相关产品推荐更多 >
万千商家帮你免费找货
0 人在求购买到急需产品
- 详细信息
- 技术资料
- 免疫原:
This antibody is produced by immunizing rabbits with a synthetic peptide (KLH-coupled) corresponding to residues in the nuclear factor NF-κB p50 subunit.
- 形态:
liquid
- 保存条件:
Store at -20˚C
- 克隆性:
Polyclonal
- 适应物种:
Human;Mouse
- 保质期:
12 months
- 抗原来源:
Rabbit
- 供应商:
南京赛戈巍生物科技有限公司
- 宿主:
Rabbit
- 应用范围:
WB, ICC, IHC
- 靶点:
Uniprot:P19838
- 抗体英文名:
NF-κB p105/p50 Antibody
- 规格:
50ul/100ul
DNA binding factor KBF1 antibody
DNA binding factor KBF1 EBP1 antibody
DNA-binding factor KBF1 antibody
EBP 1 antibody
EBP-1 antibody
EBP1 antibody
KBF1 antibody
MGC54151 antibody
NF kappa B antibody
NF kappaB antibody
NF kappabeta antibody
NF kB1 antibody
NFkappaB antibody
NFKB 1 antibody
NFKB p105 antibody
NFKB p50 antibody
Nfkb1 antibody
NFKB1_HUMAN antibody
Nuclear factor kappa B DNA binding subunit antibody
Nuclear factor kappa-B, subunit 1 antibody
Nuclear factor NF kappa B p105 subunit antibody
Nuclear factor NF kappa B p50 subunit antibody
Nuclear factor NF-kappa-B p50 subunit antibody
Nuclear factor of kappa light chain gene enhancer in B cells 1 antibody
Nuclear factor of kappa light polypeptide gene enhancer in B cells 1 antibody
Nuclear factor of kappa light polypeptide gene enhancer in B-cells 1 antibody
p105 antibody
p50 antibody
p84/NF-kappa-B1 p98 antibody
Transcription factor NFKB2 antibody
计算分子量:~50/105kDa
配方:1*TBS (pH7.4), 1%BSA, 40%Glycerol. Preservative: 0.05% Sodium Azide.
应用详情:WB: 1:500-1:1,000
IHC: 1:200
ICC: 1:200-1:500
图片:
![NF-κB p105/p50 Antibody[48171]](https://img1.dxycdn.com/p/s14/2025/0923/922/4646807148123140791.jpg)
Western blot analysis on Hela (1), HepG2 (2) and Raji (3) cell lysates using anti-NF-κB p105/p50 rabbit polyclonal antibodies.
,
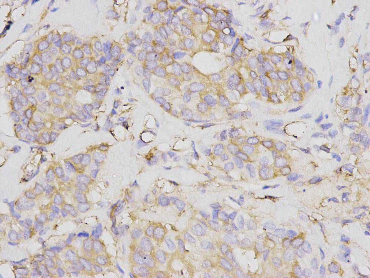
![NF-κB p105/p50 Antibody[48171]](https://img1.dxycdn.com/p/s14/2025/0923/565/4838847588123140791.jpg)
Immunohistochemical analysis of paraffin-embedded human breast carcinoma tissue using anti-NF-κB p105/p50 rabbit polyclonal antibody.
,
![NF-κB p105/p50 Antibody[48171]](https://img1.dxycdn.com/p/s14/2025/0923/017/6925941287123140791.jpg)
Immunofluorescent staining of Hela cells using anti-NF-κB p105/p50 rabbit polyclonal antibody.
风险提示:丁香通仅作为第三方平台,为商家信息发布提供平台空间。用户咨询产品时请注意保护个人信息及财产安全,合理判断,谨慎选购商品,商家和用户对交易行为负责。对于医疗器械类产品,请先查证核实企业经营资质和医疗器械产品注册证情况。
技术资料暂无技术资料 索取技术资料


![NF-κB p105/p50 Antibody[48171]](https://img1.dxycdn.com/p/s14/2025/0923/496/0462304380155040791.jpg)


![FANCA Conjugated Antibody[C56588]](https://img1.dxycdn.com/p/s14/2025/0922/632/2321321568067599691.jpg!wh200)
![CD2 Monoclonal Antibody(3F3)[44037]](https://img1.dxycdn.com/p/s14/2025/0922/568/0046652811090600791.jpg!wh200)
![PDGFR α Conjugated Antibody[C33470]](https://img1.dxycdn.com/p/s14/2025/0923/278/4431488150116040791.jpg!wh200)
![Cytochrome P450 2E1 Antibody[34238]](https://img1.dxycdn.com/p/s14/2025/0922/359/6146153295428599691.jpg!wh200)
