相关产品推荐更多 >
万千商家帮你免费找货
0 人在求购买到急需产品
- 详细信息
- 文献和实验
- 技术资料
- 免疫原:
Synthetic Peptide
- 形态:
liquid
- 保存条件:
Store at -20˚C
- 克隆性:
Monoclonal
- 适应物种:
Human;Mouse;Rat
- 保质期:
12 months
- 抗原来源:
Mouse
- 供应商:
南京赛戈巍生物科技有限公司
- 宿主:
Mouse
- 应用范围:
IHC
- 靶点:
Uniprot:P06729
- 抗体英文名:
CD2 Monoclonal Antibody(3F3)
- 规格:
50ul/100ul
配方:Liquid in PBS containing 50% glycerol, 0.5% BSA and 0.02% sodium azide.
应用详情:
Immunohistochemistry: 1:50-1:200
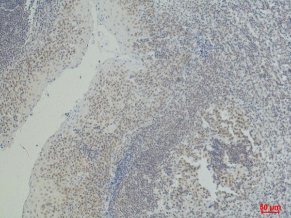
图片:

Immunohistochemical analysis of paraffin-embedded Human Tonsil Caricnoma using CD2 Mouse mAb diluted at 1:500.
风险提示:丁香通仅作为第三方平台,为商家信息发布提供平台空间。用户咨询产品时请注意保护个人信息及财产安全,合理判断,谨慎选购商品,商家和用户对交易行为负责。对于医疗器械类产品,请先查证核实企业经营资质和医疗器械产品注册证情况。
文献和实验Method for Purification of Human Hematopoietic Stem Cells by Flow Cytometry
Human hematopoietic stem cells (HSCs) and progenitors can be isolated by enriching for a rare cell population with a combination of monoclonal antibodies (MAbs). Such an isolation scheme involves multi-step procedures including
MATERIALS T-cell: CD2 IgG2b, 01171D B-cell: B220 (CD45R) IgG2a, 01121A CD3 IgG2b, 28001D Monocytic: Mac1 (CD11b) IgG2b, 01711A CD5 IgG2a, 01031
(杨希峰),Yang CY(杨春瑛) et al. Generation and characterization of monoclonal antibody against HIT3a (抗CD3单克隆抗体HIT3a的制备和特异性鉴定), Acta Academiae Medicinae Sinicae (中国医学科学院学报),1993, 15:157-162.[6] Xiong D S(熊冬生),Yang C Z(杨纯正),Shao X F(邵晓枫)et al. Generation
技术资料暂无技术资料 索取技术资料





![SSTR2 Mouse mAb[64278]](https://img1.dxycdn.com/p/s14/2025/0922/632/2321321568067599691.jpg!wh200)
![PIK3R3 Antibody[37373]](https://img1.dxycdn.com/p/s14/2025/0922/359/6146153295428599691.jpg!wh200)
![Bmx (phospho-Tyr40) Polyclonal Antibody[14040]](https://img1.dxycdn.com/p/s14/2025/0922/498/0460884283108299691.jpg!wh200)

![TSPYL1 Antibody[43171]](https://img1.dxycdn.com/p/s14/2025/0922/568/0046652811090600791.jpg!wh200)
