相关产品推荐更多 >

Versican Recombinant Rabbit mAb(bsm-63236R)-25ul/50ul/100ul
¥800
PPARGC1A Rabbit pAb, APC-Cy7 conjugated(bs-1832R-APC-Cy7)-100ul
¥2980
SOCS5 Rabbit pAb, FITC conjugated(bs-13664R-FITC)-100ul
¥2980
IL10RB Rabbit pAb, Biotin conjugated(bs-21981R-Bio)-100ul
¥2980
phospho-SP1 (Thr739) Rabbit pAb, PerCP-Cy5.5 conjugated(bs-17137R-PerCP-Cy5.5)-100ul
¥2980
万千商家帮你免费找货
0 人在求购买到急需产品
- 详细信息
- 技术资料
- 应用范围:
产品信息以Bioss网站为准
- 规格:
50ul/100ul/25ul
| 规格: | 50ul | 产品价格: | ¥1400.0 |
|---|---|---|---|
| 规格: | 100ul | 产品价格: | ¥2500.0 |
| 规格: | 25ul | 产品价格: | ¥800.0 |
| 产品编号 | bsm-62613R |
| 英文名称 | Adrenodoxin Recombinant Rabbit mAb |
| 中文名称 | 肾上腺皮质线粒体铁氧还蛋白重组兔单抗 |
| 英文别名 | Adrenodoxin; ADX; FDX; fdx1; Ferredoxin 1; Hepatoredoxin; LOH11CR1D. |
| 产品应用 | WB=1:500-2000, IHC-P=1:50-200, IHC-F=1:50-200, ICC/IF=1:50-200, IF=1:50-200 Not yet tested in other applications. |
| 交叉反应 | Human, Mouse, Rat |
| 抗体来源 | Rabbit |
| 免疫原 | A synthesized peptide derived from human Ferredoxin 1 |
| 亚型 | IgG |
| 性状 | Liquid |
| 纯化方法 | affinity purified by Protein A |
| 克隆类型 | Recombinant |
| 理论分子量 | 19 |
| 实际分子量 | 13 |
| 储存液 | 10mM phosphate buffered saline(pH 7.4) with 150mM sodium chloride, 0.05% BSA, 0.02% Proclin300 and 50% glycerol. |
| 研究领域 | Metabolism > Pathways and Processes > Cofactors, Vitamins / minerals > Vitamins / minerals Metabolism > Pathways and Processes > Mitochondrial Metabolism > Mitochondrial markers Metabolism > Types of disease > Cancer Neuroscience > Endocrine system > Thyroid axis Signal Transduction > Growth Factors/Hormones > Hormones Signal Transduction > Metabolism > Mitochondrial Signal Transduction > Metabolism > Vitamins / Minerals |
| 亚细胞定位 | Mitochondrion matrix. |
| 组织特异性 | Highest levels in the adrenal gland (at protein level). Also detected in kidney and testis (at protein level). |
| 相似性 | Belongs to the adrenodoxin/putidaredoxin family. _x000D_ Contains 1 2Fe-2S ferredoxin-type domain. |
| 功能 | Participates in the synthesis of thyroid hormones. Transfers electrons from adrenodoxin reductase to the cholesterol side chain cleavage cytochrome P450. |
| 保存条件 | Store at 4℃ for short term. Store at -20℃ for long term. Avoid repeated freeze/thaw cycles. |
| 注意事项 | This product as supplied is intended for research use only, not for use in human, therapeutic or diagnostic applications. |
| 背景资料 | Essential for the synthesis of various steroid hormones. Participates in the reduction of mitochondrial cytochrome P450 for steroidogenesis. Transfers electrons from adrenodoxin reductase to CYP11A1, a cytochrome P450 that catalyzes cholesterol side-chain cleavage. |
| 应用 | 推荐稀释比例 |
| {WB} | {1:500-2000} |
| {IHC-P} | {1:50-200} |
| {IHC-F} | {1:50-200} |
| {ICC/IF} | {1:50-200} |
| {IF} | {1:50-200} |

25 ug total protein per lane of various lysates (see on figure) probed with Adrenodoxin monoclonal antibody, unconjugated (bsm-62613R) at 1:1000 dilution and 4°C overnight incubation. Followed by conjugated secondary antibody incubation at r.t. for 60 min.

