相关产品推荐更多 >

CA19-9 / Sialyl Lewisa (GI Tumor Marker) Antibody - With BSA and Azide 抗体,orb1789490,Biorbyt
¥5889
Caspase-10 Antibody (PerCP) 抗体,orb1575545,Biorbyt
¥4796
DYNC1LI2 Antibody - N-terminal region : Biotin 抗体,orb2090263,Biorbyt
¥8216
Phospho-NMDAR1 (Ser890) Antibody (BF647) 抗体,orb1598236,Biorbyt
¥4796
Anti-F3 / Factor III / Tissue Factor / CD142 Reference Antibody 抗体,orb1805556,Biorbyt
¥781
万千商家帮你免费找货
0 人在求购买到急需产品
- 详细信息
- 技术资料
- 抗体名:
Ribonuclease Inhibitor Rabbit Polyclonal Antibody抗体
- 抗体英文名:
Ribonuclease Inhibitor Rabbit Polyclonal Antibody
- 靶点:
RNH1
- 浓度:
1mg/ml
- 应用范围:
FC, IF, IHC-Fr, IHC-P
- 宿主:
Rabbit
- 适应物种:
Human, Mouse, Rat
- 保质期:
6-12个月
- 抗原来源:
详询
- 目录编号:
orb101736
- 级别:
科研级
- 库存:
88
- 供应商:
biorbyt
- 标记物:
Unconjugated
- 克隆性:
Polyclonal
- 形态:
Liquid
- 亚型:
IgG
- 免疫原:
KLH conjugated synthetic peptide derived from human Ribonuclease Inhibitor (101-200/461aa)
- 规格:
50 ul
产品描述:Ribonuclease Inhibitor Rabbit Polyclonal Antibody
别名:Placental ribonuclease inhibitor; RNH; RNH1; Placental RNase inhibitor; PRI; RAI; RI antibody Ribonuclease inhibitor; Ribonuclease/angiogenin inhibitor 1; Ribonuclease/angiogenin inhibitor; RINI_HUMAN; RNase inhibitor; RNH 1; Rnh1 ribonuclease/angiogenin inhibitor 1.
免疫原:KLH conjugated synthetic peptide derived from human Ribonuclease Inhibitor (101-200/461aa)
预测反应性:Bovine, Porcine
分子量:50 kDa
应用稀释比例:IHC-P=1:100-500, IHC-F=1:100-500, IF=1:100-500, Flow-Cyt=1ug/Test
防腐剂:0.01M TBS (pH7.4) with 1% rAlbumin, 0.02% Proclin300 and 50% Glycerol.
纯化:Affinity purified by Protein A
保存说明:Maintain refrigerated at 2-8°C for up to 2 weeks. For long term storage store at -20°C in small aliquots to prevent freeze-thaw cycles.
UniProt ID:P13489
Note:For research use only.



别名:Placental ribonuclease inhibitor; RNH; RNH1; Placental RNase inhibitor; PRI; RAI; RI antibody Ribonuclease inhibitor; Ribonuclease/angiogenin inhibitor 1; Ribonuclease/angiogenin inhibitor; RINI_HUMAN; RNase inhibitor; RNH 1; Rnh1 ribonuclease/angiogenin inhibitor 1.
免疫原:KLH conjugated synthetic peptide derived from human Ribonuclease Inhibitor (101-200/461aa)
预测反应性:Bovine, Porcine
分子量:50 kDa
应用稀释比例:IHC-P=1:100-500, IHC-F=1:100-500, IF=1:100-500, Flow-Cyt=1ug/Test
防腐剂:0.01M TBS (pH7.4) with 1% rAlbumin, 0.02% Proclin300 and 50% Glycerol.
纯化:Affinity purified by Protein A
保存说明:Maintain refrigerated at 2-8°C for up to 2 weeks. For long term storage store at -20°C in small aliquots to prevent freeze-thaw cycles.
UniProt ID:P13489
Note:For research use only.

Blank control (blue): Hela cells (fixed with 2% Fixative (10 min), then permeabilized with 90% ice-cold methanol for 30 min on ice). Primary Antibody: Rabbit Anti-Ribonuclease Inhibitor antibody, Dilution: 1 µg in 100 µL 1X PBS containing 0.5% BSA, Isotype Control Antibody: Rabbit IgG (orange), used under the same conditions), Secondary Antibody: Goat anti-rabbit IgG-PE (white blue), Dilution: 1:200 in 1 X PBS containing 0.5% BSA.

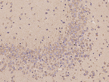
Fixative-fixed, paraffin embedded (Mouse brain), Antigen retrieval by microwave in sodium citrate buffer (pH6.0), Block endogenous peroxidase by 3% hydrogen peroxide for 30 minutes, Blocking buffer (3% BSA) at RT for 30 min, Antibody incubation with (Ribonuclease Inhibitor) Polyclonal Antibody, Unconjugated (orb101736) at 1:400 overnight at 4℃, followed by conjugation to the secondary antibody (labeled with HRP) and DAB staining.

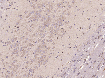
Fixative-fixed, paraffin embedded (Rat brain), Antigen retrieval by microwave in sodium citrate buffer (pH6.0), Block endogenous peroxidase by 3% hydrogen peroxide for 30 minutes, Blocking buffer (3% BSA) at RT for 30 min, Antibody incubation with (Ribonuclease Inhibitor) Polyclonal Antibody, Unconjugated (orb101736) at 1:400 overnight at 4℃, followed by conjugation to the secondary antibody (labeled with HRP) and DAB staining.
风险提示:丁香通仅作为第三方平台,为商家信息发布提供平台空间。用户咨询产品时请注意保护个人信息及财产安全,合理判断,谨慎选购商品,商家和用户对交易行为负责。对于医疗器械类产品,请先查证核实企业经营资质和医疗器械产品注册证情况。
技术资料暂无技术资料 索取技术资料
Ribonuclease Inhibitor Rabbit Polyclonal Antibody抗体,orb101736,biorbyt
¥3120





