相关产品推荐更多 >
万千商家帮你免费找货
0 人在求购买到急需产品
- 详细信息
- 技术资料
- 形态:
liquid
- 保存条件:
Store at -20˚C
- 克隆性:
Monoclonal
- 适应物种:
Human,Mouse,Rabbit
- 保质期:
12 months
- 抗原来源:
Mouse
- 供应商:
南京赛戈巍生物科技有限公司
- 宿主:
Mouse
- 应用范围:
WB;IHC;FC
- 靶点:
Uniprot:Q04828
- 抗体英文名:
AKR1C1 Mouse mAb
- 规格:
50ul/100ul
计算分子量:36.7kDa
配方:Purified antibody in PBS with 0.05% sodium azide
应用详情:WB:1/500-1/1000
IHC:1/200-1/400
FC:1/200 - 1/400
图片:
![AKR1C1 Mouse mAb[63040]](https://img1.dxycdn.com/p/s14/2025/0922/282/8400941724722699691.jpg)
Western blot analysis using AKRAC1 mouse mAb against HepG2(1) mouse liver(2)cell lysate.
,
![AKR1C1 Mouse mAb[63040]](https://img1.dxycdn.com/p/s14/2025/0922/590/6568789724722699691.jpg)
Flow cytometric analysis of Hela cells using AKR1C1 mouse mAb (green) and negative control (red).
,
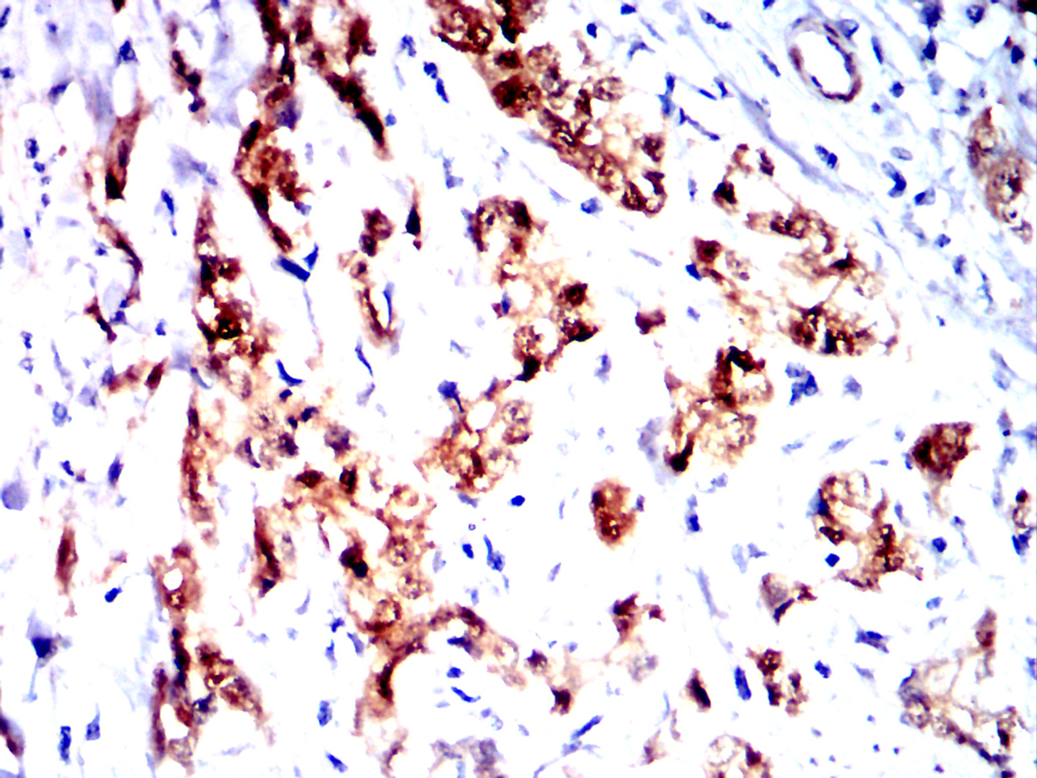
![AKR1C1 Mouse mAb[63040]](https://img1.dxycdn.com/p/s14/2025/0922/293/4604434091922699691.jpg)
Immunohistochemical analysis of paraffin-embedded human lung cancer tissues using AKR1C1 mouse mAb with DAB stainin.
