相关产品推荐更多 >
万千商家帮你免费找货
0 人在求购买到急需产品
- 详细信息
- 技术资料
- 免疫原:
Recombinant protein of human Syk
- 形态:
liquid
- 保存条件:
Store at -20˚C
- 克隆性:
Polyclonal
- 适应物种:
Human;Mouse;Rat
- 保质期:
12 months
- 抗原来源:
Rabbit
- 供应商:
南京赛戈巍生物科技有限公司
- 宿主:
Rabbit
- 应用范围:
WB,IHC
- 靶点:
Uniprot:P43405
- 抗体英文名:
SYK antibody
- 规格:
50ul/100ul
别名:SYK;p72-Syk
配方:PBS with 0.02% sodium azide,50% glycerol,pH7.3.
应用详情:WB 1:500 - 1:2000
IHC 1:50 - 1:100
图片:
配方:PBS with 0.02% sodium azide,50% glycerol,pH7.3.
应用详情:WB 1:500 - 1:2000
IHC 1:50 - 1:100
图片:
![SYK antibody[38370]](https://img1.dxycdn.com/p/s14/2025/0922/785/6359425081750899691.jpg)
Western blot analysis of extracts of Rat liver, using Syk antibody.
,
![SYK antibody[38370]](https://img1.dxycdn.com/p/s14/2025/0922/505/2576202281750899691.jpg)
Western blot analysis of extracts of various cell lines, using Syk antibody.
,
![SYK antibody[38370]](https://img1.dxycdn.com/p/s14/2025/0922/332/6564565952750899691.jpg)
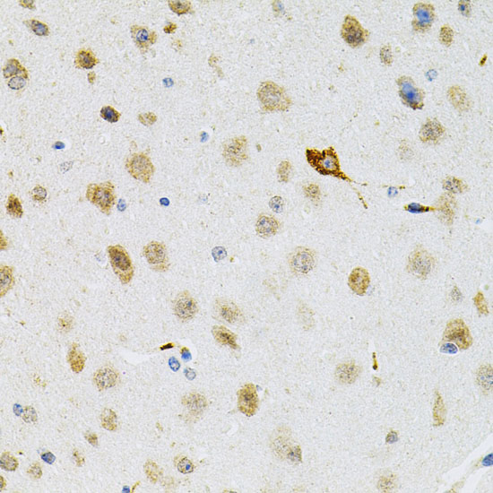
Immunohistochemistry of paraffin-embedded mouse brain using Syk Antibody.
,
![SYK antibody[38370]](https://img1.dxycdn.com/p/s14/2025/0922/053/0696314213750899691.jpg)
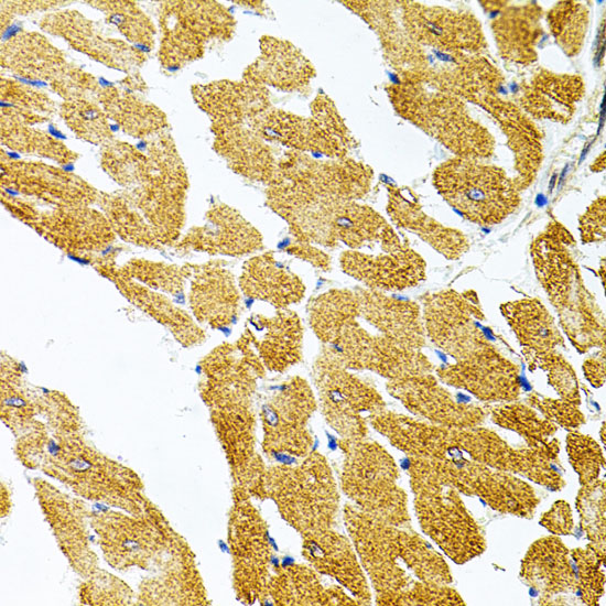
Immunohistochemistry of paraffin-embedded rat heart using Syk Antibody.
,
![SYK antibody[38370]](https://img1.dxycdn.com/p/s14/2025/0922/473/4245185513750899691.jpg)
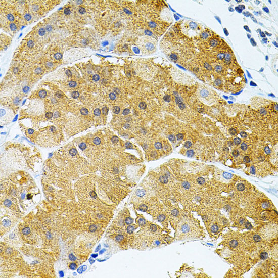
Immunohistochemistry of paraffin-embedded human stomach using Syk Antibody.
风险提示:丁香通仅作为第三方平台,为商家信息发布提供平台空间。用户咨询产品时请注意保护个人信息及财产安全,合理判断,谨慎选购商品,商家和用户对交易行为负责。对于医疗器械类产品,请先查证核实企业经营资质和医疗器械产品注册证情况。
技术资料暂无技术资料 索取技术资料
SYK antibody[38370]
询价


![SYK antibody[38370]](https://img1.dxycdn.com/p/s14/2025/0922/359/6146153295428599691.jpg)


![p63 Conjugated Antibody[C33462]](https://img1.dxycdn.com/p/s14/2025/0923/278/4431488150116040791.jpg!wh200)
![CHRDL2 Antibody[37486]](https://img1.dxycdn.com/p/s14/2025/0922/359/6146153295428599691.jpg!wh200)
![SMARCA5 Antibody[43330]](https://img1.dxycdn.com/p/s14/2025/0922/568/0046652811090600791.jpg!wh200)
![NF-κB p105/p50 Antibody[48171]](https://img1.dxycdn.com/p/s14/2025/0923/496/0462304380155040791.jpg!wh200)
