相关产品推荐更多 >

F-Actin Rabbit pAb, APC conjugated(bs-1571R-APC)-100ul
¥2980
PPAR gamma Rabbit pAb, BF680 conjugated(bs-0530R-BF680)-100ul
¥2980
TNFR1 Rabbit pAb, BF555 conjugated(bs-2941R-BF555)-100ul
¥2980
IFN gamma(F2E4) Mouse mAb, BF750 conjugated(bsm-0388M-BF750)-100ul
¥2980
CD41/ITGA2B Rabbit pAb, BF680 conjugated(bs-2636R-BF680)-100ul
¥2980
万千商家帮你免费找货
0 人在求购买到急需产品
- 详细信息
- 技术资料
- 应用范围:
产品信息以Bioss网站为准
- 规格:
50ul/100ul/25ul
| 规格: | 50ul | 产品价格: | ¥1400.0 |
|---|---|---|---|
| 规格: | 100ul | 产品价格: | ¥2500.0 |
| 规格: | 25ul | 产品价格: | ¥800.0 |
| 产品编号 | bsm-62230R |
| 英文名称 | RCC1 Recombinant Rabbit mAb |
| 中文名称 | 染色体浓缩调控蛋白1重组兔单抗 |
| 英文别名 | RCC1; RCC1-I; SNHG3-RCC1; CHC1. |
| 产品应用 | WB=1:500-2000, IHC-P=1:50-200, IHC-F=1:50-200, ICC/IF=1:50-200, IF=1:50-200, IP=1:20-50, Flow-Cyt=1:50-100 Not yet tested in other applications. |
| 交叉反应 | Human |
| 抗体来源 | Rabbit |
| 免疫原 | A synthesized peptide derived from human RCC1 |
| 亚型 | IgG |
| 性状 | Liquid |
| 纯化方法 | affinity purified by Protein A |
| 克隆类型 | Recombinant |
| 理论分子量 | 45 |
| 实际分子量 | 45 |
| 储存液 | 10mM phosphate buffered saline(pH 7.4) with 150mM sodium chloride, 0.05% BSA, 0.02% Proclin300 and 50% glycerol. |
| 研究领域 | Cell Biology > Cell Cycle > Cell Division > Other cell division antibodies Cell Biology > Cell Cycle > Cell Division > Spindle |
| 亚基 | Interacts with ARRB2; the interaction is detected in the nucleus upon OR1D2 stimulation. |
| 亚细胞定位 | Nucleus. Cytoplasm. Note=Becomes dispersed throughout the cytoplasm during mitosis. |
| 翻译后修饰 | -terminal methylation by METTL11A/NTM1 is required for binding double-stranded DNA and stable chromatin association. Di-and trimethylation produce a permanent positive charge on the amino group, which facilitate electrostatic binding to the phosphate groups on DNA, while inhibiting histone-binding. Methylated tail helps retain RCC1 on chromosomes during nucleotide exchange on Ran. |
| 相似性 | Contains 7 RCC1 repeats. |
| 功能 | Guanine-nucleotide releasing factor that promotes the exchange of Ran-bound GDP by GTP. Involved in the regulation of onset of chromosome condensation in the S phase. Binds both to the nucleosomes and double-stranded DNA. RCC1-Ran complex (together with other proteins) acts as a component of a signal transmission pathway that detects unreplicated DNA. Plays a key role in nucleo-cytoplasmic transport, mitosis and nuclear-envelope assembly. |
| 保存条件 | Store at 4℃ for short term. Store at -20℃ for long term. Avoid repeated freeze/thaw cycles. |
| 注意事项 | This product as supplied is intended for research use only, not for use in human, therapeutic or diagnostic applications. |
| 背景资料 | Guanine-nucleotide releasing factor that promotes the exchange of Ran-bound GDP by GTP, and thereby plays an important role in RAN-mediated functions in nuclear import and mitosis. |
| 应用 | 推荐稀释比例 |
| {WB} | {1:500-2000} |
| {IHC-P} | {1:50-200} |
| {IHC-F} | {1:50-200} |
| {ICC/IF} | {1:50-200} |
| {IF} | {1:50-200} |
| {IP} | {1:20-50} |
| {Flow-Cyt} | {1:50-100} |

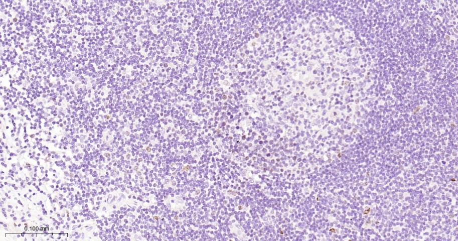
Paraformaldehyde-fixed, paraffin embedded Human Tonsil; Antigen retrieval by boiling in sodium citrate buffer (pH6.0) for 15 min; Antibody incubation with RCC1 Monoclonal Antibody, Unconjugated(bsm-62230R) at 1:200 overnight at 4°C, followed by conjugation to the bs-0295G-HRP and DAB (C-0010) staining.

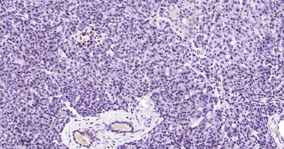
Paraformaldehyde-fixed, paraffin embedded Human Pancreas; Antigen retrieval by boiling in sodium citrate buffer (pH6.0) for 15 min; Antibody incubation with RCC1 Monoclonal Antibody, Unconjugated(bsm-62230R) at 1:200 overnight at 4°C, followed by conjugation to the bs-0295G-HRP and DAB (C-0010) staining.

25 ug total protein per lane of various lysates (see on figure) probed with RCC1 monoclonal antibody, unconjugated (bsm-62230R) at 1:1000 dilution and 4°C overnight incubation. Followed by conjugated secondary antibody incubation at r.t. for 60 min.

The Raji (H) cells were fixed with 4% PFA (10 min at r.t.) and then permeabilized with 90% ice-cold methanol for 20 min at -20℃,the cells then were incubated in 5%BSA to block non-specific protein-protein interactions (30 min at r.t.),followed by secondary antibody incubation for 40 min at room temperature. Primary Antibody (green):Rabbit Anti-RCC1 antibody (bsm-62230R,1:100); Isotype Control (orange): Rabbit IgG (bs-0295P). Blank control (black): PBS. Acquisition of 20,000 events was performed.
风险提示:丁香通仅作为第三方平台,为商家信息发布提供平台空间。用户咨询产品时请注意保护个人信息及财产安全,合理判断,谨慎选购商品,商家和用户对交易行为负责。对于医疗器械类产品,请先查证核实企业经营资质和医疗器械产品注册证情况。
技术资料暂无技术资料 索取技术资料
RCC1 Recombinant Rabbit mAb(bsm-62230R)-50ul/100ul/25ul
¥800 - 2500





