Cancer > Cell Death > Autophagy > Signal Transduction Cancer > Signal transduction > Autophagy Metabolism > Pathways and Processes > Metabolism processes > Autophagy and mitophagy Microbiology > Organism > Virus > RNA Virus > ssRNA positive strand virus > SARS Coronavirus Neuroscience > Cell Type Marker > Neuron marker > Growth Cone Neuroscience > Cell Type Marker > Neuron marker > Soma marker Neuroscience > Neurology process > Neurogenesis Signal Transduction > Antibodies > lamp1 Signal Transduction > Protein Trafficking > Organelle Proteins Stem Cells > Hematopoietic Progenitors > Lymphoid > B Lymphocytic Lineage Stem Cells > Hematopoietic Progenitors > Lymphoid > T Lymphocytic Lineage Stem Cells > Hematopoietic Progenitors > Myeloid > Monocytic Lineage Tags & Cell Markers > Subcellular Markers > Organelles > Lysosome |
| 亚细胞定位 | Cell membrane; Single-pass type I membrane protein. Endosome membrane; Single-pass type I membrane protein. Lysosome membrane; Single-pass type I membrane protein. Note=This protein shuttles between lysosomes, endosomes, and the plasma membrane. |
| 翻译后修饰 | O- and N-glycosylated; some of the 18 N-linked glycans are polylactosaminoglycans. |
| 相似性 | Belongs to the LAMP family. |
| 功能 | Presents carbohydrate ligands to selectins. Also mplicated in tumor cell metastasis. |
| 保存条件 | Shipped at 4℃. Store at -20℃ for one year. Avoid repeated freeze/thaw cycles. |
| 注意事项 | This product as supplied is intended for research use only, not for use in human, therapeutic or diagnostic applications. |
| 背景资料 | Lysosome associated membrane protein (LAMP1), also known as lgp120 or lgpA, is a type 1 integral membrane protein that is transported from trans Golgi networks to endosomes and then lysosomes. Upon cell activation, LAMP1 transfer to the plasma membrane is dependent on a carboxyl terminal tyrosine based motif (YXXI). Perturbation in the spacing between the tyrosine based motif relative to the membrane abolishes lysosome localization of LAMP1. This mutant protein then cycles between the plasma membrane and the endosome. Cell surface LAMP1 and LAMP2 have been shown to promote adhesion of human peripheral blood mononuclear cells (PBMC) to vascular endothelium, therefore they are possibly involved in the adhesion of PBMCs to the site of inflammation. |
| 应用 | 推荐稀释比例 |
| {WB} | {1:1000-5000} |
| {IHC-P} | {1:200-1000} |
| {IHC-F} | {1:200-1000} |
| {IF} | {1:200-1000} |








风险提示:丁香通仅作为第三方平台,为商家信息发布提供平台空间。用户咨询产品时请注意保护个人信息及财产安全,合理判断,谨慎选购商品,商家和用户对交易行为负责。对于医疗器械类产品,请先查证核实企业经营资质和医疗器械产品注册证情况。
技术资料暂无技术资料 索取技术资料





