相关产品推荐更多 >

MCM2 Recombinant Rabbit mAb(bsm-63311R)-25ul/50ul/100ul
¥800
PTPN1 Rabbit pAb, PerCP-Cy5.5 conjugated(bs-0182R-PerCP-Cy5.5)-100ul
¥2980
PSG2 Rabbit pAb, PerCP-Cy5.5 conjugated(bs-19453R-PerCP-Cy5.5)-100ul
¥2980
phospho-IRS1 (Ser616) Rabbit pAb, BF350 conjugated(bs-12710R-BF350)-100ul
¥2980
TLR9 Rabbit pAb, APC-Cy5.5 conjugated(bs-2717R-APC-Cy5.5)-100ul
¥2980
万千商家帮你免费找货
0 人在求购买到急需产品
- 详细信息
- 技术资料
- 应用范围:
产品信息以Bioss网站为准
- 规格:
50ul/100ul/200ul
| 规格: | 50ul | 产品价格: | ¥1180.0 |
|---|---|---|---|
| 规格: | 100ul | 产品价格: | ¥1980.0 |
| 规格: | 200ul | 产品价格: | ¥2800.0 |
| 产品编号 | bsm-51091M |
| 英文名称 | HLA-DRA Mouse mAb |
| 中文名称 | HLA-DR抗体 |
| 英文别名 | DR alpha chain precursor; DRB1; DRB4; HLA class II histocompatibility antigen; HLA class II histocompatibility antigen DR alpha chain; HLA DR1B; HLA DR3B; HLA DRA; HLA DRA1; HLA DRB3; HLA DRB4; HLA DRB5; HLADR4B; HLADRA1; HLADRB; Major histocompatibility complex class II DR alpha; Major histocompatibility complex class II DR beta 1; Major histocompatibility complex class II DR beta 3; Major histocompatibility complex class II DR beta 4; Major histocompatibility complex class II DR beta 5; MGC117330; MHC cell surface glycoprotein; MHC class II antigen DRA; MHC II; DRA_HUMAN. |
| 产品应用 | WB=1:500-2000, IHC-P=1:50-200, IHC-F=1:50-200 Not yet tested in other applications. |
| 交叉反应 | Human |
| 抗体来源 | Mouse |
| 免疫原 | KLH conjugated synthetic peptide derived from human HLA-DRA |
| 性状 | Liquid |
| 纯化方法 | affinity purified by Protein A |
| 克隆类型 | Monoclonal |
| 理论分子量 | 26 kDa |
| 浓度 | 1mg/ml |
| 研究领域 | Immunology > Adaptive Immunity > MHC > Class II |
| 亚基 | Heterodimer of an alpha and a beta subunit; also referred as MHC class II molecule. In the endoplasmic reticulum (ER) it forms an heterononamer; 3 MHC class II molecules bind to a CD74 homotrimer (also known as invariant chain or HLA class II histocompatibility antigen gamma chain). |
| 亚细胞定位 | Cell membrane; Single-pass type I membrane protein. Endoplasmic reticulum membrane; Single-pass type I membrane protein. Golgi apparatus, trans-Golgi network membrane; Single-pass type I membrane protein. Endosome membrane; Single-pass type I membrane protein. Lysosome membrane; Single-pass type I membrane protein. Late endosome membrane; Single-pass type I membrane protein. Note=The MHC class II complex transits through a number of intracellular compartments in the endocytic pathway until it reaches the cell membrane for antigen presentation. |
| 翻译后修饰 | Ubiquitinated by MARCH1 or MARCH8 at Lys-244 leading to down-regulation of MHC class II. When associated with ubiquitination of the beta subunit of HLA-DR: HLA-DRB4 'Lys-254', the down-regulation of MHC class II may be highly effective. |
| 相似性 | Belongs to the MHC class II family. Contains 1 Ig-like C1-type (immunoglobulin-like) domain. |
| 功能 | Binds peptides derived from antigens that access the endocytic route of antigen presenting cells (APC) and presents them on the cell surface for recognition by the CD4 T-cells. The peptide binding cleft accommodates peptides of 10-30 residues. The peptides presented by MHC class II molecules are generated mostly by degradation of proteins that access the endocytic route, where they are processed by lysosomal proteases and other hydrolases. Exogenous antigens that have been endocytosed by the APC are thus readily available for presentation via MHC II molecules, and for this reason this antigen presentation pathway is usually referred to as exogenous. As membrane proteins on their way to degradation in lysosomes as part of their normal turn-over are also contained in the endosomal/lysosomal compartments, exogenous antigens must compete with those derived from endogenous components. Autophagy is also a source of endogenous peptides, autophagosomes constitutively fuse with MHC class II loading compartments. |
| 保存条件 | Shipped at 4℃. Store at -20℃ for one year. Avoid repeated freeze/thaw cycles. |
| 注意事项 | This product as supplied is intended for research use only, not for use in human, therapeutic or diagnostic applications. |
| 背景资料 | HLA-DRA is one of the HLA class II alpha chain paralogues. This class II molecule is a heterodimer consisting of an alpha and a beta chain, both anchored in the membrane. It plays a central role in the immune system by presenting peptides derived from extracellular proteins. Class II molecules are expressed in antigen presenting cells (APC: B lymphocytes, dendritic cells, macrophages). The alpha chain is approximately 33-35 kDa and its gene contains 5 exons. Exon 1 encodes the leader peptide, exons 2 and 3 encode the two extracellular domains, and exon 4 encodes the transmembrane domain and the cytoplasmic tail. DRA does not have polymorphisms in the peptide binding part and acts as the sole alpha chain for DRB1, DRB3, DRB4 and DRB5. [provided by RefSeq] |
| 应用 | 推荐稀释比例 |
| {WB} | {1:500-2000} |
| {IHC-P} | {1:50-200} |
| {IHC-F} | {1:50-200} |