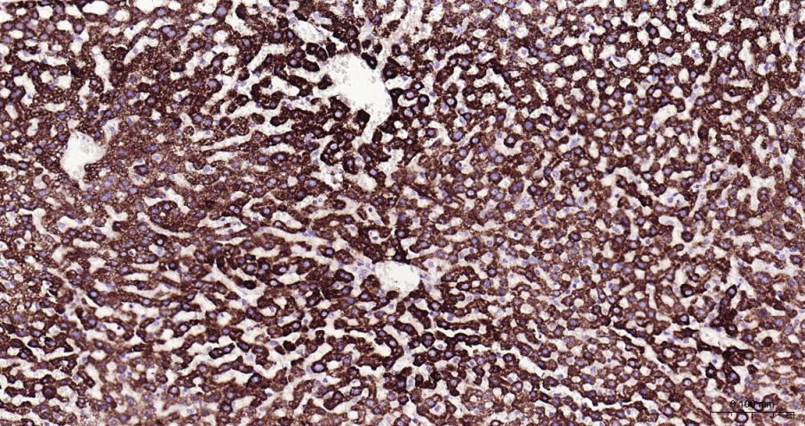
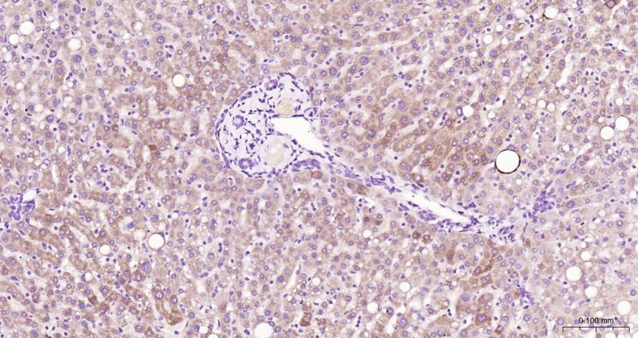
Paraformaldehyde-fixed, paraffin embedded Rat liver; Antigen retrieval by boiling in sodium citrate buffer (pH6.0) for 15 min; Antibody incubation with Adrenodoxin Monoclonal Antibody, Unconjugated(bsm-62613R) at 1:200 overnight at 4°C, followed by conjugation to the bs-0295G-HRP and DAB (C-0010) staining.

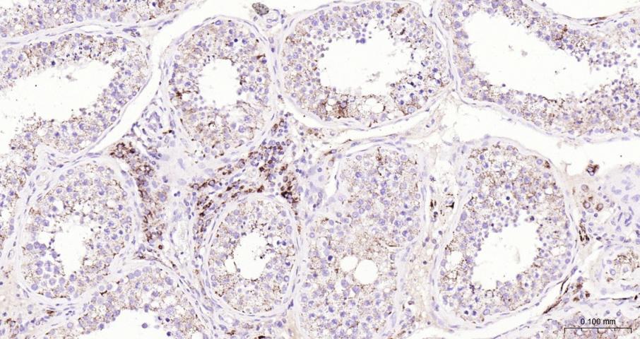
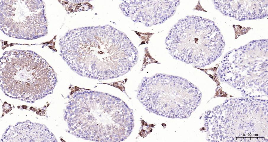
Paraformaldehyde-fixed, paraffin embedded Rat testicles; Antigen retrieval by boiling in sodium citrate buffer (pH6.0) for 15 min; Antibody incubation with Adrenodoxin Monoclonal Antibody, Unconjugated(bsm-62613R) at 1:200 overnight at 4°C, followed by conjugation to the bs-0295G-HRP and DAB (C-0010) staining.

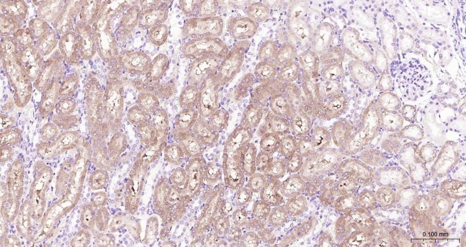
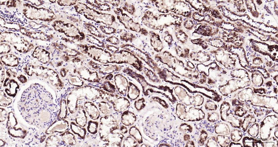
Paraformaldehyde-fixed, paraffin embedded Rat kidney; Antigen retrieval by boiling in sodium citrate buffer (pH6.0) for 15 min; Antibody incubation with Adrenodoxin Monoclonal Antibody, Unconjugated(bsm-62613R) at 1:200 overnight at 4°C, followed by conjugation to the bs-0295G-HRP and DAB (C-0010) staining.

