相关产品推荐更多 >
万千商家帮你免费找货
0 人在求购买到急需产品
- 详细信息
- 技术资料
- 免疫原:
Recombinant protein of human HDAC2
- 形态:
liquid
- 保存条件:
Store at -20˚C
- 克隆性:
Monoclonal antibody
- 适应物种:
Human;Mouse;Rat
- 保质期:
12 months
- 抗原来源:
Recombinant Rabbit
- 供应商:
南京赛戈巍生物科技有限公司
- 宿主:
Recombinant Rabbit
- 应用范围:
WB IHC IF
- 靶点:
Uniprot:Q92769
- 抗体英文名:
HDAC2 Rabbit mAb
- 规格:
50ul/100ul
别名:HD2; RPD3; YAF1
计算分子量:Calculated MW: 55 kDa; Observed MW: 60 kDa
配方:50nM Tris-Glycine(pH 7.4), 0.15M NaCl, 40% Glycerol, 0.01% Sodium azide and 0.05% BSA
应用详情:WB: 1/1000; IHC: 1/500; ICC/IF: 1/200;
图片:
计算分子量:Calculated MW: 55 kDa; Observed MW: 60 kDa
配方:50nM Tris-Glycine(pH 7.4), 0.15M NaCl, 40% Glycerol, 0.01% Sodium azide and 0.05% BSA
应用详情:WB: 1/1000; IHC: 1/500; ICC/IF: 1/200;
图片:
![HDAC2 Rabbit mAb[52328]](https://img1.dxycdn.com/p/s14/2025/0922/938/0468651525938399691.jpg)
Western blot detection of HDAC2 in K562,C6,3T3 cell lysates using HDAC2 Rabbit mAb(1:1000 diluted).Predicted band size:55kDa.Observed band size:60kDa.
,
![HDAC2 Rabbit mAb[52328]](https://img1.dxycdn.com/p/s14/2025/0922/631/4496285399048399691.jpg)
Immunofluorescence of HDAC2(green) in Hela cells using HDAC2 Rabbit mAb at dilution 1/200, and DAPI(blue)
,
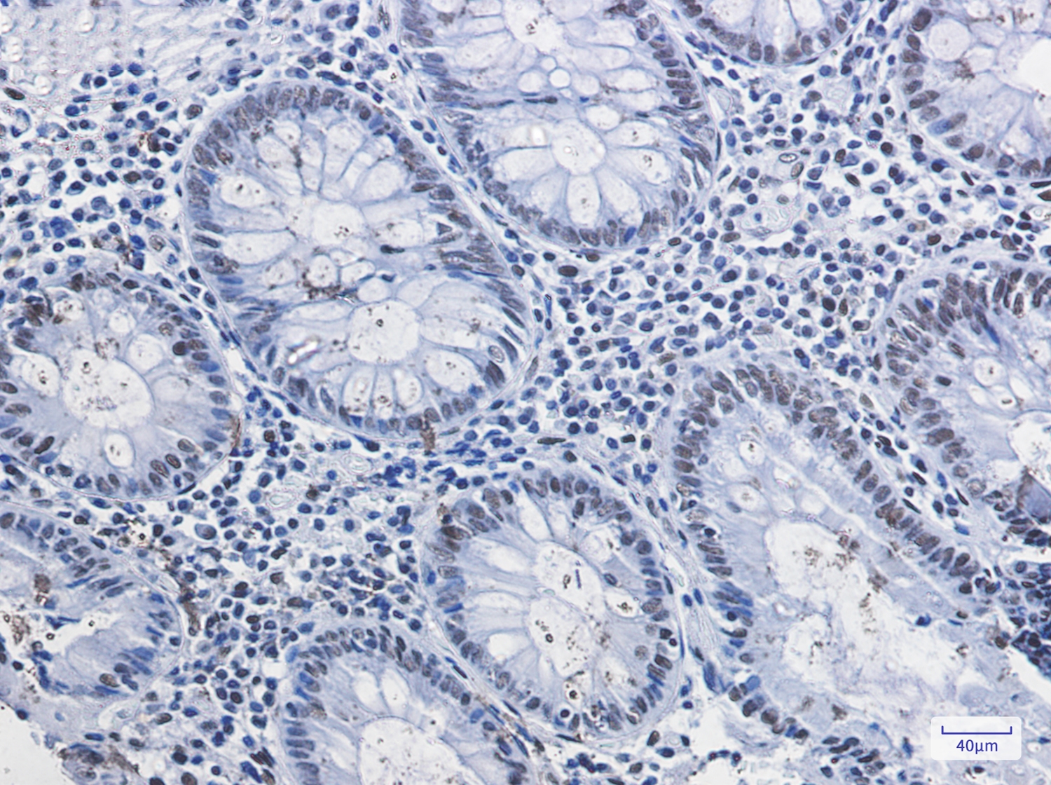
![HDAC2 Rabbit mAb[52328]](https://img1.dxycdn.com/p/s14/2025/0922/538/2952412395048399691.jpg)
Immunohistochemistry of HDAC2 in paraffin-embedded Human colon cancer tissue using HDAC2 Rabbit mAb at dilution 1/1
风险提示:丁香通仅作为第三方平台,为商家信息发布提供平台空间。用户咨询产品时请注意保护个人信息及财产安全,合理判断,谨慎选购商品,商家和用户对交易行为负责。对于医疗器械类产品,请先查证核实企业经营资质和医疗器械产品注册证情况。
技术资料暂无技术资料 索取技术资料
HDAC2 Rabbit mAb[52328]
询价


![HDAC2 Rabbit mAb[52328]](https://img1.dxycdn.com/p/s14/2025/0922/498/0460884283108299691.jpg)


![TRAF7 Conjugated Antibody[C37054]](https://img1.dxycdn.com/p/s14/2025/0923/278/4431488150116040791.jpg!wh200)
![AKR1C1 Mouse mAb[63040]](https://img1.dxycdn.com/p/s14/2025/0922/632/2321321568067599691.jpg!wh200)
![DYSF Antibody[43455]](https://img1.dxycdn.com/p/s14/2025/0922/568/0046652811090600791.jpg!wh200)