25 ug total protein per lane of various lysates (see on figure) probed with HLA-DRA monoclonal antibody, unconjugated (bsm-51091M) at 1:1000 dilution and 4°C overnight incubation. Followed by conjugated secondary antibody incubation at r.t. for 60 min.

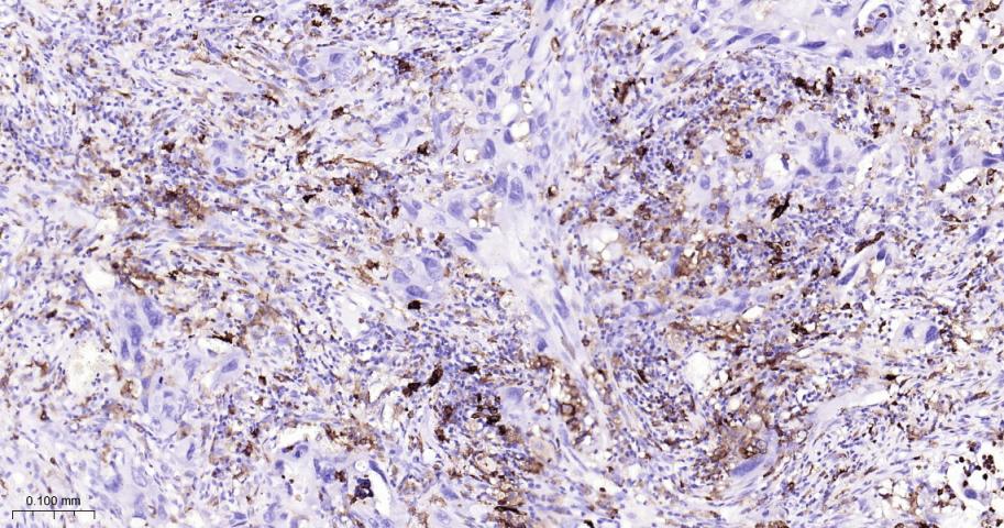
Paraformaldehyde-fixed, paraffin embedded Human Lung Cancer; Antigen retrieval by boiling in sodium citrate buffer (pH6.0) for 15 min; Antibody incubation with HLA-DRA Monoclonal Antibody, Unconjugated(bsm-51091M) at 1:100 overnight at 4°C, followed by conjugation to the bs-40296G-HRP and DAB (C-0010) staining.

Paraformaldehyde-fixed, paraffin embedded Human Colon Cancer; Antigen retrieval by boiling in sodium citrate buffer (pH6.0) for 15 min; Antibody incubation with HLA-DRA Monoclonal Antibody, Unconjugated(bsm-51091M) at 1:100 overnight at 4°C, followed by conjugation to the bs-40296G-HRP and DAB (C-0010) staining.

Paraformaldehyde-fixed, paraffin embedded Human Esophagus Cancer; Antigen retrieval by boiling in sodium citrate buffer (pH6.0) for 15 min; Antibody incubation with HLA-DRA Monoclonal Antibody, Unconjugated(bsm-51091M) at 1:100 overnight at 4°C, followed by conjugation to the bs-40296G-HRP and DAB (C-0010) staining.

Paraformaldehyde-fixed, paraffin embedded Human Gastric Cancer; Antigen retrieval by boiling in sodium citrate buffer (pH6.0) for 15 min; Antibody incubation with HLA-DRA Monoclonal Antibody, Unconjugated(bsm-51091M) at 1:100 overnight at 4°C, followed by conjugation to the bs-40296G-HRP and DAB (C-0010) staining.

