相关产品推荐更多 >

GFP Recombinant Rabbit mAb(bsm-33019R)-100ul/500ul/200ul/1000ul
¥580
phospho-AKT3 (Tyr473) Rabbit pAb, BF488 conjugated(bs-15963R-BF488)-100ul
¥2980
HRH4/GPCR105 Rabbit pAb, RBITC conjugated(bs-10165R-RBITC)-100ul
¥2980
HPV16 E7 Rabbit pAb, BF750 conjugated(bs-10202R-BF750)-100ul
¥2980
Tbx21 Rabbit pAb, Cy5 conjugated(bs-3599R-Cy5)-100ul
¥2980
万千商家帮你免费找货
0 人在求购买到急需产品
- 详细信息
- 技术资料
- 应用范围:
产品信息以Bioss网站为准
- 规格:
25ul/50ul/100ul
| 规格: | 25ul | 产品价格: | ¥800.0 |
|---|---|---|---|
| 规格: | 50ul | 产品价格: | ¥1400.0 |
| 规格: | 100ul | 产品价格: | ¥2500.0 |
| 产品编号 | bsm-63236R |
| 英文名称 | Versican Recombinant Rabbit mAb |
| 中文名称 | 蛋白聚糖Versican重组兔单抗 |
| 英文别名 | CSPG2; ERVR; GHAP; PGM; VCAN; Versican; WGN1. |
| 产品应用 | WB=1:500-2000, IHC-P=1:50-200, IHC-F=1:50-200, IF=1:50-200 Not yet tested in other applications. |
| 交叉反应 | Human |
| 抗体来源 | Rabbit |
| 免疫原 | A synthesized peptide derived from human VCAN |
| 亚型 | IgG |
| 性状 | Liquid |
| 纯化方法 | affinity purified by Protein A |
| 克隆类型 | Recombinant |
| 理论分子量 | 373 kDa |
| 实际分子量 | 373kDa |
| 储存液 | 10mM phosphate buffered saline(pH 7.4) with 150mM sodium chloride, 0.05% BSA, 0.02% Proclin300 and 50% glycerol. |
| 研究领域 | Signal Transduction > Adapters > Transmembrane Signal Transduction > Cytoskeleton / ECM > Extracellular Matrix > ECM Proteins > Aggrecan |
| 亚基 | Interacts with FBLN1 (By similarity). |
| 亚细胞定位 | Secreted, extracellular space, extracellular matrix. |
| 组织特异性 | Cerebral white matter and plasma. Isoform V0 and isoform V1 are expressed in normal brain, gliomas, medulloblastomas, schwannomas, neurofibromas, and meningiomas. Isoform V2 is restricted to normal brain and gliomas. Isoform V3 is found in all these tissues except medulloblastomas. |
| 翻译后修饰 | Phosphorylation sites are present in the extracellular medium. |
| 相似性 | Belongs to the aggrecan/versican proteoglycan family. Contains 1 C-type lectin domain. Contains 2 EGF-like domains. Contains 1 Ig-like V-type (immunoglobulin-like) domain. Contains 2 Link domains. Contains 1 Sushi (CCP/SCR) domain. |
| 功能 | May play a role in intercellular signaling and in connecting cells with the extracellular matrix. May take part in the regulation of cell motility, growth and differentiation. Binds hyaluronic acid. |
| 保存条件 | Store at 4℃ for short term. Store at -20℃ for long term. Avoid repeated freeze/thaw cycles. |
| 注意事项 | This product as supplied is intended for research use only, not for use in human, therapeutic or diagnostic applications. |
| 背景资料 | May play a role in intercellular signaling and in connecting cells with the extracellular matrix. May take part in the regulation of cell motility, growth and differentiation. Binds hyaluronic acid. |
| 应用 | 推荐稀释比例 |
| {WB} | {1:500-2000} |
| {IHC-P} | {1:50-200} |
| {IHC-F} | {1:50-200} |
| {IF} | {1:50-200} |

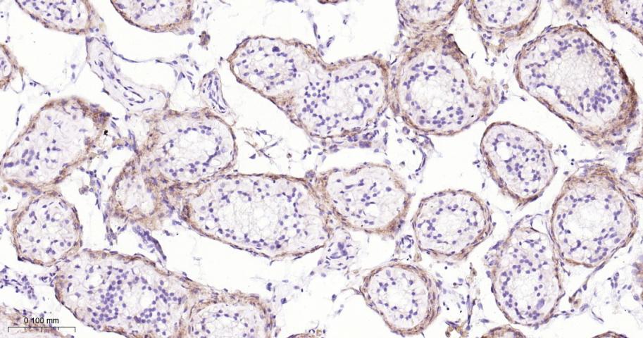
Paraformaldehyde-fixed, paraffin embedded Human Testicles; Antigen retrieval by boiling in sodium citrate buffer (pH6.0) for 15 min; Antibody incubation with Versican Monoclonal Antibody, Unconjugated(bsm-63236R) at 1:200 overnight at 4°C, followed by conjugation to the bs-0295G-HRP and DAB (C-0010) staining.
风险提示:丁香通仅作为第三方平台,为商家信息发布提供平台空间。用户咨询产品时请注意保护个人信息及财产安全,合理判断,谨慎选购商品,商家和用户对交易行为负责。对于医疗器械类产品,请先查证核实企业经营资质和医疗器械产品注册证情况。
技术资料暂无技术资料 索取技术资料
Versican Recombinant Rabbit mAb(bsm-63236R)-25ul/50ul/100ul
¥800 - 2500





