相关产品推荐更多 >

PHD2 Rabbit pAb, BF750 conjugated(bs-3686R-BF750)-100ul
¥2980
Neurotrophin 3 Rabbit pAb, BF647 conjugated(bs-21489R-BF647)-100ul
¥2980
PAPOA Rabbit pAb, HRP conjugated(bs-4966R-HRP)-100ul
¥2980
CHMP6 Rabbit pAb, PerCP-Cy7 conjugated(bs-13915R-PerCP-Cy7)-100ul
¥2980
NR4A3 Rabbit pAb, AP conjugated(bs-11903R-AP)-100ul
¥2980
万千商家帮你免费找货
0 人在求购买到急需产品
- 详细信息
- 技术资料
- 应用范围:
产品信息以Bioss网站为准
- 规格:
50ul/100ul/200ul
| 规格: | 50ul | 产品价格: | ¥1180.0 |
|---|---|---|---|
| 规格: | 100ul | 产品价格: | ¥1980.0 |
| 规格: | 200ul | 产品价格: | ¥2800.0 |
| 产品编号 | bs-42479R |
| 英文名称 | Ribonuclease Inhibitor Rabbit pAb |
| 中文名称 | 核糖核酸酶抑制因子1抗体 |
| 英文别名 | Placental ribonuclease inhibitor; RNH; RNH1; Placental RNase inhibitor; PRI; RAI; RI antibody Ribonuclease inhibitor; Ribonuclease/angiogenin inhibitor 1; Ribonuclease/angiogenin inhibitor; RINI_HUMAN; RNase inhibitor; RNH 1; Rnh1 ribonuclease/angiogenin inhibitor 1. |
| 产品应用 | WB=1:500-2000, IHC-P=1:100-500, IHC-F=1:100-500, IF=1:100-500, Flow-Cyt=1μg/Test Not yet tested in other applications. |
| 交叉反应 | Human |
| 抗体来源 | Rabbit |
| 免疫原 | Recombinant human Ribonuclease Inhibitor |
| 亚型 | IgG |
| 性状 | Liquid |
| 纯化方法 | affinity purified by Protein A |
| 克隆类型 | Polyclonal |
| 理论分子量 | 50 kDa |
| 浓度 | 1mg/ml |
| 储存液 | 0.01M TBS (pH7.4) with 1% BSA, 0.02% Proclin300 and 50% Glycerol. |
| 研究领域 | Epigenetics and Nuclear Signaling > DNA / RNA > RNA Processing |
| 亚基 | Forms high-affinity heterodimers with RNASE1, ANG and RNASE2. |
| 亚细胞定位 | Cytoplasm. |
| 翻译后修饰 | The N-terminus is blocked. At least 30 of the 32 cysteine residues are in the reduced form. |
| 相似性 | Contains 15 LRR (leucine-rich) repeats. |
| 保存条件 | Shipped at 4℃. Store at -20℃ for one year. Avoid repeated freeze/thaw cycles. |
| 注意事项 | This product as supplied is intended for research use only, not for use in human, therapeutic or diagnostic applications. |
| 背景资料 | Ribonuclease inhibitor which inhibits RNASE1, RNASE2 and ANG. May play role in redox homeostasis. |
| 应用 | 推荐稀释比例 |
| {WB} | {1:500-2000} |
| {IHC-P} | {1:100-500} |
| {IHC-F} | {1:100-500} |
| {IF} | {1:100-500} |
| {Flow-Cyt} | {1μg/Test} |

25 ug total protein per lane of various lysates (see on figure) probed with Ribonuclease Inhibitor polyclonal antibody, unconjugated (bs-42479R) at 1:1000 dilution and 4°C overnight incubation. Followed by conjugated secondary antibody incubation at r.t. for 60 min.

The HepG2 (H) cells were fixed with 4% PFA (10 min at r.t.) and then permeabilized with 90% ice-cold methanol for 20 min at -20℃,the cells then were incubated in 5%BSA to block non-specific protein-protein interactions (30 min at r.t.).Primary Antibody (green):Rabbit Anti-Ribonuclease Inhibitor antibody (bs-42479R): 1 μg/10^6 cells; Secondary Antibody (white blue): Goat anti-Rabbit IgG-BF488 (bs-60295G-BF488): 1 μg/test. Isotype Control (orange): Rabbit IgG (bs-0295P). Blank control (black): PBS. Acquisition of 20,000 events was performed.

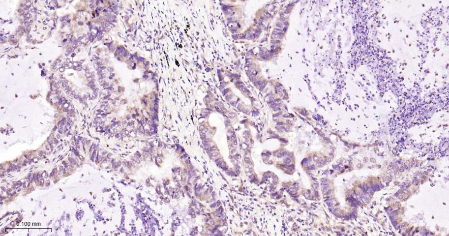
Paraformaldehyde-fixed, paraffin embedded Human Lung Cancer; Antigen retrieval by boiling in sodium citrate buffer (pH6.0) for 15 min; The section was incubated with Ribonuclease Inhibitor Polyclonal Antibody, Unconjugated (bs-42479R) at 1:200 overnight at 4°C, followed by conjugation to the bs-0295G-HRP and DAB (C-0010) staining.

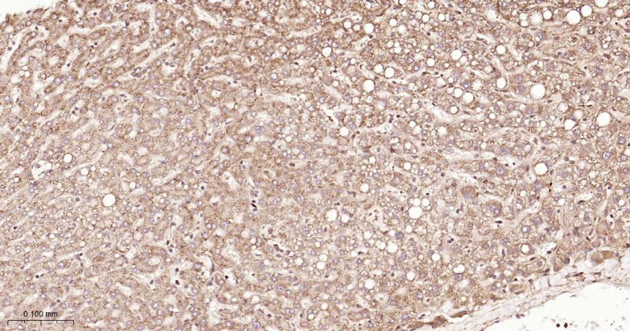
Paraformaldehyde-fixed, paraffin embedded Human Liver; Antigen retrieval by boiling in sodium citrate buffer (pH6.0) for 15 min; The section was incubated with Ribonuclease Inhibitor Polyclonal Antibody, Unconjugated (bs-42479R) at 1:200 overnight at 4°C, followed by conjugation to the bs-0295G-HRP and DAB (C-0010) staining.

Paraformaldehyde-fixed, paraffin embedded Human Cerebrum; Antigen retrieval by boiling in sodium citrate buffer (pH6.0) for 15 min; The section was incubated with Ribonuclease Inhibitor Polyclonal Antibody, Unconjugated (bs-42479R) at 1:200 overnight at 4°C, followed by conjugation to the bs-0295G-HRP and DAB (C-0010) staining.

Paraformaldehyde-fixed, paraffin embedded Human Heart; Antigen retrieval by boiling in sodium citrate buffer (pH6.0) for 15 min; The section was incubated with Ribonuclease Inhibitor Polyclonal Antibody, Unconjugated (bs-42479R) at 1:200 overnight at 4°C, followed by conjugation to the bs-0295G-HRP and DAB (C-0010) staining.
风险提示:丁香通仅作为第三方平台,为商家信息发布提供平台空间。用户咨询产品时请注意保护个人信息及财产安全,合理判断,谨慎选购商品,商家和用户对交易行为负责。对于医疗器械类产品,请先查证核实企业经营资质和医疗器械产品注册证情况。
技术资料暂无技术资料 索取技术资料
Ribonuclease Inhibitor Rabbit pAb(bs-42479R)-50ul/100ul/200ul
¥1180 - 2800