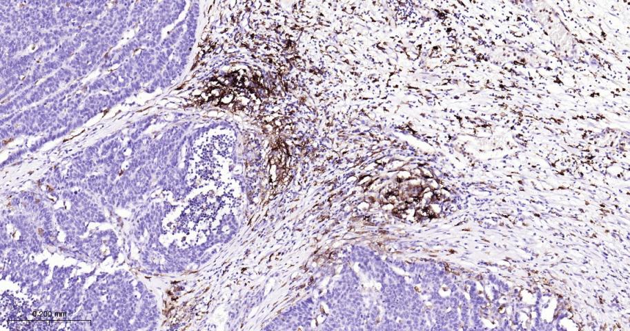
Paraformaldehyde-fixed, paraffin embedded Human Endometrial Cancer; Antigen retrieval by boiling in sodium citrate buffer (pH6.0) for 15 min; Antibody incubation with HLA-DRA Monoclonal Antibody, Unconjugated(bsm-51091M) at 1:100 overnight at 4°C, followed by conjugation to the bs-40296G-HRP and DAB (C-0010) staining.

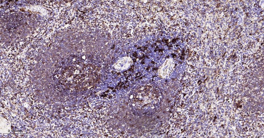
Paraformaldehyde-fixed, paraffin embedded Human Tonsil; Antigen retrieval by boiling in sodium citrate buffer (pH6.0) for 15 min; Antibody incubation with HLA-DRA Monoclonal Antibody, Unconjugated(bsm-51091M) at 1:100 overnight at 4°C, followed by conjugation to the bs-40296G-HRP and DAB (C-0010) staining.

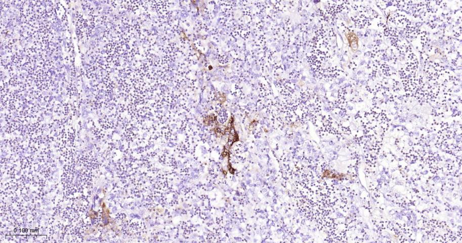
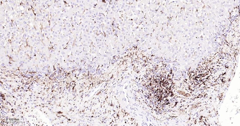
Paraformaldehyde-fixed, paraffin embedded Human Liver; Antigen retrieval by boiling in sodium citrate buffer (pH6.0) for 15 min; Antibody incubation with HLA-DRA Monoclonal Antibody, Unconjugated(bsm-51091M) at 1:100 overnight at 4°C, followed by conjugation to the bs-40296G-HRP and DAB (C-0010) staining.

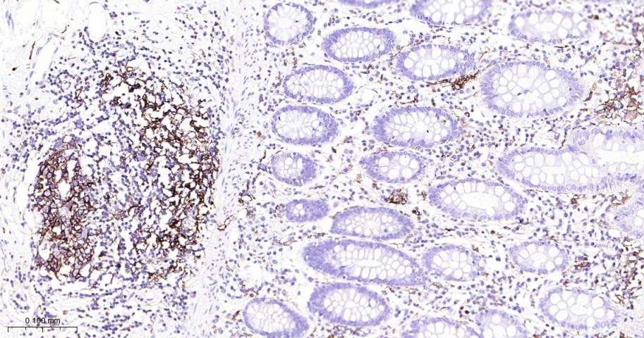
Paraformaldehyde-fixed, paraffin embedded Human Colon; Antigen retrieval by boiling in sodium citrate buffer (pH6.0) for 15 min; Antibody incubation with HLA-DRA Monoclonal Antibody, Unconjugated(bsm-51091M) at 1:100 overnight at 4°C, followed by conjugation to the bs-40296G-HRP and DAB (C-0010) staining.

Paraformaldehyde-fixed, paraffin embedded Human Spleen; Antigen retrieval by boiling in sodium citrate buffer (pH6.0) for 15 min; Antibody incubation with HLA-DRA Monoclonal Antibody, Unconjugated(bsm-51091M) at 1:100 overnight at 4°C, followed by conjugation to the bs-40296G-HRP and DAB (C-0010) staining.
风险提示:丁香通仅作为第三方平台,为商家信息发布提供平台空间。用户咨询产品时请注意保护个人信息及财产安全,合理判断,谨慎选购商品,商家和用户对交易行为负责。对于医疗器械类产品,请先查证核实企业经营资质和医疗器械产品注册证情况。
技术资料暂无技术资料 索取技术资料
HLA-DRA Mouse mAb(bsm-51091M)-50ul/100ul/200ul
¥1180 - 2800





