相关产品推荐更多 >
万千商家帮你免费找货
0 人在求购买到急需产品
- 详细信息
- 文献和实验
- 技术资料
- 免疫原:
Fusion protein of human DDX42
- 形态:
liquid
- 保存条件:
Store at -20˚C
- 克隆性:
Polyclonal
- 适应物种:
Human
- 保质期:
12 months
- 抗原来源:
Rabbit
- 供应商:
南京赛戈巍生物科技有限公司
- 宿主:
Rabbit
- 应用范围:
IHC
- 靶点:
Uniprot:Q86XP3
- 抗体英文名:
DDX42 Antibody
- 规格:
50ul/100ul
配方:Rabbit IgG in pH7.4 PBS, 0.05% NaN3, 40% Glycerol.
应用详情:
Immunofluorescence:1: 20-100
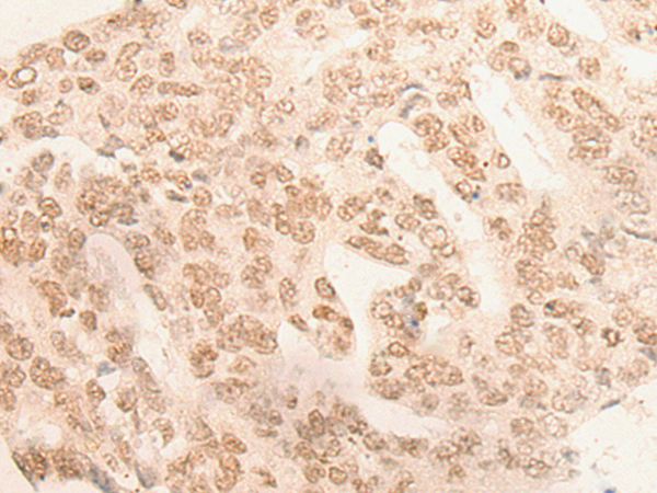
图片:

The image is immunohistochemistry of paraffin-embedded Human colorectal cancer tissue using 47040(DDX42 Antibody) at dilution 1/20. (Original magnification: ?00)
风险提示:丁香通仅作为第三方平台,为商家信息发布提供平台空间。用户咨询产品时请注意保护个人信息及财产安全,合理判断,谨慎选购商品,商家和用户对交易行为负责。对于医疗器械类产品,请先查证核实企业经营资质和医疗器械产品注册证情况。
文献和实验Generation of Antibody Molecules Through Antibody Engineering
been overcome to a large extent using genetic-engineering techniques to produce chimeric mouse/human and completely human antibodies. Such an approach is particularly suitable because of the domain structure of the antibody molecule ( 2 ), where functional
施一公团队又出新作!进一步解析人类 U2 snRNP 组装过程,提供癌症突变机制新见解
,并且人们对此知之甚少。17S U2 被认为是直接参与早期剪接体组装的人类 U2 snRNP 的功能形式。17S U2 snRNP 的核心成分包括 SF3b 配合物、SF3a 配合物、12S U2 核心、剪接因子 TAT-SF1 和 DDX46。体外实验也表明,SF3b 与 12S U2 核依次组装,形成一种被称为 15S 粒子的中间产物,最终形成 SF3a 复合物。然而,对组装这一过程的蛋白质因子却知之甚少。 最新的研究表明,具有 RNA 伴侣活性的 DDX42 可能是在 U2 snRNP 组装
The importance of antibody molecules was first recognized in the 1890s, when it was shown that immunity to tetanus and diphtheria was caused by antibodies against the bacterial exotoxins (1 ). Around the same time, it was shown that antisera
技术资料暂无技术资料 索取技术资料





![MyoD1 Conjugated Antibody[C49504]](https://img1.dxycdn.com/p/s14/2025/0923/305/2150219664296040791.jpg!wh200)

![C18orf8 Rabbit Polyclonal Antibody[54104]](https://img1.dxycdn.com/p/s14/2025/0922/498/0460884283108299691.jpg!wh200)
