相关产品推荐更多 >

Acrosin Antibody (BF350) 抗体,orb1584262,Biorbyt
¥4796
Protein Phosphatase 1 beta (PPP1CB) Antibody (C-term)抗体,orb39107,biorbyt
¥3900
CD52 Biosimilar Antibody抗体,orb757415,biorbyt
¥2210
FGF-23 Antibody / Fibroblast Growth Factor 23 抗体,orb1825772,Biorbyt
¥9932
SLC25A24 Antibody - N-terminal region : HRP 抗体,orb2119994,Biorbyt
¥8216
万千商家帮你免费找货
0 人在求购买到急需产品
- 详细信息
- 技术资料
- 抗体名:
CD31 Rabbit pAb抗体
- 抗体英文名:
CD31 Rabbit pAb
- 靶点:
PECAM1
- 应用范围:
ELISA, ICC, IF, IHC-Fr, IHC-P, WB
- 适应物种:
Human, Mouse
- 保质期:
6-12个月
- 抗原来源:
详询
- 目录编号:
orb1562980
- 级别:
科研级
- 库存:
88
- 供应商:
biorbyt
- 标记物:
Unconjugated
- 克隆性:
Polyclonal
- 保存条件:
参考说明书
- 形态:
Liquid
- 亚型:
IgG
- 免疫原:
synthesized peptide of human PECAM-1.
- 规格:
20 ul
产品描述:CD31 Rabbit pAb
别名:Platelet endothelial cell adhesion molecule; PECAM-1; EndoCAM; GPIIA'; PECA1; CD antigen CD31
免疫原:synthesized peptide of human PECAM-1.
分子量:Calculated MW: 83 kDa; Observed MW: 130-140 kDa
应用稀释比例:WB: 1/500-1/1000 IHC: 1/50-1/100 IF: 1/50-1/200 ELISA: 1/10000
防腐剂:Liquid in PBS containing 50% glycerol, 0.5% rAlbumin and 0.02% sodium azide, pH 7.3.
纯化:Affinity Purified
保存说明:Maintain refrigerated at 2-8°C for up to 2 weeks. For long term storage store at -20°C in small aliquots to prevent freeze-thaw cycles.
UniProt ID:P16284
Note:For research use only.



别名:Platelet endothelial cell adhesion molecule; PECAM-1; EndoCAM; GPIIA'; PECA1; CD antigen CD31
免疫原:synthesized peptide of human PECAM-1.
分子量:Calculated MW: 83 kDa; Observed MW: 130-140 kDa
应用稀释比例:WB: 1/500-1/1000 IHC: 1/50-1/100 IF: 1/50-1/200 ELISA: 1/10000
防腐剂:Liquid in PBS containing 50% glycerol, 0.5% rAlbumin and 0.02% sodium azide, pH 7.3.
纯化:Affinity Purified
保存说明:Maintain refrigerated at 2-8°C for up to 2 weeks. For long term storage store at -20°C in small aliquots to prevent freeze-thaw cycles.
UniProt ID:P16284
Note:For research use only.

Western blot analysis of CD31 in HepG2, K562, L929, mouse brain lysates using CD31 antibody.

Immunofluorescence analysis of CD31 in HeLa using CD31 antibody. The picture on the right is blocked using synthesized peptide.

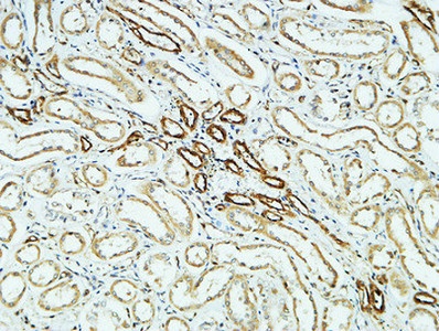
Immunohistochemistry analysis of paraffin-embedded CD31 in paraffin-embedded Human kidney using CD31 antibody. High-pressure and temperature Sodium Citrate pH 6.0 was used for antigen retrieval.
风险提示:丁香通仅作为第三方平台,为商家信息发布提供平台空间。用户咨询产品时请注意保护个人信息及财产安全,合理判断,谨慎选购商品,商家和用户对交易行为负责。对于医疗器械类产品,请先查证核实企业经营资质和医疗器械产品注册证情况。
技术资料暂无技术资料 索取技术资料
CD31 Rabbit pAb抗体,orb1562980,biorbyt
¥1560





