相关产品推荐更多 >
万千商家帮你免费找货
0 人在求购买到急需产品
- 详细信息
- 技术资料
- 免疫原:
A synthesized peptide derived from human CD45
- 形态:
liquid
- 保存条件:
Store at -20˚C
- 克隆性:
Monoclonal
- 适应物种:
Human
- 保质期:
12 months
- 抗原来源:
Recombinant Rabbit
- 供应商:
南京赛戈巍生物科技有限公司
- 宿主:
Recombinant Rabbit
- 应用范围:
WB IHC ICC/IF FC
- 靶点:
Uniprot:P08575
- 抗体英文名:
CD45 Rabbit mAb
- 规格:
50ul/100ul
别名:CD45; B220; GP180; LCA; PTPRC; T200 leukocyte common antigen;
计算分子量:150kDa
配方:Rabbit IgG in phosphate buffered saline , pH 7.4, 150mM NaCl, 0.02% sodium azide and 50% glycerol.
应用详情:WB:1:500~1:2000
IHC:1:50~1:200
ICC/IF:1:50~1:100
FC:1:20
图片:
计算分子量:150kDa
配方:Rabbit IgG in phosphate buffered saline , pH 7.4, 150mM NaCl, 0.02% sodium azide and 50% glycerol.
应用详情:WB:1:500~1:2000
IHC:1:50~1:200
ICC/IF:1:50~1:100
FC:1:20
图片:
![CD45 Rabbit mAb[56054]](https://img1.dxycdn.com/p/s14/2025/0922/658/4838482577138599691.jpg)
Western blot analysis of CD45 expression in Jurkat cell lysate.
,
![CD45 Rabbit mAb[56054]](https://img1.dxycdn.com/p/s14/2025/0922/996/0424174288138599691.jpg)
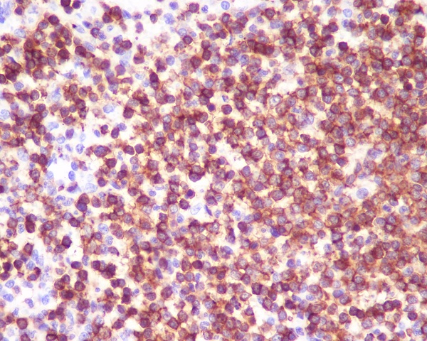
Immunohistochemical analysis of paraffin-embedded human spleen, using CD45 Antibody .
风险提示:丁香通仅作为第三方平台,为商家信息发布提供平台空间。用户咨询产品时请注意保护个人信息及财产安全,合理判断,谨慎选购商品,商家和用户对交易行为负责。对于医疗器械类产品,请先查证核实企业经营资质和医疗器械产品注册证情况。
技术资料暂无技术资料 索取技术资料
CD45 Rabbit mAb[56054]
询价


![CD45 Rabbit mAb[56054]](https://img1.dxycdn.com/p/s14/2025/0922/632/2321321568067599691.jpg)


![SPARC Antibody[42713]](https://img1.dxycdn.com/p/s14/2025/0922/568/0046652811090600791.jpg!wh200)
![MX1 antibody[38296]](https://img1.dxycdn.com/p/s14/2025/0922/359/6146153295428599691.jpg!wh200)
![CD38 (ABT-CD38) mouse mAb (Ready to Use)[58100]](https://img1.dxycdn.com/p/s14/2025/0922/632/2321321568067599691.jpg!wh200)
![Fructose 6 Phosphate Kinase Conjugated Antibody[C49781]](https://img1.dxycdn.com/p/s14/2025/0923/305/2150219664296040791.jpg!wh200)
