相关产品推荐更多 >

TNFRSF18 Rabbit pAb, BF594 conjugated(bs-1173R-BF594)-100ul
¥2980
WT1 Rabbit pAb, PerCP-Cy7 conjugated(bs-6983R-PerCP-Cy7)-100ul
¥2980
HSP27 Rabbit pAb, PerCP-Cy5.5 conjugated(bs-20666R-PerCP-Cy5.5)-100ul
¥2980
FBXL5 Rabbit pAb, BF488 conjugated(bs-8468R-BF488)-100ul
¥2980
phospho-FLT3 (Tyr591) Rabbit pAb, BF647 conjugated(bs-3147R-BF647)-100ul
¥2980
万千商家帮你免费找货
0 人在求购买到急需产品
- 详细信息
- 文献和实验
- 技术资料
- 应用范围:
产品信息以Bioss网站为准
- 规格:
50ul/100ul/200ul
| 规格: | 50ul | 产品价格: | ¥1180.0 |
|---|---|---|---|
| 规格: | 100ul | 产品价格: | ¥1980.0 |
| 规格: | 200ul | 产品价格: | ¥2800.0 |
| 产品编号 | bs-43666R |
| 英文名称 | CD31 Rabbit pAb |
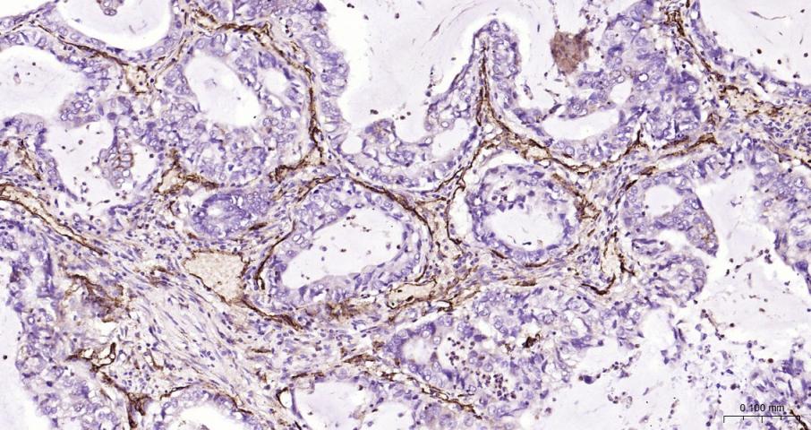
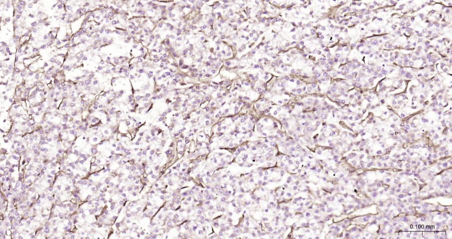
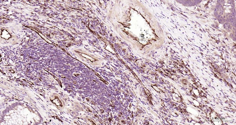
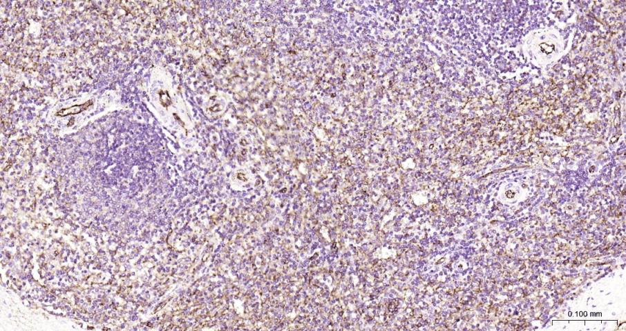
| 中文名称 | 血小板内皮细胞黏附分子-1抗体 |
| 英文别名 | platelet endothelial cell adhesion molecule precursor-1; PECAM-1; PECAM1; Adhesion molecule; CD31 antigen; CD31 EndoCAM; Endocam; FLJ34100; FLJ58394; GPIIA; Pecam 1; PECA1_HUMAN; PECAM 1 CD31 EndoCAM; PECA1; Pecam1; Platelet endothelial cell adhesion molecule; Platelet/endothelial cell adhesion molecule 1; Adhesion molecule; Platelet/endothelial cell adhesion molecule. |
| 产品应用 | Flow-Cyt=1ug/Test, ICC/IF=1:100-500, IHC-P=1:200-1000, IHC-F=1:200-1000, IF=1:200-1000 Not yet tested in other applications. |
| 交叉反应 | Human |
| 抗体来源 | Rabbit |
| 免疫原 | Recombinant human CD31 protein |
| 亚型 | IgG |
| 性状 | Liquid |
| 纯化方法 | affinity purified by Protein A |
| 克隆类型 | Polyclonal |
| 理论分子量 | 78 kDa |
| 浓度 | 1mg/ml |
| 储存液 | 0.01M TBS (pH7.4) with 1% BSA, 0.02% Proclin300 and 50% Glycerol. |
| 亚基 | Trans-homodimer (via Ig-like C2-type 1 and Ig-like C2-type 2 domains); trans-homodimerization is required for cell-cell interaction (PubMed:26702061, PubMed:27958302). |
| 亚细胞定位 | Isoform Long: Membrane; Single-pass type I membrane protein. Cell junction. Note=Localizes to the lateral border recycling compartment (LBRC) and recycles from the LBRC to the junction in resting endothelial cells.Isoform Delta15: Cell junction. Note=Localizes to the lateral border recycling compartment (LBRC) and recycles from the LBRC to the junction in resting endothelial cells. |
