相关产品推荐更多 >
万千商家帮你免费找货
0 人在求购买到急需产品
- 详细信息
- 文献和实验
- 技术资料
- 免疫原:
This antibody is produced by immunizing mice with a synthetic peptide (KLH-coupled) corresponding to NF-κB p105/p50.
- 形态:
liquid
- 保存条件:
Store at -20˚C
- 克隆性:
Monoclonal
- 适应物种:
Human;Mouse
- 保质期:
12 months
- 抗原来源:
Mouse
- 供应商:
南京赛戈巍生物科技有限公司
- 宿主:
Mouse
- 应用范围:
WB, ICC, IHC
- 靶点:
Uniprot:P19838
- 抗体英文名:
NF-κB p105/p50 Antibody
- 规格:
50ul/100ul
DNA binding factor KBF1 antibody
DNA binding factor KBF1 EBP1 antibody
DNA-binding factor KBF1 antibody
EBP 1 antibody
EBP-1 antibody
EBP1 antibody
KBF1 antibody
MGC54151 antibody
NF kappa B antibody
NF kappaB antibody
NF kappabeta antibody
NF kB1 antibody
NFkappaB antibody
NFKB 1 antibody
NFKB p105 antibody
NFKB p50 antibody
Nfkb1 antibody
NFKB1_HUMAN antibody
Nuclear factor kappa B DNA binding subunit antibody
Nuclear factor kappa-B, subunit 1 antibody
Nuclear factor NF kappa B p105 subunit antibody
Nuclear factor NF kappa B p50 subunit antibody
Nuclear factor NF-kappa-B p50 subunit antibody
Nuclear factor of kappa light chain gene enhancer in B cells 1 antibody
Nuclear factor of kappa light polypeptide gene enhancer in B cells 1 antibody
Nuclear factor of kappa light polypeptide gene enhancer in B-cells 1 antibody
p105 antibody
p50 antibody
p84/NF-kappa-B1 p98 antibody
Transcription factor NFKB1 antibody
计算分子量:50kDa
配方:1*TBS (pH7.4), 1%BSA, 40%Glycerol. Preservative: 0.05% Sodium Azide.
应用详情:WB: 1:1,000-1:2,000
IHC: 1:200-1:500
ICC: 1:200
图片:

Western blot analysis of NF-κB p105/p50 on MCF-7 cell lysates.
,

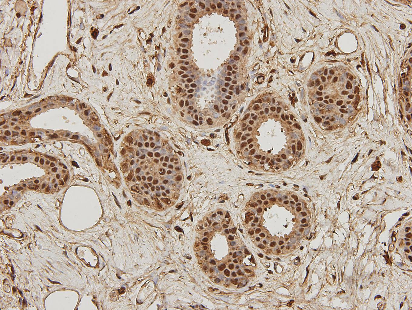
Immunohistochemical analysis of paraffin-embedded human breast carcinoma tissue using anti-NF-κB p105/p50 antibody. Counter stained with hematoxylin.
,

ICC staining NF-κB p105/p50 in HepG2 cells (red). Cells were fixed in paraformaldehyde, permeabilised with 0.25% Triton X100/PBS.
风险提示:丁香通仅作为第三方平台,为商家信息发布提供平台空间。用户咨询产品时请注意保护个人信息及财产安全,合理判断,谨慎选购商品,商家和用户对交易行为负责。对于医疗器械类产品,请先查证核实企业经营资质和医疗器械产品注册证情况。
文献和实验【进展|热点】Nature Immunology:发现三个调控NF-kB非经典信号通路的microRNA
://www.nature.com/ni/journal/v11/n9/abs/ni.1918.html 内容简介: NF-κB是一组重要的转录因子,参与了诸多免疫反应过程,其中最为人熟知的就是在天然免疫中,NF-κB是最终启动炎症因子表达的因素之一。 NF-κB家族包括5个成员,即RelA(p65)、RelB、c-Rel、p105-p50(NF-κB1)和p100-p52(NF-κB2),两两形成同源或者异源二聚体的形式发挥作用。通常情况下,NF-κB与其抑制蛋白IκB(包括IκBα、IκBβ
激活-核转运检测试剂盒仅染色p65,不染色RelB、C-Rel、p50和p52。使用本试剂盒染色后NF-κB呈红色荧光,细胞核呈蓝色荧光.思考信号转导和检测的理论 我做了这样的回答(个人意见.大家可以讨论!): 这种理论上来讲可行,但是实际操作可能拿不到你想要得结果,原因很简单,凭染色来判断是很难区分程度上的差异的,就比如做WB实验,经典的还是化学发光的方法,显色的方法只能得到信号比较强的蛋白,遇到信号比较弱的蛋白就误差很大了, 第二点,并不是所有能进核的蛋白都有结合DNA
-AT主要参与T细胞的活化。上面已经提到,胞质中无活性状态的NF-AT以磷酸化的形式存在,称为NF-ATp,钙调磷酸酶作用后使其脱磷酸化而被激活并发生转位。而钙调磷酸酶能发挥作用,是信号转导的结果。 2.NF-κB NF含义同上。κB指B细胞x链,由两个亚单位p50和p65组成,其发现和定名是因为参与B细胞活化。现知它是一种分布广泛和十分重要的转录因子。通常,NF-κB在胞质中和抑制因子LxB以复合物的形式存在。PKC可使I-κB发生磷酸化造成该复合物解离,从而解除了I-κB对NF-κB
技术资料暂无技术资料 索取技术资料





![Aggrecan Conjugated Antibody[C49565]](https://img1.dxycdn.com/p/s14/2025/0923/305/2150219664296040791.jpg!wh200)
![ABCF3 Rabbit Polyclonal Antibody[53996]](https://img1.dxycdn.com/p/s14/2025/0922/498/0460884283108299691.jpg!wh200)
![CSF2 Antibody[35758]](https://img1.dxycdn.com/p/s14/2025/0922/359/6146153295428599691.jpg!wh200)

