相关产品推荐更多 >
万千商家帮你免费找货
0 人在求购买到急需产品
- 详细信息
- 技术资料
- 免疫原:
Recombinant protein of human ACY1.
- 形态:
liquid
- 保存条件:
Store at -20˚C
- 克隆性:
Polyclonal
- 适应物种:
Human;Mouse;Rat
- 保质期:
12 months
- 抗原来源:
Rabbit
- 供应商:
南京赛戈巍生物科技有限公司
- 宿主:
Rabbit
- 应用范围:
WB,IF
- 靶点:
Uniprot:Q03154
- 抗体英文名:
ACY1 antibody
- 规格:
50ul/100ul
别名:ACY-1; ACY1D; HEL-S-5;
配方:Supplied at 1.0mg/mL in phosphate buffered saline (without Mg2+ and Ca2+), pH 7.4, 150mM NaCl, 0.02% sodium azide and 50% glycerol.
应用详情:Western blotting: 1:500 - 1:2000
Immunofluorescence: 1:50 - 1:200
图片:
配方:Supplied at 1.0mg/mL in phosphate buffered saline (without Mg2+ and Ca2+), pH 7.4, 150mM NaCl, 0.02% sodium azide and 50% glycerol.
应用详情:Western blotting: 1:500 - 1:2000
Immunofluorescence: 1:50 - 1:200
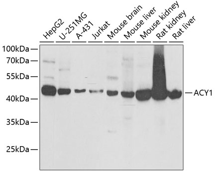
图片:
![ACY1 antibody[38839]](https://img1.dxycdn.com/p/s14/2025/0922/083/4857832550781899691.jpg)
Western blot analysis of extracts of various cell lines, using ACY1 antibody at 1:1000 dilution.
,
![ACY1 antibody[38839]](https://img1.dxycdn.com/p/s14/2025/0922/379/4602999751781899691.jpg)
Immunofluorescence analysis of HeLa cells using ACY1 antibody. Blue: DAPI for nuclear staining.
风险提示:丁香通仅作为第三方平台,为商家信息发布提供平台空间。用户咨询产品时请注意保护个人信息及财产安全,合理判断,谨慎选购商品,商家和用户对交易行为负责。对于医疗器械类产品,请先查证核实企业经营资质和医疗器械产品注册证情况。
技术资料暂无技术资料 索取技术资料
ACY1 antibody[38839]
询价


![ACY1 antibody[38839]](https://img1.dxycdn.com/p/s14/2025/0922/359/6146153295428599691.jpg)


![UBQLN3 Conjugated Antibody[C30131]](https://img1.dxycdn.com/p/s14/2025/0923/305/2150219664296040791.jpg!wh200)
![Goat Anti-Pig IgG (H&L) FITC[L35072]](https://img1.dxycdn.com/p/s14/2025/0922/498/0460884283108299691.jpg!wh200)
![CACNA1H Antibody[35145]](https://img1.dxycdn.com/p/s14/2025/0922/359/6146153295428599691.jpg!wh200)
![CD40 Mouse mAb[63390]](https://img1.dxycdn.com/p/s14/2025/0922/632/2321321568067599691.jpg!wh200)