| 组织特异性 | Expressed on platelets and leukocytes and is primarily concentrated at the borders between endothelial cells (PubMed:18388311, PubMed:21464369). |
| 翻译后修饰 | Phosphorylated on Ser and Tyr residues after cellular activation. Phosphorylated on tyrosine residues by FER and FES in response to FCER1 activation. In endothelial cells Fyn mediates mechanical-force (stretch or pull) induced tyrosine phosphorylation. |
| 相似性 | Contains 6 Ig-like C2-type (immunoglobulin-like) domains. |
| 功能 | Cell adhesion molecule which is required for leukocyte transendothelial migration (TEM) under most inflammatory conditions (PubMed:19342684, PubMed:17580308). |
| 保存条件 | Shipped at 4℃. Store at -20℃ for one year. Avoid repeated freeze/thaw cycles. |
| 注意事项 | This product as supplied is intended for research use only, not for use in human, therapeutic or diagnostic applications. |
| 背景资料 | The protein encoded by this gene is found on the surface of platelets, monocytes, neutrophils, and some types of T-cells, and makes up a large portion of endothelial cell intercellular junctions. The encoded protein is a member of the immunoglobulin superfamily and is likely involved in leukocyte migration, angiogenesis, and integrin activation. [provided by RefSeq, May 2010] |
| 应用 | 推荐稀释比例 |
| {Flow-Cyt} | {1ug/Test} |
| {ICC/IF} | {1:100-500} |
| {IHC-P} | {1:200-1000} |
| {IHC-F} | {1:200-1000} |
| {IF} | {1:200-1000} |







风险提示:丁香通仅作为第三方平台,为商家信息发布提供平台空间。用户咨询产品时请注意保护个人信息及财产安全,合理判断,谨慎选购商品,商家和用户对交易行为负责。对于医疗器械类产品,请先查证核实企业经营资质和医疗器械产品注册证情况。
文献和实验= NAL), appears to form upon oxidative cyclization of the nonfluorescent 2:1 lysine-HNE Michael adduct-Schiff base cross-link (Scheme 1). Polyclonal antibody (PAb) to the NAL-HNE fluorophore was raised in rabbit and found to be highly specific
GE Healthcare Benzamidine Sepharose™ 6B is p-aminobenzamidine covalently attached to Sepharose 6B by the epoxy coupling method. p-Aminobenzamidine (PAB), is a synthetic inhibitor of trypsin-like serine protease. Trypsin and trypsin
Nucleic Acid Programmable Protein Arrays: Versatile Tools for Array‐Based Functional Protein Studies
.g., Sigma) 50 mg/ml bis‐sulfosuccinimdylsuberate (BS3 ;Pierce, cat. no. PI 21580) in dimethylsulfoxide (DMSO) 5 mg/ml
技术资料暂无技术资料 索取技术资料






