相关产品推荐更多 >
万千商家帮你免费找货
0 人在求购买到急需产品
- 详细信息
- 技术资料
- 免疫原:
peptide
- 形态:
liquid
- 保存条件:
Store at -20˚C
- 克隆性:
Polyclonal
- 适应物种:
Human;Mouse;Rat
- 保质期:
12 months
- 抗原来源:
Rabbit
- 供应商:
南京赛戈巍生物科技有限公司
- 宿主:
Rabbit
- 应用范围:
WB, IHC
- 靶点:
Uniprot:Q9NYK1
- 抗体英文名:
TLR7 Antibody
- 规格:
50ul/100ul
TLR 7 antibody
Tlr7 antibody
TLR7_HUMAN antibody
Toll like receptor 7 antibody
Toll-like receptor 7 antibody
UNQ248 antibody
计算分子量:140 kDa
配方:1*TBS (pH7.4), 1%BSA, 40%Glycerol. Preservative: 0.05% Sodium Azide.
应用详情:WB: 1:1,000
IHC: 1:200
图片:
![TLR7 Antibody[48561]](https://img1.dxycdn.com/p/s14/2025/0923/892/4076379296574140791.jpg)
Western blot analysis of TLR7 on different cell lysates using anti-TLR7 antibody at 1/1000 dilution. Positive control:
Lane 1: Raji
Lane 2: Daudi
Lane 3: Jurkat
Lane 4: THP-1
,
![TLR7 Antibody[48561]](https://img1.dxycdn.com/p/s14/2025/0923/813/6142986527574140791.jpg)
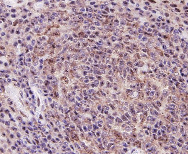
Immunohistochemical analysis of paraffin-embedded human tonsil tissue using anti-TLR7 antibody. Counter stained with hematoxylin.
,
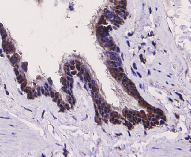
![TLR7 Antibody[48561]](https://img1.dxycdn.com/p/s14/2025/0923/419/6547458517574140791.jpg)
Immunohistochemical analysis of paraffin-embedded human lung tissue using anti-TLR7 antibody. Counter stained with hematoxylin.
,
![TLR7 Antibody[48561]](https://img1.dxycdn.com/p/s14/2025/0923/785/8028533007574140791.jpg)
Immunohistochemical analysis of paraffin-embedded mouse lung tissue using anti-TLR7 antibody. Counter stained with hematoxylin.
风险提示:丁香通仅作为第三方平台,为商家信息发布提供平台空间。用户咨询产品时请注意保护个人信息及财产安全,合理判断,谨慎选购商品,商家和用户对交易行为负责。对于医疗器械类产品,请先查证核实企业经营资质和医疗器械产品注册证情况。
技术资料暂无技术资料 索取技术资料


![TLR7 Antibody[48561]](https://img1.dxycdn.com/p/s14/2025/0923/496/0462304380155040791.jpg)


![TPL2 (phospho-Thr290) Conjugated Antibody[C13304]](https://img1.dxycdn.com/p/s14/2025/0923/278/4431488150116040791.jpg!wh200)
![Thioredoxin Rabbit mAb[52051]](https://img1.dxycdn.com/p/s14/2025/0922/498/0460884283108299691.jpg!wh200)
![Beclin 1 Antibody[48222]](https://img1.dxycdn.com/p/s14/2025/0923/496/0462304380155040791.jpg!wh200)
![SLC5A10 Antibody[43636]](https://img1.dxycdn.com/p/s14/2025/0922/568/0046652811090600791.jpg!wh200)
![ASF1A antibody[38981]](https://img1.dxycdn.com/p/s14/2025/0922/359/6146153295428599691.jpg!wh200)
