相关产品推荐更多 >
万千商家帮你免费找货
0 人在求购买到急需产品
- 详细信息
- 技术资料
- 免疫原:
Synthetic peptide of human PSMB8
- 形态:
liquid
- 保存条件:
Store at -20˚C
- 克隆性:
Polyclonal
- 适应物种:
Human
- 保质期:
12 months
- 抗原来源:
Rabbit
- 供应商:
南京赛戈巍生物科技有限公司
- 宿主:
Rabbit
- 应用范围:
WB IHC
- 靶点:
Uniprot:P28062
- 抗体英文名:
PSMB8 Antibody
- 规格:
50ul/100ul
别名:JMP; ALDD; LMP7; NKJO; D6S216; PSMB5i; RING10; D6S216E
计算分子量:30kd
配方:Rabbit IgG in pH7.4 PBS, 0.05% NaN3, 40% Glycerol.
应用详情:Western blotting: 1:500-1:2000
Immunohistochemistry: 1:25-1:100
图片:
计算分子量:30kd
配方:Rabbit IgG in pH7.4 PBS, 0.05% NaN3, 40% Glycerol.
应用详情:Western blotting: 1:500-1:2000
Immunohistochemistry: 1:25-1:100
图片:
![PSMB8 Antibody[43134]](https://img1.dxycdn.com/p/s14/2025/0922/216/2722896997329600791.jpg)
Gel: 8%SDS-PAGE
Lysate: 40 μg
Lane 1-6: Hela cells, Raji cells, Jurkat cells, Human placenta tissue, A431 cells, 231 cells,
Primary antibody: 1/350 dilution
Secondary antibody: Goat anti rabbit IgG at 1/8000 dilution
Exposure time: 10 seconds
,
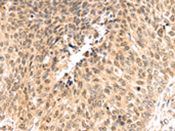
![PSMB8 Antibody[43134]](https://img1.dxycdn.com/p/s14/2025/0922/294/4435265809329600791.jpg)
Immunohistochemical analysis of paraffin-embedded Human lung cancer tissue using #43134 at dilution 1/30.
,
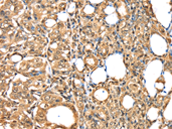
![PSMB8 Antibody[43134]](https://img1.dxycdn.com/p/s14/2025/0922/717/2728555409329600791.jpg)
Immunohistochemical analysis of paraffin-embedded Human thyroid cancer tissue using #43134 at dilution 1/30.
风险提示:丁香通仅作为第三方平台,为商家信息发布提供平台空间。用户咨询产品时请注意保护个人信息及财产安全,合理判断,谨慎选购商品,商家和用户对交易行为负责。对于医疗器械类产品,请先查证核实企业经营资质和医疗器械产品注册证情况。
技术资料暂无技术资料 索取技术资料
PSMB8 Antibody[43134]
询价


![PSMB8 Antibody[43134]](https://img1.dxycdn.com/p/s14/2025/0922/568/0046652811090600791.jpg)


![C1QA Conjugated Antibody[C57138]](https://img1.dxycdn.com/p/s14/2025/0922/632/2321321568067599691.jpg!wh200)
![Transferrin Monoclonal Antibody(7H11)[44123]](https://img1.dxycdn.com/p/s14/2025/0922/568/0046652811090600791.jpg!wh200)
![KIAA1324 Conjugated Antibody[C36440]](https://img1.dxycdn.com/p/s14/2025/0923/278/4431488150116040791.jpg!wh200)
![CLIP4 Antibody[34531]](https://img1.dxycdn.com/p/s14/2025/0922/359/6146153295428599691.jpg!wh200)
![HDAC2 Rabbit mAb[52328]](https://img1.dxycdn.com/p/s14/2025/0922/498/0460884283108299691.jpg!wh200)