,
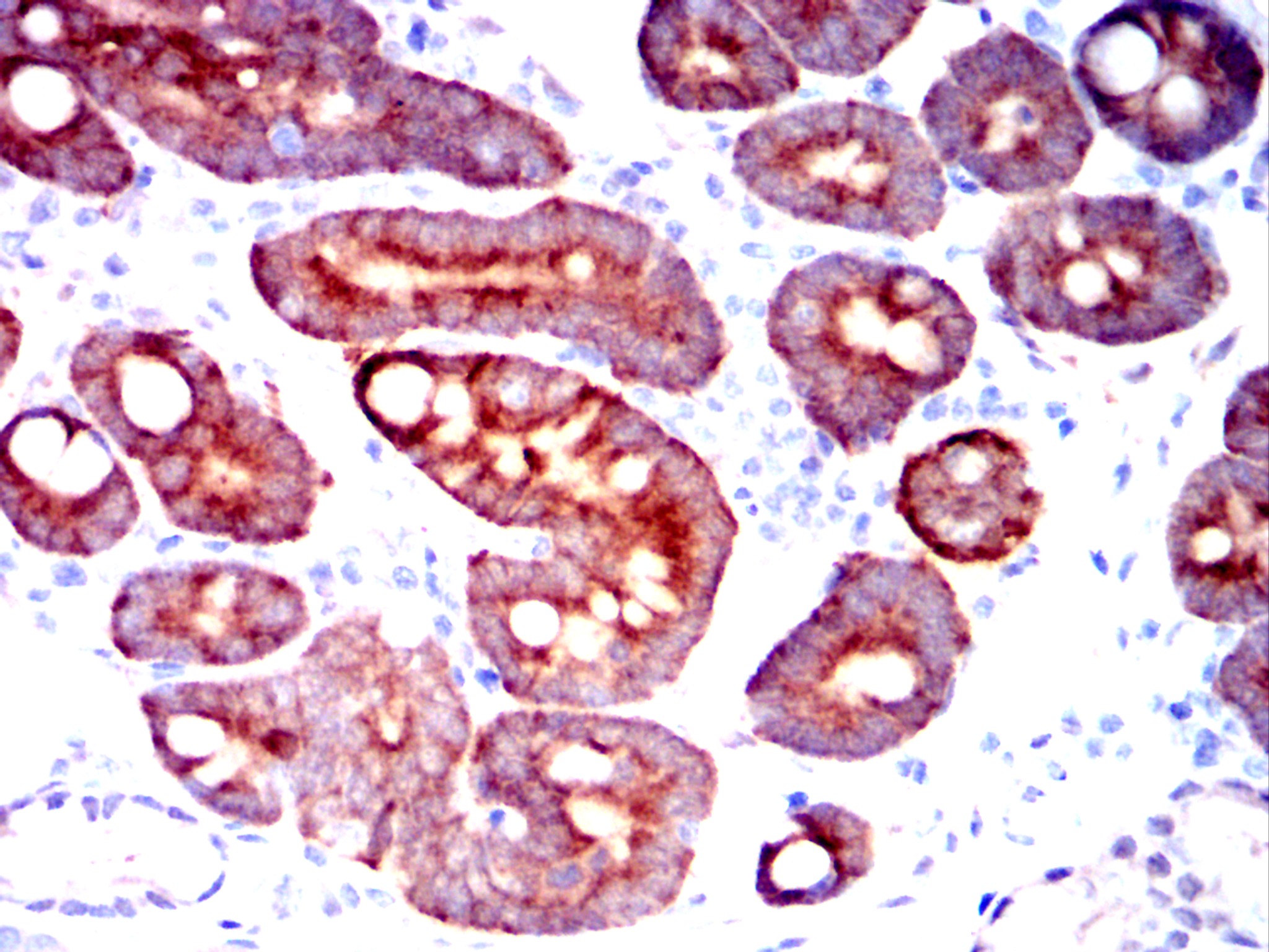
![AKR1C1 Mouse mAb[63040]](https://img1.dxycdn.com/p/s14/2025/0922/973/2192016521922699691.jpg)
Immunohistochemical analysis of paraffin-embedded human stomach cancer tissues using AKR1C1 mouse mAb with DAB stainin.
