相关产品推荐更多 >
万千商家帮你免费找货
0 人在求购买到急需产品
- 详细信息
- 文献和实验
- 技术资料
- 免疫原:
This antibody is produced by immunizing rabbits with a synthetic peptide (KLH-coupled) corresponding to C-terminal residues of human CD31.
- 形态:
liquid
- 保存条件:
Store at -20˚C
- 克隆性:
Polyclonal
- 适应物种:
Human;Mouse
- 保质期:
12 months
- 抗原来源:
Rabbit
- 供应商:
南京赛戈巍生物科技有限公司
- 宿主:
Rabbit
- 应用范围:
WB, ICC, IHC, FC
- 靶点:
Uniprot:P16284
- 抗体英文名:
CD31 Antibody
- 规格:
50ul/100ul
CD31 antibody
CD31 antigen antibody
CD31 EndoCAM antibody
EndoCAM antibody
FLJ34100 antibody
FLJ58394 antibody
GPIIA antibody
GPIIA' antibody
PECA1 antibody
PECA1_HUMAN antibody
Pecam 1 antibody
PECAM 1 CD31 EndoCAM antibody
PECAM antibody
PECAM-1 antibody
Pecam1 antibody
Platelet and endothelial cell adhesion molecule 1 antibody
Platelet endothelial cell adhesion molecule antibody
Platelet/endothelial cell adhesion molecule 1 antibody
计算分子量:82 kDa (Observed: 130 kDa)
配方:1*TBS (pH7.4), 1%BSA, 40%Glycerol. Preservative: 0.05% Sodium Azide.
应用详情:WB: 1:1,000
IHC: 1:200
ICC: 1:200
FC: 1:100-1:200
图片:

Western blot analysis of CD31 on different cell lysates using anti-CD31 antibody at 1/1000 dilution.
,

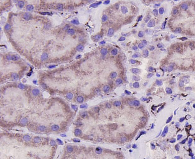
Immunohistochemical analysis of paraffin-embedded human kidney tissue using anti-CD31 antibody. Counter stained with hematoxylin.
,

ICC staining CD31 in Hela cells (green). Cells were fixed in paraformaldehyde, permeabilised with 0.25% Triton X100/PBS.
,

ICC staining CD31 in HUVEC cells (green). Cells were fixed in paraformaldehyde, permeabilised with 0.25% Triton X100/PBS.
,

ICC staining CD31 in NIH/3T3 cells (green). Cells were fixed in paraformaldehyde, permeabilised with 0.25% Triton X100/PBS.
,

ICC staining CD31 in SW480 cells (green). Cells were fixed in paraformaldehyde, permeabilised with 0.25% Triton X100/PBS.
,

Flow cytometric analysis of Jurkat cells with CD31 antibody at 1/100 dilution (blue) compared with an unlabelled control (cells without incubation with primary antibody; red). Goat anti rabbit IgG (FITC) was used as the secondary antibody.
风险提示:丁香通仅作为第三方平台,为商家信息发布提供平台空间。用户咨询产品时请注意保护个人信息及财产安全,合理判断,谨慎选购商品,商家和用户对交易行为负责。对于医疗器械类产品,请先查证核实企业经营资质和医疗器械产品注册证情况。
文献和实验CD31 分子 CD31 常用单克隆抗体或代号: SG134,TM3,HEC- 75;(PECAM、EndoCAM) 主要表达细胞: Pt,M,G,B,NK,Tsub [AS] 分子质量(kDa)和结构: gp140,血小板GPⅡa(IgSF) 功 能: 嗜同性或嗜异性(与CD38互为受体)粘附,炎症,En功能 CD31 Aka
Generation of Antibody Molecules Through Antibody Engineering
been overcome to a large extent using genetic-engineering techniques to produce chimeric mouse/human and completely human antibodies. Such an approach is particularly suitable because of the domain structure of the antibody molecule ( 2 ), where functional
有好几个同仁发消息问CD31染色,刚工作比较忙,今天分享一下我做的是免疫荧光,也试做过免疫组化,都可以做出来抗体:小鼠抗CD31单克隆抗体 英国Abcam公司(CD31抗体说明书里面有说多聚甲醛会掩盖抗体,所以推荐速冻切片,也尝试过速冻切片,不使用多聚甲醛,但是这个技术个人掌握不好,所以还是用了多聚甲醛固定)二抗: 山羊抗小鼠488单克隆抗体 美国CST公司 特别说明:我是从同学那里得到的经验,可能绿光稍微好做些,之前做红光
技术资料暂无技术资料 索取技术资料






![CD16 Polyclonal Antibody PE-Cy7 Conjugated[C92420PE-Cy7]](https://img1.dxycdn.com/p/s14/2025/0922/498/0460884283108299691.jpg!wh200)
![CSH1 Conjugated Antibody[C38328]](https://img1.dxycdn.com/p/s14/2025/0923/278/4431488150116040791.jpg!wh200)

