相关产品推荐更多 >

VAV3 Rabbit pAb, BF405 conjugated(bs-4286R-BF405)-100ul
¥2980
CHGA Rabbit pAb, PerCP-Cy5.5 conjugated(bs-43559R-PerCP-Cy5.5)-100ul
¥2980
BNIP1 Rabbit pAb, BF405 conjugated(bs-6681R-BF405)-100ul
¥2980
GPR30 Rabbit pAb, BF750 conjugated(bs-20643R-BF750)-100ul
¥2980
AIF1 Recombinant Rabbit mAb, AP conjugated(bsm-42057R-AP)-100ul
¥3200
万千商家帮你免费找货
0 人在求购买到急需产品
- 详细信息
- 技术资料
- 应用范围:
产品信息以Bioss网站为准
- 规格:
50ul/100ul/25ul
| 规格: | 50ul | 产品价格: | ¥1400.0 |
|---|---|---|---|
| 规格: | 100ul | 产品价格: | ¥2500.0 |
| 规格: | 25ul | 产品价格: | ¥800.0 |
| 产品编号 | bsm-62337R |
| 英文名称 | eIF3B Recombinant Rabbit mAb |
| 中文名称 | eIF3B蛋白重组兔单抗 |
| 英文别名 | eIF3b; EIF3S9; hPrt1; PRT1. |
| 产品应用 | WB=1:500-3000, ICC/IF=1:50-200, IP=1:20-50, Flow-Cyt=1:50-100, IHC-P=1:100-500, IHC-F=1:100-500, IF=1:100-500 Not yet tested in other applications. |
| 交叉反应 | Human, Mouse, Rat |
| 抗体来源 | Rabbit |
| 免疫原 | A synthesized peptide derived from human eIF3B |
| 亚型 | IgG |
| 性状 | Liquid |
| 纯化方法 | affinity purified by Protein A |
| 克隆类型 | Recombinant |
| 理论分子量 | 92 |
| 实际分子量 | 116 |
| 储存液 | 10mM phosphate buffered saline(pH 7.4) with 150mM sodium chloride, 0.05% BSA, 0.02% Proclin300 and 50% glycerol. |
| 研究领域 | Epigenetics and Nuclear Signaling > DNA / RNA > Translation > Regulation |
| 亚基 | Component of the eukaryotic translation initiation factor 3 (eIF-3) complex, which is composed of 13 subunits: EIF3A, EIF3B, EIF3C, EIF3D, EIF3E, EIF3F, EIF3G, EIF3H, EIF3I, EIF3J, EIF3K, EIF3L and EIF3M. The eIF-3 complex appears to include 3 stable modules: module A is composed of EIF3A, EIF3B, EIF3G and EIF3I; module B is composed of EIF3F, EIF3H, and EIF3M; and module C is composed of EIF3C, EIF3D, EIF3E, EIF3K and EIF3L. EIF3C of module C binds EIF3B of module A and EIF3H of module B, thereby linking the three modules. EIF3J is a labile subunit that binds to the eIF-3 complex via EIF3B. The eIF-3 complex interacts with RPS6KB1 under conditions of nutrient depletion. Mitogenic stimulation leads to binding and activation of a complex composed of MTOR and RPTOR, leading to phosphorylation and release of RPS6KB1 and binding of EIF4B to eIF-3. Also interacts with UPF2. |
| 亚细胞定位 | Cytoplasm. |
| 翻译后修饰 | Phosphorylated. Phosphorylation is enhanced upon serum stimulation. |
| 相似性 | Belongs to the eIF-3 subunit B family. _x000D_ Contains 1 RRM (RNA recognition motif) domain. _x000D_ Contains 5 WD repeats. |
| 功能 | Component of the eukaryotic translation initiation factor 3 (eIF-3) complex, which is required for several steps in the initiation of protein synthesis. The eIF-3 complex associates with the 40S ribosome and facilitates the recruitment of eIF-1, eIF-1A, eIF-2:GTP:methionyl-tRNAi and eIF-5 to form the 43S preinitiation complex (43S PIC). The eIF-3 complex stimulates mRNA recruitment to the 43S PIC and scanning of the mRNA for AUG recognition. The eIF-3 complex is also required for disassembly and recycling of post-termination ribosomal complexes and subsequently prevents premature joining of the 40S and 60S ribosomal subunits prior to initiation. |
| 保存条件 | Store at 4℃ for short term. Store at -20℃ for long term. Avoid repeated freeze/thaw cycles. |
| 注意事项 | This product as supplied is intended for research use only, not for use in human, therapeutic or diagnostic applications. |
| 背景资料 | Component of the eukaryotic translation initiation factor 3 (eIF-3) complex, which is required for several steps in the initiation of protein synthesis. |
| 应用 | 推荐稀释比例 |
| {WB} | {1:500-3000} |
| {ICC/IF} | {1:50-200} |
| {IP} | {1:20-50} |
| {Flow-Cyt} | {1:50-100} |
| {IHC-P} | {1:100-500} |
| {IHC-F} | {1:100-500} |
| {IF} | {1:100-500} |

