相关产品推荐更多 >
万千商家帮你免费找货
0 人在求购买到急需产品
- 详细信息
- 技术资料
- 免疫原:
A synthetic peptide of human LAMP3.
- 形态:
liquid
- 保存条件:
Store at -20˚C
- 克隆性:
Polyclonal
- 适应物种:
Human;Mouse;Rat
- 保质期:
12 months
- 抗原来源:
Rabbit
- 供应商:
南京赛戈巍生物科技有限公司
- 宿主:
Rabbit
- 应用范围:
WB,IHC
- 靶点:
Uniprot:Q9UQV4
- 抗体英文名:
LAMP3 antibody
- 规格:
50ul/100ul
别名:LAMP; CD208; DCLAMP; LAMP-3;TSC403; DC LAMP; DC-LAMP;
配方:Supplied at 1.0mg/mL in phosphate buffered saline (without Mg2+ and Ca2+), pH 7.4, 150mM NaCl, 0.02% sodium azide and 50% glycerol.
应用详情:Western blotting: 1:500 - 1:2000
Immunohistochemistry: 1:50 - 1:100
图片:
配方:Supplied at 1.0mg/mL in phosphate buffered saline (without Mg2+ and Ca2+), pH 7.4, 150mM NaCl, 0.02% sodium azide and 50% glycerol.
应用详情:Western blotting: 1:500 - 1:2000
Immunohistochemistry: 1:50 - 1:100
图片:
![LAMP3 antibody[38484]](https://img1.dxycdn.com/p/s14/2025/0922/172/8482492502980899691.jpg)
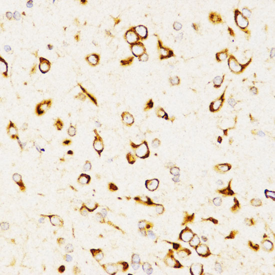
Immunohistochemistry of paraffin-embedded rat brain using LAMP3 antibody at dilution of 1:200 (40x lens).
,
![LAMP3 antibody[38484]](https://img1.dxycdn.com/p/s14/2025/0922/365/2749692352980899691.jpg)
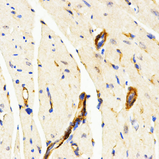
Immunohistochemistry of paraffin-embedded mouse heart using LAMP3 antibody at dilution of 1:200 (40x lens).
,
![LAMP3 antibody[38484]](https://img1.dxycdn.com/p/s14/2025/0922/396/0270787452980899691.jpg)
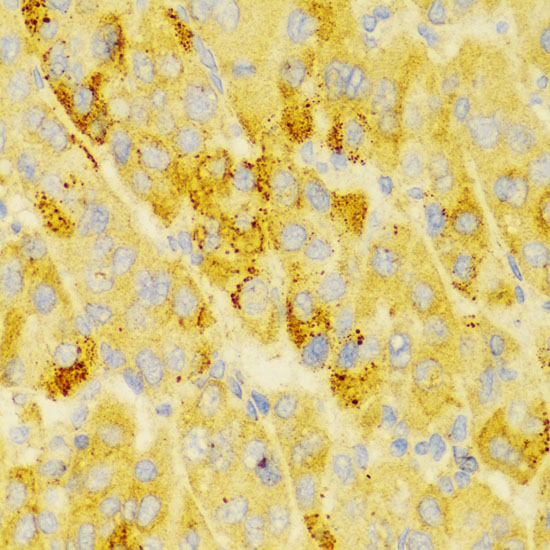
Immunohistochemistry of paraffin-embedded human liver cancer using LAMP3 antibody at dilution of 1:100 (40x lens).
,
![LAMP3 antibody[38484]](https://img1.dxycdn.com/p/s14/2025/0922/589/0800707102980899691.jpg)
Western blot analysis of extracts of various cell lines, using LAMP3 antibody at 1:1000 dilution.
风险提示:丁香通仅作为第三方平台,为商家信息发布提供平台空间。用户咨询产品时请注意保护个人信息及财产安全,合理判断,谨慎选购商品,商家和用户对交易行为负责。对于医疗器械类产品,请先查证核实企业经营资质和医疗器械产品注册证情况。
技术资料暂无技术资料 索取技术资料
LAMP3 antibody[38484]
询价


![LAMP3 antibody[38484]](https://img1.dxycdn.com/p/s14/2025/0922/359/6146153295428599691.jpg)


![WDR45 Antibody[42849]](https://img1.dxycdn.com/p/s14/2025/0922/568/0046652811090600791.jpg!wh200)
![INDO antibody[38268]](https://img1.dxycdn.com/p/s14/2025/0922/359/6146153295428599691.jpg!wh200)
![ERK1/2 Conjugated Antibody[C56077]](https://img1.dxycdn.com/p/s14/2025/0922/632/2321321568067599691.jpg!wh200)
![Gli3 Conjugated Antibody[C49936]](https://img1.dxycdn.com/p/s14/2025/0923/305/2150219664296040791.jpg!wh200)
