相关产品推荐更多 >
万千商家帮你免费找货
0 人在求购买到急需产品
- 详细信息
- 技术资料
- 免疫原:
A synthetic peptide of human Histone H3
- 形态:
liquid
- 保存条件:
Store at -20˚C
- 克隆性:
Monoclonal antibody
- 适应物种:
Human;Mouse;Rat
- 保质期:
12 months
- 抗原来源:
Recombinant Rabbit
- 供应商:
南京赛戈巍生物科技有限公司
- 宿主:
Recombinant Rabbit
- 应用范围:
WB IHC
- 靶点:
Uniprot:P68431
- 抗体英文名:
Histone H3 Rabbit mAb
- 规格:
50ul/100ul
别名:H3/A; H3FA
计算分子量:Calculated MW: 15 kDa; Observed MW: 17 kDa
配方:50nM Tris-Glycine(pH 7.4), 0.15M NaCl, 40% Glycerol, 0.01% Sodium azide and 0.05% BSA
应用详情:WB: 1/1000; IHC: 1/50;
图片:
计算分子量:Calculated MW: 15 kDa; Observed MW: 17 kDa
配方:50nM Tris-Glycine(pH 7.4), 0.15M NaCl, 40% Glycerol, 0.01% Sodium azide and 0.05% BSA
应用详情:WB: 1/1000; IHC: 1/50;
图片:
![Histone H3 Rabbit mAb[52334]](https://img1.dxycdn.com/p/s14/2025/0922/128/0692381829248399691.jpg)
Western blot detection of Histone H3 in Jurkat,THP-1,C6,3T3 cell lysates using Histone H3 Rabbit mAb(1:1000 diluted).Predicted band size:15KDa.Observed band size:17KDa.
,
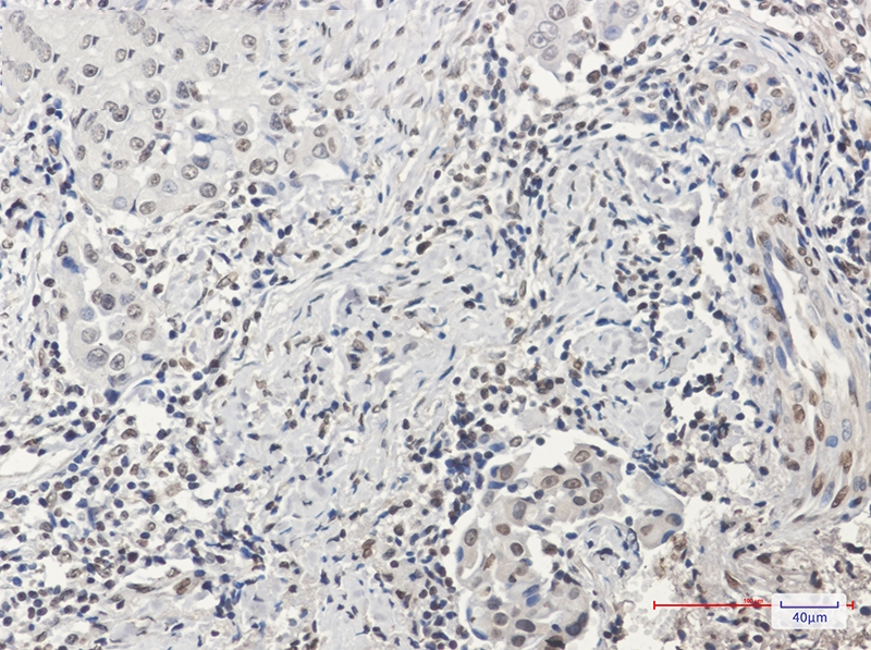
![Histone H3 Rabbit mAb[52334]](https://img1.dxycdn.com/p/s14/2025/0922/940/6370451303348399691.jpg)
Immunohistochemistry of Histone H3 in paraffin-embedded Human lung cancer tissue using Histone H3 Rabbit mAb at dilution 1/50
风险提示:丁香通仅作为第三方平台,为商家信息发布提供平台空间。用户咨询产品时请注意保护个人信息及财产安全,合理判断,谨慎选购商品,商家和用户对交易行为负责。对于医疗器械类产品,请先查证核实企业经营资质和医疗器械产品注册证情况。
技术资料暂无技术资料 索取技术资料
Histone H3 Rabbit mAb[52334]
询价


![Histone H3 Rabbit mAb[52334]](https://img1.dxycdn.com/p/s14/2025/0922/498/0460884283108299691.jpg)


![alpha 1 Antitrypsin Polyclonal Antibody Biotin Conjugated[C90053Bio]](https://img1.dxycdn.com/p/s14/2025/0922/498/0460884283108299691.jpg!wh200)
![FANCE Conjugated Antibody[C47545]](https://img1.dxycdn.com/p/s14/2025/0923/305/2150219664296040791.jpg!wh200)
![Urokinase plasminogen activator surface receptor Polyclonal Antibody[42294]](https://img1.dxycdn.com/p/s14/2025/0922/568/0046652811090600791.jpg!wh200)
![FGF6 Conjugated Antibody[C43230]](https://img1.dxycdn.com/p/s14/2025/0923/278/4431488150116040791.jpg!wh200)
