相关产品推荐更多 >
万千商家帮你免费找货
0 人在求购买到急需产品
- 详细信息
- 文献和实验
- 技术资料
- 免疫原:
A synthesized peptide derived from human Phospho-EGFR (Y1068)
- 形态:
liquid
- 保存条件:
Store at -20˚C
- 克隆性:
Monoclonal
- 适应物种:
Human;Mouse
- 保质期:
12 months
- 抗原来源:
Recombinant Rabbit
- 供应商:
南京赛戈巍生物科技有限公司
- 宿主:
Recombinant Rabbit
- 应用范围:
WB IHC ICC/IF
- 靶点:
Uniprot:P00533
- 抗体英文名:
EGFR (Phospho-Tyr1068) Rabbit mAb
- 规格:
50ul/100ul
计算分子量:170kDa
配方:Rabbit IgG in phosphate buffered saline , pH 7.4, 150mM NaCl, 0.02% sodium azide and 50% glycerol.
应用详情:WB:1:500~1:2000
IHC:1:50~1:200
ICC/IF:1:50~1:200
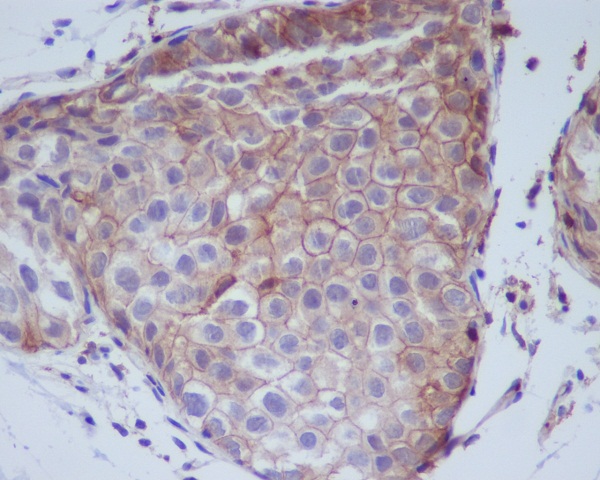
图片:

Western blot analysis of EGFR phosphorylation expression in A431 cell treated with EGF.
,

Immunohistochemical analysis of paraffin-embedded human breast cancer, using Phospho-EGFR (Y1068) Antibody .
风险提示:丁香通仅作为第三方平台,为商家信息发布提供平台空间。用户咨询产品时请注意保护个人信息及财产安全,合理判断,谨慎选购商品,商家和用户对交易行为负责。对于医疗器械类产品,请先查证核实企业经营资质和医疗器械产品注册证情况。
文献和实验研究中[8]。(3)MAB528与MAB225MAB528、MAB225是针对EGFR胞外区的鼠源性抗体[9]。它们与EGF、TGFα和EGFR有相似的亲和力,竞争性与EGFR配体结合区结合,减低酪氨酸激酶的活化。能明显抑制培养细胞及裸鼠肿瘤移植物的增殖。(4)其它EMD55900[10]、 ICR62[11]是鼠源性单克隆抗体。在头颈部上皮性肿瘤体外试验显示了抗增生活性。CIBCNSH3[11]也是针对过表达EGFR肿瘤的单克隆抗体。体外实验CIBCNSH3与过表达EGFR细胞共育,发现98%细胞
。所以,我们建议使用微波炉或高压锅加热煮沸以达到最佳抗原修复效果。抗体:Phospho–Stat3 (Tyr705)(D3A7) XP. Rabbit mAb #9145样本:石蜡包埋人类肺部肿瘤样本煮沸设备:浴锅 (左),微波炉 (中),高压锅 (右)免疫染色—封闭在 IHC–P 中,我们建议在室温下在含有 Tween20 的 TBST 缓冲液和 5% 正常山羊血清 (NGS) 中封闭样品,时长 1 小时,以防止非特异性背景染色。在进行 IHC–F 时,在含有 0.3% Triton. X–100 的 1X
:使用 Anti-phospho-Akt (Ser473) Rabbit mAb 对石蜡包埋的人乳腺癌组织进行免疫组织化学分析。(图 A)使用免疫组化试剂盒M&R HRP/DAB Detection IHC Kit,抗体 1:100 稀释;(图 B) 采用普通免疫组化试剂盒,抗体 1:25 稀释。 图 6 免疫组化实验检测 Erk1/2 表达 注:使用 Anti-Erk1/2 Mouse mAb与p44/42 MAPK (Erk1/2)Rabbit mAb 对正常小鼠心脏组织进行免疫
技术资料暂无技术资料 索取技术资料





![SK2 Antibody[48406]](https://img1.dxycdn.com/p/s14/2025/0923/496/0462304380155040791.jpg!wh200)
![KCNH8 Antibody[36921]](https://img1.dxycdn.com/p/s14/2025/0922/359/6146153295428599691.jpg!wh200)
![c-Abl(Phospho-Tyr412) Conjugated Antibody[C11125]](https://img1.dxycdn.com/p/s14/2025/0923/278/4431488150116040791.jpg!wh200)
![TMED2 Rabbit Polyclonal Antibody[54442]](https://img1.dxycdn.com/p/s14/2025/0922/498/0460884283108299691.jpg!wh200)
![GPR17 Conjugated Antibody[C47596]](https://img1.dxycdn.com/p/s14/2025/0923/305/2150219664296040791.jpg!wh200)