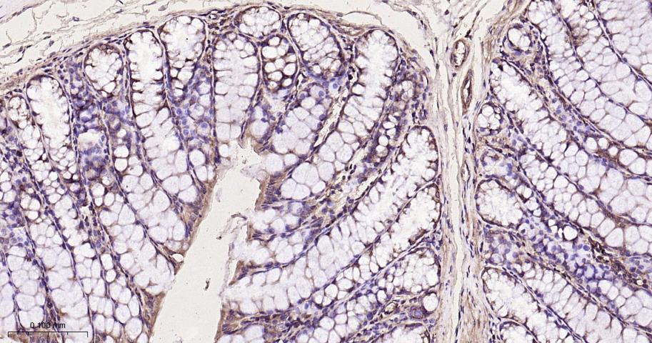
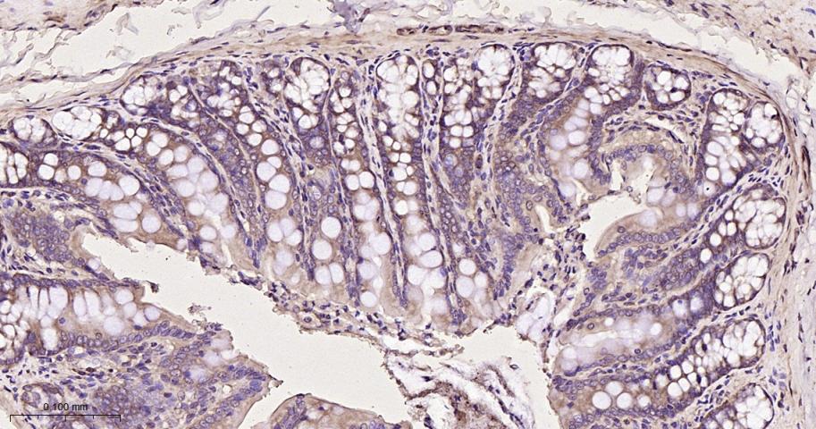
Paraformaldehyde-fixed, paraffin embedded Mouse Colon; Antigen retrieval by boiling in sodium citrate buffer (pH6.0) for 15 min; Antibody incubation with eIF3B Monoclonal Antibody, Unconjugated(bsm-62337R) at 1:200 overnight at 4°C, followed by conjugation to the bs-0295G-HRP and DAB (C-0010) staining.

Paraformaldehyde-fixed, paraffin embedded Rat Colon; Antigen retrieval by boiling in sodium citrate buffer (pH6.0) for 15 min; Antibody incubation with eIF3B Monoclonal Antibody, Unconjugated(bsm-62337R) at 1:200 overnight at 4°C, followed by conjugation to the bs-0295G-HRP and DAB (C-0010) staining.

Paraformaldehyde-fixed, paraffin embedded Human Colon; Antigen retrieval by boiling in sodium citrate buffer (pH6.0) for 15 min; Antibody incubation with eIF3B Monoclonal Antibody, Unconjugated(bsm-62337R) at 1:200 overnight at 4°C, followed by conjugation to the bs-0295G-HRP and DAB (C-0010) staining.