,
![AKR1C1 Mouse mAb[63040]](https://img1.dxycdn.com/p/s14/2025/0922/107/0004053757822699691.jpg)
Immunohistochemical analysis of paraffin-embedded human rrectal cancer tissues using AKR1C1 mouse mAb with DAB stainin.
,
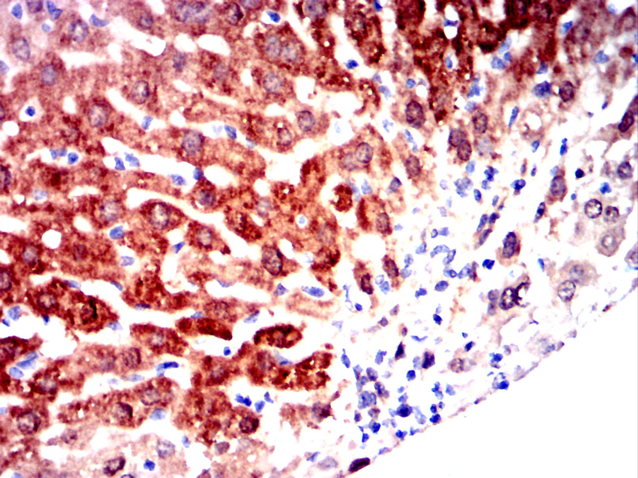
![AKR1C1 Mouse mAb[63040]](https://img1.dxycdn.com/p/s14/2025/0922/876/8653528112922699691.jpg)
Immunohistochemical analysis of paraffin-embedded mouse liver tissues using AKR1C1 mouse mAb with DAB staining.
,
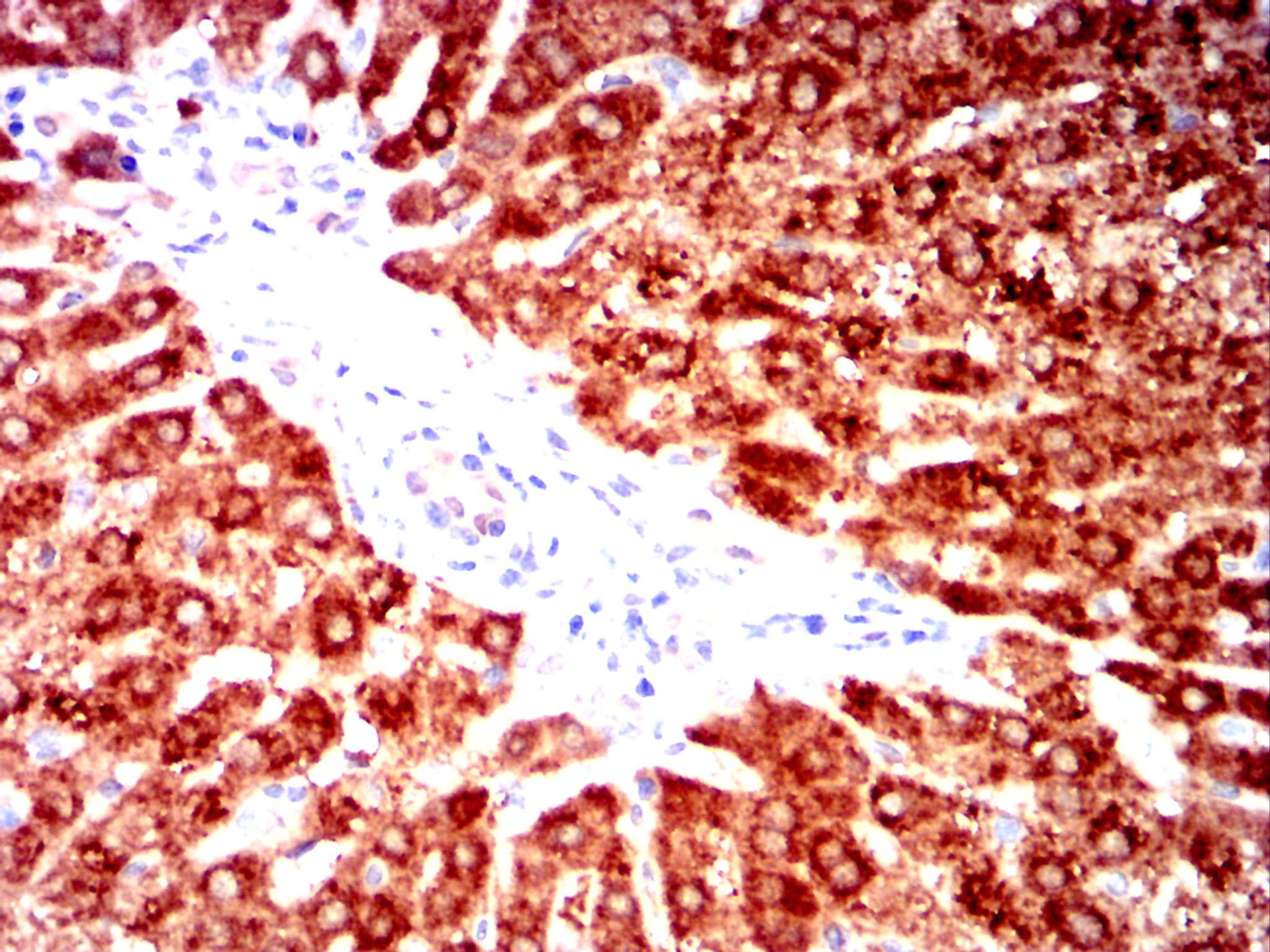
![AKR1C1 Mouse mAb[63040]](https://img1.dxycdn.com/p/s14/2025/0922/560/6549395228822699691.jpg)
Immunohistochemical analysis of paraffin-embedded rabbit liver tissues using AKR1C1 mouse mAb with DAB staining.
,
![AKR1C1 Mouse mAb[63040]](https://img1.dxycdn.com/p/s14/2025/0922/210/6710504207822699691.jpg)
Immunohistochemical analysis of paraffin-embedded rabbit small intestine tissues using AKR1C1 mouse mAb with DAB staining.
风险提示:丁香通仅作为第三方平台,为商家信息发布提供平台空间。用户咨询产品时请注意保护个人信息及财产安全,合理判断,谨慎选购商品,商家和用户对交易行为负责。对于医疗器械类产品,请先查证核实企业经营资质和医疗器械产品注册证情况。
技术资料暂无技术资料 索取技术资料


![AKR1C1 Mouse mAb[63040]](https://img1.dxycdn.com/p/s14/2025/0922/632/2321321568067599691.jpg)


![ACP6 Conjugated Antibody[C36587]](https://img1.dxycdn.com/p/s14/2025/0923/278/4431488150116040791.jpg!wh200)
![M6PR Antibody[43050]](https://img1.dxycdn.com/p/s14/2025/0922/568/0046652811090600791.jpg!wh200)
![TSHB Mouse mAb[64365]](https://img1.dxycdn.com/p/s14/2025/0922/632/2321321568067599691.jpg!wh200)
