相关产品推荐更多 >
万千商家帮你免费找货
0 人在求购买到急需产品
- 详细信息
- 技术资料
- 免疫原:
A synthesized peptide derived from human pan Cadherin
- 形态:
liquid
- 保存条件:
Store at -20˚C
- 克隆性:
Monoclonal
- 适应物种:
Human;Mouse;Rat
- 保质期:
12 months
- 抗原来源:
Recombinant Rabbit
- 供应商:
南京赛戈巍生物科技有限公司
- 宿主:
Recombinant Rabbit
- 应用范围:
WB IHC ICC/IF IP FC
- 靶点:
Uniprot:P12830/P19022/P22223/P33151/P55283/P39038
- 抗体英文名:
pan Cadherin Rabbit mAb
- 规格:
50ul/100ul
别名:Cadherin;CDH3;CDHP;Cadherin-1;Cadherin-2;Cadherin-3;Cadherin-4;Cadherin-5;CAM 120/80;CD144;CD324;CD325;Cdh4;CDH5;CDHE;CDHN;E-cadherin;N-cadherin;NCAD;Neural cadherin;P-cadherin;Uvomorulin;Vascular endothelial cadherin
计算分子量:140kDa
配方:Rabbit IgG in phosphate buffered saline , pH 7.4, 150mM NaCl, 0.02% sodium azide and 50% glycerol.
应用详情:WB:1:1000~1:5000
IHC:1:50~1:200
ICC/IF:1:50~1:200
IP:1:50
FC:1:50
图片:
计算分子量:140kDa
配方:Rabbit IgG in phosphate buffered saline , pH 7.4, 150mM NaCl, 0.02% sodium azide and 50% glycerol.
应用详情:WB:1:1000~1:5000
IHC:1:50~1:200
ICC/IF:1:50~1:200
IP:1:50
FC:1:50
图片:
![pan Cadherin Rabbit mAb[56046]](https://img1.dxycdn.com/p/s14/2025/0922/524/4091984091038599691.jpg)
Western blot analysis of pan Cadherin expression in C6 cell lysate.
,
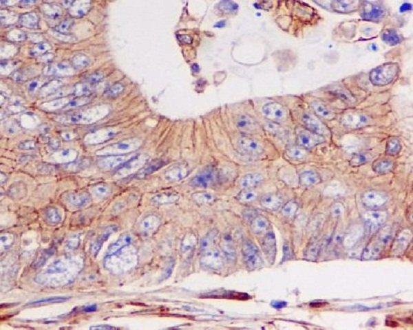
![pan Cadherin Rabbit mAb[56046]](https://img1.dxycdn.com/p/s14/2025/0922/502/4099719242038599691.jpg)
Immunohistochemical analysis of paraffin-embedded colon cancer, using pan Cadherin Antibody .
风险提示:丁香通仅作为第三方平台,为商家信息发布提供平台空间。用户咨询产品时请注意保护个人信息及财产安全,合理判断,谨慎选购商品,商家和用户对交易行为负责。对于医疗器械类产品,请先查证核实企业经营资质和医疗器械产品注册证情况。
技术资料暂无技术资料 索取技术资料
pan Cadherin Rabbit mAb[56046]
询价


![pan Cadherin Rabbit mAb[56046]](https://img1.dxycdn.com/p/s14/2025/0922/632/2321321568067599691.jpg)


![IL9 Antibody[39566]](https://img1.dxycdn.com/p/s14/2025/0922/359/6146153295428599691.jpg!wh200)
![COX7A2L Antibody[43279]](https://img1.dxycdn.com/p/s14/2025/0922/568/0046652811090600791.jpg!wh200)
![ABCC2 Conjugated Antibody[C43399]](https://img1.dxycdn.com/p/s14/2025/0923/278/4431488150116040791.jpg!wh200)