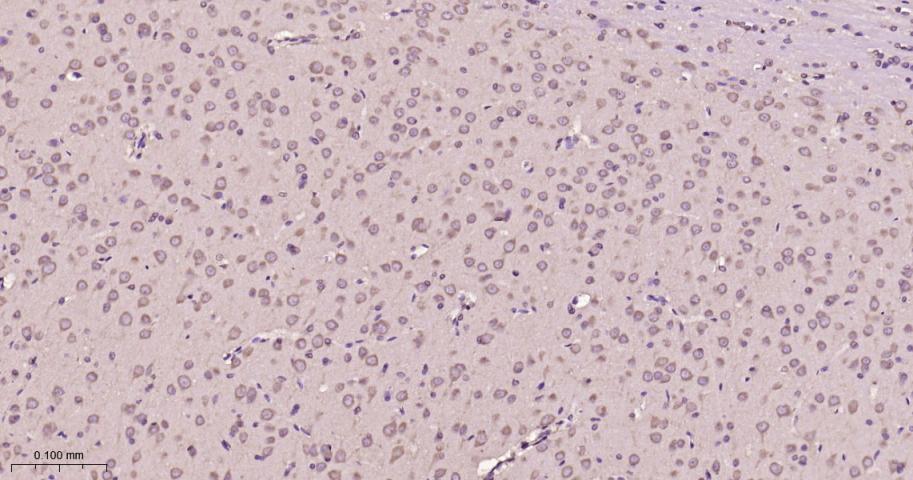
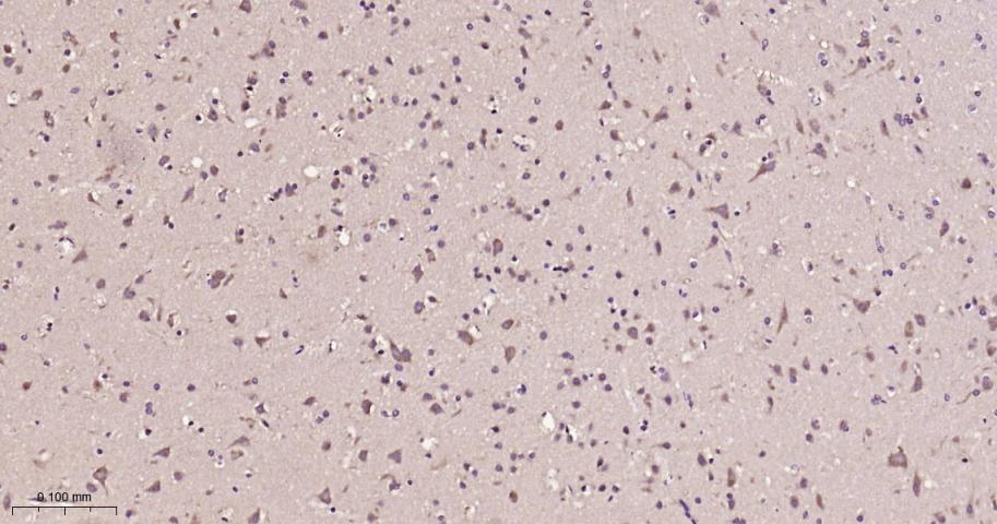
Paraformaldehyde-fixed, paraffin embedded Mouse Cerebrum; Antigen retrieval by boiling in sodium citrate buffer (pH6.0) for 15 min; Antibody incubation with eIF3B Monoclonal Antibody, Unconjugated(bsm-62337R) at 1:200 overnight at 4°C, followed by conjugation to the bs-0295G-HRP and DAB (C-0010) staining.

Paraformaldehyde-fixed, paraffin embedded Rat Cerebrum; Antigen retrieval by boiling in sodium citrate buffer (pH6.0) for 15 min; Antibody incubation with eIF3B Monoclonal Antibody, Unconjugated(bsm-62337R) at 1:200 overnight at 4°C, followed by conjugation to the bs-0295G-HRP and DAB (C-0010) staining.

Paraformaldehyde-fixed, paraffin embedded Human Cerebrum; Antigen retrieval by boiling in sodium citrate buffer (pH6.0) for 15 min; Antibody incubation with eIF3B Monoclonal Antibody, Unconjugated(bsm-62337R) at 1:200 overnight at 4°C, followed by conjugation to the bs-0295G-HRP and DAB (C-0010) staining.

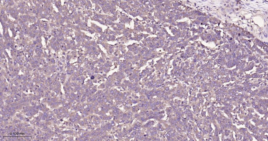
Paraformaldehyde-fixed, paraffin embedded Human Ovarian Cancer; Antigen retrieval by boiling in sodium citrate buffer (pH6.0) for 15 min; Antibody incubation with eIF3B Monoclonal Antibody, Unconjugated(bsm-62337R) at 1:200 overnight at 4°C, followed by conjugation to the bs-0295G-HRP and DAB (C-0010) staining.

25 ug total protein per lane of various lysates (see on figure) probed with eIF3B monoclonal antibody, unconjugated (bsm-62337R) at 1:3000 dilution and 4°C overnight incubation. Followed by conjugated secondary antibody incubation at r.t. for 60 min.
风险提示:丁香通仅作为第三方平台,为商家信息发布提供平台空间。用户咨询产品时请注意保护个人信息及财产安全,合理判断,谨慎选购商品,商家和用户对交易行为负责。对于医疗器械类产品,请先查证核实企业经营资质和医疗器械产品注册证情况。
技术资料暂无技术资料 索取技术资料
eIF3B Recombinant Rabbit mAb(bsm-62337R)-50ul/100ul/25ul
¥800 - 2500