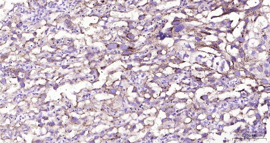
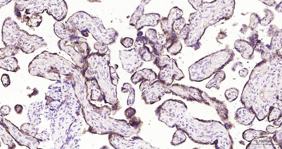
Paraformaldehyde-fixed, paraffin embedded Rat placenta; Antigen retrieval by boiling in sodium citrate buffer (pH6.0) for 15 min; Antibody incubation with Adrenodoxin Monoclonal Antibody, Unconjugated(bsm-62613R) at 1:200 overnight at 4°C, followed by conjugation to the bs-0295G-HRP and DAB (C-0010) staining.

Paraformaldehyde-fixed, paraffin embedded Human liver; Antigen retrieval by boiling in sodium citrate buffer (pH6.0) for 15 min; Antibody incubation with Adrenodoxin Monoclonal Antibody, Unconjugated(bsm-62613R) at 1:200 overnight at 4°C, followed by conjugation to the bs-0295G-HRP and DAB (C-0010) staining.

Paraformaldehyde-fixed, paraffin embedded Human testicles; Antigen retrieval by boiling in sodium citrate buffer (pH6.0) for 15 min; Antibody incubation with Adrenodoxin Monoclonal Antibody, Unconjugated(bsm-62613R) at 1:200 overnight at 4°C, followed by conjugation to the bs-0295G-HRP and DAB (C-0010) staining.

Paraformaldehyde-fixed, paraffin embedded Human kidney; Antigen retrieval by boiling in sodium citrate buffer (pH6.0) for 15 min; Antibody incubation with Adrenodoxin Monoclonal Antibody, Unconjugated(bsm-62613R) at 1:200 overnight at 4°C, followed by conjugation to the bs-0295G-HRP and DAB (C-0010) staining.

Paraformaldehyde-fixed, paraffin embedded Human placenta; Antigen retrieval by boiling in sodium citrate buffer (pH6.0) for 15 min; Antibody incubation with Adrenodoxin Monoclonal Antibody, Unconjugated(bsm-62613R) at 1:200 overnight at 4°C, followed by conjugation to the bs-0295G-HRP and DAB (C-0010) staining.

Paraformaldehyde-fixed, paraffin embedded Mouse testicles; Antigen retrieval by boiling in sodium citrate buffer (pH6.0) for 15 min; Antibody incubation with Adrenodoxin Monoclonal Antibody, Unconjugated(bsm-62613R) at 1:200 overnight at 4°C, followed by conjugation to the bs-0295G-HRP and DAB (C-0010) staining.

Paraformaldehyde-fixed, paraffin embedded Mouse placenta; Antigen retrieval by boiling in sodium citrate buffer (pH6.0) for 15 min; Antibody incubation with Adrenodoxin Monoclonal Antibody, Unconjugated(bsm-62613R) at 1:200 overnight at 4°C, followed by conjugation to the bs-0295G-HRP and DAB (C-0010) staining.

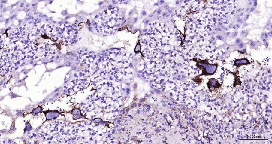
(Negative control)Paraformaldehyde-fixed, paraffin embedded Mouse brain; Antigen retrieval by boiling in sodium citrate buffer (pH6.0) for 15 min; Antibody incubation with Adrenodoxin Monoclonal Antibody, Unconjugated(bsm-62613R) at 1:200 overnight at 4°C, followed by conjugation to the bs-0295G-HRP and DAB (C-0010) staining.
风险提示:丁香通仅作为第三方平台,为商家信息发布提供平台空间。用户咨询产品时请注意保护个人信息及财产安全,合理判断,谨慎选购商品,商家和用户对交易行为负责。对于医疗器械类产品,请先查证核实企业经营资质和医疗器械产品注册证情况。
技术资料暂无技术资料 索取技术资料
Adrenodoxin Recombinant Rabbit mAb(bsm-62613R)-50ul/100ul/25ul
¥800 - 2500





